Cleve

Heel Spur Symptoms

Heel Spur Symptoms

Waking up in the morning and feeling a sharp, stabbing pain in your heel as soon as you take your first few steps is a classic sign that something is wrong. Many people dismiss this discomfort as simple fatigue, but it could be a clear indication of a heel spur. Understanding heel spur symptoms is the first essential step toward seeking the right treatment and regaining your mobility. While the term "heel spur" sounds intimidating, it is a common orthopedic condition that, with the right knowledge, is highly manageable. This guide will help you identify the signs, understand the causes, and explore how to manage the discomfort effectively.

What Exactly is a Heel Spur?

A heel spur is a calcium deposit, or bony protrusion, that develops on the underside of the heel bone. Over a period of several months, these bony growths develop. They are often associated with plantar fasciitis—the inflammation of the fibrous band of connective tissue (the plantar fascia) that runs along the bottom of your foot and connects your heel bone to the ball of your foot. It is important to note that the spur itself is often not the direct cause of pain; rather, it is the inflammation of the surrounding tissue that leads to the debilitating symptoms.

Key Heel Spur Symptoms You Should Recognize

Recognizing the signs early can prevent a minor annoyance from turning into a chronic issue. Because heel spurs are frequently misdiagnosed as other foot conditions, it is crucial to pay attention to the specific nature of your pain. Here are the primary heel spur symptoms that most individuals experience:

  • Sharp, stabbing pain: This is often described as feeling like a knife or needle sticking into the bottom of the heel.
  • “Start-up” pain: The pain is usually most intense during the first few steps after waking up in the morning or after a long period of sitting.
  • Chronic dull ache: After the initial “start-up” pain, the sensation may transition into a persistent dull ache throughout the day.
  • Sensitivity to pressure: The area may feel tender to the touch, making it difficult to walk barefoot on hard surfaces.
  • Swelling or inflammation: In some cases, you may notice slight inflammation or redness around the heel area.

Comparison of Symptoms: Heel Spur vs. Plantar Fasciitis

While often linked, it is helpful to distinguish between the sensations of a heel spur and general plantar fasciitis. The following table highlights common differentiators.

Feature Heel Spur Symptoms Plantar Fasciitis Symptoms
Primary Sensation Point-specific sharp pain Widespread arch/heel pain
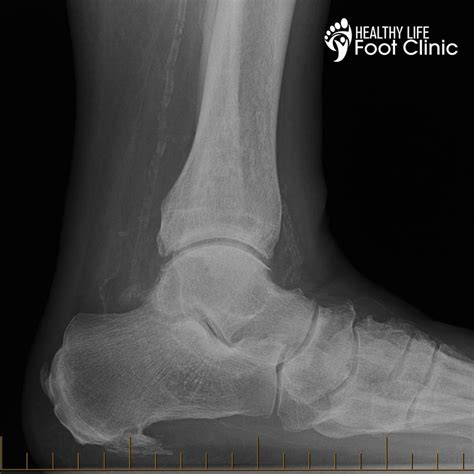
Visual Appearance Visible on X-ray Not visible on X-ray
Tenderness Sharp, bony pressure point General tissue tenderness

⚠️ Note: If you experience numbness, tingling, or pain that radiates up the back of your leg, please consult a healthcare professional immediately, as these may indicate nerve entrapment rather than a simple heel spur.

Common Risk Factors and Causes

Understanding why these bony growths occur can help you modify your lifestyle to prevent them from worsening. Factors that contribute to heel spur symptoms include:

  • Improper footwear: Wearing shoes without adequate arch support or a cushioned heel can strain the plantar fascia.
  • High-impact activities: Frequent running or jumping on hard surfaces puts excessive stress on the heel bone.
  • Obesity: Excess weight places increased pressure on the feet and the connective tissues.
  • Age: The flexibility of the plantar fascia decreases, and the heel’s protective fat pad thins as we age, making us more susceptible.
  • Walking gait: Having flat feet or very high arches can cause abnormal weight distribution, leading to excessive strain.

Effective Management and Relief Strategies

Once you have identified the heel spur symptoms, your next priority is finding relief. Most treatment plans are non-invasive and focus on reducing inflammation and improving foot mechanics.

1. Rest and Ice Therapy

Reducing activity is the first step. Ice helps to numb the pain and minimize the underlying inflammation. Roll your foot over a frozen water bottle for 10–15 minutes several times a day.

2. Supportive Footwear and Orthotics

Investing in high-quality shoes with deep heel cups and proper arch support is non-negotiable. Custom or over-the-counter orthotic inserts can redistribute your weight, taking the pressure off the painful heel bone.

3. Stretching Exercises

Regularly stretching your calves and the plantar fascia can prevent the tightness that worsens heel pain. Gentle stretches performed before stepping out of bed can significantly reduce the severity of morning “start-up” pain.

4. OTC Medications

Non-steroidal anti-inflammatory drugs (NSAIDs) like ibuprofen can help manage acute pain and reduce inflammation. Always follow dosage instructions and consult with a provider if you have underlying health conditions.

💡 Note: Always perform stretching exercises in a slow, controlled manner. Never "bounce" or force a stretch, as this can cause micro-tears in the tissue and exacerbate your pain.

When to Consult a Professional

While home remedies are often effective, there are times when medical intervention is necessary. If your heel spur symptoms persist for more than a few weeks despite rest and home care, it is time to visit a podiatrist. They may suggest more advanced treatments such as cortisone injections, physical therapy, or, in rare cases, surgical options. Diagnostic imaging, such as an X-ray, is usually the gold standard for confirming that a bony spur is indeed the source of the discomfort, ensuring you receive a targeted treatment plan.

Taking control of your foot health begins with awareness. By recognizing the early heel spur symptoms, such as morning stabbing pain or persistent tenderness, you can take proactive steps to prevent long-term complications. Whether it is through upgrading your footwear, committing to a consistent stretching routine, or seeking professional medical advice, you don’t have to live with chronic heel pain. Focus on giving your feet the support they need, and you will likely find that the discomfort subsides, allowing you to return to your daily activities with comfort and confidence.

Related Terms:

  • heel spur exercises
  • heel spur causes
  • heel spur symptoms nhs
  • heel spur treatments
  • heel pain
  • plantar fasciitis heel spur symptoms