Rp

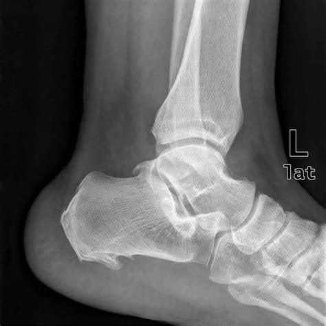
Heel Spur X Ray

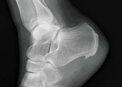
Heel Spur X Ray

Dealing with persistent heel pain can significantly impact your quality of life, making every step a potential struggle. If you have been suffering from discomfort in your feet, your healthcare provider might suggest a Heel Spur X Ray to determine if a bony growth is the underlying cause. Understanding what this imaging process entails and how it fits into the diagnostic puzzle is essential for anyone seeking effective relief and a clear path toward recovery. While many people believe that a heel spur is the direct cause of their pain, clinical research often suggests that the condition is more complex, and imaging is a critical first step in distinguishing between various foot ailments.

What Exactly Is a Heel Spur?

A heel spur, technically known as a calcaneal spur, is a bony protrusion that develops on the underside of the heel bone. Over time, calcium deposits build up on the heel, resulting in this outgrowth. These spurs are often associated with plantar fasciitis, a common condition that involves inflammation of the tissue running along the bottom of the foot.

It is important to note that many individuals possess heel spurs without ever experiencing any pain. The pain often stems not from the spur itself, but from the associated inflammation of the soft tissues surrounding the heel bone. This is precisely why a Heel Spur X Ray is ordered—to visualize the bone structure and help the physician determine whether the spur is the primary culprit or if other factors are contributing to your symptoms.

The Role of a Heel Spur X Ray in Diagnosis

When you visit a podiatrist or orthopedic specialist for persistent heel pain, they will likely conduct a physical examination. If the symptoms warrant further investigation, they will request an imaging study. Here is why the Heel Spur X Ray is the diagnostic gold standard:

  • Visualization: It provides a clear, high-contrast view of the heel bone, allowing the doctor to see the exact size and location of any bony growth.
  • Rule Out Other Conditions: An X-ray helps doctors rule out other potential causes of heel pain, such as stress fractures, arthritis, or other bone abnormalities.
  • Baseline Assessment: Having a clear image of the area allows the medical team to track progress or changes in the bone structure over time if conservative treatments do not provide relief.

While an X-ray is excellent for viewing bone, it does not show soft tissues. If your doctor suspects severe damage to the plantar fascia or other soft tissue structures, they might supplement the X-ray with an ultrasound or MRI.

What to Expect During the Imaging Procedure

If you are scheduled for a Heel Spur X Ray, you can rest assured that the process is quick, non-invasive, and painless. You will typically be asked to sit or lie down while the technician positions your foot to capture the necessary angles. Most appointments last no longer than 15 to 20 minutes, and there is no special preparation required beforehand.

Feature Details
Procedure Duration Typically 10-20 minutes.
Preparation None required; wear comfortable clothing.
Invasiveness Non-invasive.
Primary Goal Identify bony outgrowths and assess bone health.

⚠️ Note: Always inform your healthcare provider if there is any possibility that you are pregnant, as X-rays involve exposure to a minimal amount of radiation.

Interpreting Your Results

Once the radiologist examines your Heel Spur X Ray, they will generate a report for your doctor. It is common for the report to confirm the presence of a "calcaneal spur." However, as mentioned previously, this does not automatically mean the spur is causing your pain. Your physician will correlate these findings with your physical symptoms. For instance, if your pain is worst in the morning or after long periods of sitting, the clinical focus will likely remain on treating the underlying plantar fasciitis, even if a spur is visible.

Common Treatment Paths After Diagnosis

Once the diagnosis is confirmed through the Heel Spur X Ray and physical examination, your treatment plan will likely prioritize conservative, non-surgical methods. Surgery is almost always a last resort reserved for cases where pain persists for several months despite dedicated therapy.

  • Orthotic Inserts: Custom or over-the-counter shoe inserts can cushion the heel and redistribute pressure.
  • Stretching Exercises: Targeted stretches for the calf muscles and the plantar fascia can reduce tension.
  • Footwear Modification: Switching to shoes with better arch support and adequate cushioning is crucial.
  • Physical Therapy: Professional guidance on strengthening and stretching can significantly reduce long-term discomfort.
  • Anti-Inflammatory Medications: Over-the-counter NSAIDs are often used to manage swelling and pain during the healing process.

💡 Note: Consistent adherence to a stretching and exercise program is often more effective for long-term recovery than medication alone.

Why Early Detection Matters

Delaying a visit to the doctor when you have heel pain can sometimes lead to the development of secondary issues. As you change your gait to avoid the pain—a process known as "compensating"—you may inadvertently put extra stress on your ankles, knees, or hips. Getting a Heel Spur X Ray promptly helps you identify the issue so you can address the root cause and return to your normal activity levels without causing a chain reaction of musculoskeletal problems throughout your legs.

Ultimately, a Heel Spur X Ray serves as a fundamental diagnostic tool that provides clarity, allowing you to move forward with a targeted treatment plan. By understanding that the bone spur seen on the X-ray is often a sign of a larger issue—most notably inflammation of the soft tissues—you can better understand why your doctor recommends a holistic approach to your care. The journey to a pain-free life often begins with identifying the physical structure of the heel, and with the right combination of rest, specialized footwear, and consistent physical therapy, most individuals are able to find relief without the need for invasive surgical procedures. If you are struggling with discomfort, do not hesitate to seek professional evaluation, as early intervention remains the most effective way to restore comfort and mobility to your everyday activities.

Related Terms:

  • posterior heel spur x ray
  • are heel spurs painful
  • heel spur x ray images
  • heel spur pictures
  • heel spur meaning
  • foot xray with heel spur