Cleve

Hairline Cracks In Teeth

Hairline Cracks In Teeth

Have you ever glanced in the mirror, only to notice a thin, jagged line running across your tooth enamel? It can be a startling discovery. These thin lines are often referred to as hairline cracks in teeth, or in dental terminology, craze lines. While seeing any kind of damage to your teeth can induce anxiety, it is essential to understand that not all cracks are created equal. Some are purely aesthetic concerns, while others may signal underlying structural issues that require immediate professional attention. Understanding what these cracks are, why they appear, and when you need to see a dentist is the first step toward maintaining a healthy, confident smile.

What Exactly Are Hairline Cracks in Teeth?

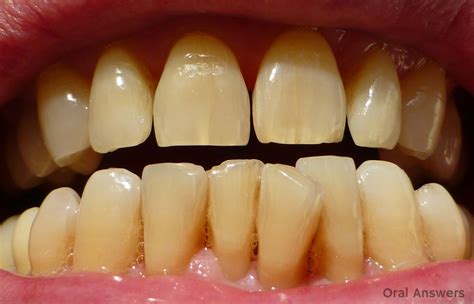
Hairline cracks in teeth, often clinically known as craze lines, are superficial fissures that affect only the outer layer of the tooth, which is the enamel. Because these cracks are generally very shallow and do not penetrate deep into the tooth structure—such as the dentin or the pulp—they typically do not cause pain or compromise the structural integrity of the tooth.

Think of them like tiny spiderwebs on the surface of a mirror. They change how light reflects off the tooth, making them visible, especially when you look closely under bright lighting, but they rarely threaten the health of the tooth itself. However, distinguishing between harmless craze lines and serious dental fractures is critical, as a misdiagnosis could lead to unnecessary discomfort or future tooth loss.

Close up of dental inspection

Why Do These Cracks Develop?

The primary culprit behind hairline cracks in teeth is the cumulative stress placed on your teeth over many years. Your teeth endure significant forces every single day, from chewing tough foods to involuntary habits you may not even be aware of.

  • Natural Wear and Tear: As we age, the enamel naturally undergoes wear, making it more susceptible to superficial cracking.
  • Bruxism (Teeth Grinding): Clenching or grinding your teeth, especially while sleeping, exerts immense, repetitive pressure that can easily lead to enamel stress.
  • Temperature Changes: Rapidly consuming very hot food followed by an ice-cold drink can cause the enamel to expand and contract quickly, leading to micro-cracks.
  • Trauma: A sudden impact to the mouth, such as a sports injury or a fall, can cause both superficial craze lines and deeper fractures.
  • Chewing Hard Objects: Habitually chewing on ice, pens, or hard candies forces the enamel to bend slightly, creating stress points.

Distinguishing Between Superficial Cracks and Serious Dental Issues

Not every crack is harmless. It is vital to learn the difference between cosmetic hairline cracks in teeth and structural fractures that threaten the tooth’s life. The following table helps outline these differences:

Feature Craze Lines (Harmless) Cracked Tooth (Serious)
Depth Superficial (Enamel only) Deep (Dentin or Pulp)
Pain None Sharp pain while chewing
Sensitivity Rare Hot/Cold sensitivity
Progression Static Progressively worse

⚠️ Note: If you experience sharp pain when biting down or heightened sensitivity to temperature, do not wait for a routine check-up. These are classic signs of a deeper structural fracture, not just a surface-level craze line.

When Should You See a Dentist?

While many hairline cracks in teeth do not require treatment, you should always consult a dentist if you are concerned. Because it can be difficult to tell the depth of a crack with the naked eye, a professional assessment is the only way to be certain.

You should definitely book an appointment if:

  • The crack seems to be getting longer or deeper over time.
  • You notice any pain, discomfort, or sensitivity when eating or drinking.
  • A piece of the tooth actually chips off.
  • You have a history of teeth grinding and are worried about the structural integrity of your teeth.

Preventing Further Damage

While you cannot necessarily “fix” or reverse existing hairline cracks in teeth through home remedies, you can definitely take steps to prevent them from becoming more severe or to stop new ones from forming.

  • Address Bruxism: If you grind your teeth at night, ask your dentist about a custom-fitted night guard. This is the most effective way to stop further enamel stress.
  • Change Chewing Habits: Avoid using your teeth as tools to open packages, and stop chewing on hard items like ice, pens, or hard candies.
  • Maintain Good Oral Hygiene: While brushing won’t heal a crack, it keeps the enamel strong and prevents decay from entering deeper into any existing crevices.
  • Manage Temperature Shock: Try to avoid extreme temperature fluctuations in your food and drink to keep the enamel stress-free.

💡 Note: Teeth whitening treatments can sometimes make craze lines appear more prominent, as the whitening agent may accumulate in the thin crack, highlighting it. Consult your dentist before undergoing whitening if you have visible cracks.

Dentist examining patient

Treatment Options for Serious Cracks

If your dentist determines that a crack is more than just cosmetic, they may recommend specific treatments to save the tooth and prevent further damage. These may include:

  • Dental Bonding: For minor aesthetic issues, a tooth-colored composite resin can be used to fill in the crack and smooth the surface.
  • Dental Veneers: If the cracks are primarily in the front teeth and are purely cosmetic, veneers can cover the entire front surface of the tooth.
  • Crowns: If a crack is deep, a crown may be necessary to hold the tooth together and prevent the crack from spreading to the root, which would require extraction.

In the vast majority of cases, hairline cracks in teeth are harmless, purely aesthetic features that simply come with the natural process of aging. They are usually just signs that your teeth have worked hard over the years. However, the importance of distinguishing these harmless marks from structural dental fractures cannot be overstated. By maintaining good oral hygiene, protecting your teeth from unnecessary mechanical stress, and visiting your dentist regularly for professional evaluations, you can ensure that these superficial lines remain a minor cosmetic concern rather than a dental emergency. If in doubt, always seek professional advice to protect your oral health and maintain the strength of your smile for years to come.

Related Terms:

  • vertical cracks in front teeth
  • craze lines teeth
  • repair hairline cracks in teeth
  • toothpaste that help hairline cracks
  • hairline teeth repair near me
  • craze lines teeth vs crack