Rp

Hepatic Artery Common

Hepatic Artery Common

The human vascular system is a masterpiece of biological engineering, a complex network of highways that ensure oxygenated blood reaches every corner of the body. Among the most critical junctions in the abdominal cavity is the Hepatic Artery Common, a vital vessel that serves as the primary gateway for blood supply to the liver, gallbladder, stomach, and parts of the pancreas. Understanding its anatomy, function, and clinical significance is essential for medical professionals and patients alike, as disruptions here can have cascading effects on digestive and metabolic health.

Anatomy and Structural Positioning

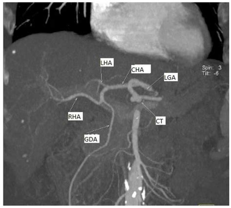
The Hepatic Artery Common arises from the celiac trunk, which is the first major branch of the abdominal aorta. From this origin, it travels a short distance before bifurcating into two major terminal branches: the proper hepatic artery and the gastroduodenal artery. Its placement is strategic, situated deep within the upper abdomen and behind the lesser omentum, making it a focal point during abdominal surgeries and interventional radiology procedures.

The intricate branching pattern of the vascular supply is often described through various anatomical classifications, such as the Michels classification system. While the “classic” presentation involves a direct path from the celiac trunk, anatomical variations are surprisingly common. Surgeons must be hyper-aware of these variations—such as a replaced or accessory hepatic artery—because damage to these structures during biliary or gastric surgery can lead to severe ischemic complications for the liver.

The Functional Role of the Hepatic Artery Common

The liver is unique because it receives a dual blood supply: approximately 75% from the portal vein (which is nutrient-rich but deoxygenated) and 25% from the Hepatic Artery Common system. This arterial inflow is crucial because it provides the highly oxygenated blood necessary for the liver’s intense metabolic activities. Without this constant supply, the liver cells, or hepatocytes, would struggle to maintain energy balance and perform detoxification functions.

  • Oxygenation: Provides high-pressure, oxygen-rich blood to the hepatic parenchyma.
  • Support for the Gallbladder: Through the cystic artery, which typically branches from the right hepatic artery, it ensures the gallbladder remains perfused.
  • Digestive Synergy: Its branch, the gastroduodenal artery, supplies the duodenum and the head of the pancreas, linking the vascular health of the liver to the entire upper gastrointestinal tract.

Clinical Significance and Diagnostic Imaging

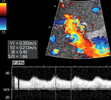
Because the Hepatic Artery Common is central to visceral perfusion, it is a primary area of concern in various medical scenarios, ranging from trauma to localized tumor management. When issues arise, such as an aneurysm, stenosis, or thrombosis, diagnostic imaging becomes the cornerstone of treatment planning. Physicians typically rely on advanced modalities to visualize this vessel clearly.

Diagnostic Tool Primary Utility
Doppler Ultrasound First-line assessment for blood flow velocity and direction.
CT Angiography (CTA) Provides high-resolution mapping of the vessel and its branches.
Magnetic Resonance Angiography (MRA) Detailed look at the soft tissue and vascular connections.
Digital Subtraction Angiography Gold standard for interventional procedures and mapping variants.

💡 Note: Always consult with a vascular specialist or interventional radiologist when interpreting imaging results of the Hepatic Artery Common, as anatomical variations are frequent and can mimic pathology.

Pathological Conditions

Several conditions can affect this arterial segment, potentially compromising the organs it serves. One notable condition is Hepatic Artery Common aneurysm. While rare, these aneurysms are significant due to the high risk of rupture, which can lead to life-threatening intra-abdominal hemorrhage. Often, these are asymptomatic until they reach a size that causes pain or compression of adjacent structures like the bile duct.

Another area of focus is atherosclerotic disease. Just as coronary arteries can narrow due to plaque buildup, the hepatic arterial system can suffer from stenosis. This reduces the oxygen-rich blood flow to the liver, leading to a condition known as hepatic ischemia. Symptoms may be vague, involving abdominal pain or elevated liver enzymes, which underscores the importance of thorough clinical investigation.

Interventional Approaches and Surgical Considerations

In the modern medical landscape, the treatment of arterial disorders has shifted toward minimally invasive procedures. Stenting, angioplasty, and embolization are common interventions performed by radiologists. For instance, in patients with hepatocellular carcinoma (a type of liver cancer), surgeons often utilize the arterial pathway to deliver targeted chemotherapy directly to the tumor—a procedure known as transarterial chemoembolization (TACE). By blocking the flow through the Hepatic Artery Common branches feeding the tumor, doctors can effectively “starve” the malignancy while preserving healthy surrounding tissue.

Surgical ligation or bypass of this vessel remains a complex task. Surgeons must balance the need to control bleeding or remove diseased tissue with the absolute necessity of maintaining viability for the liver. Advanced intraoperative mapping is often used to identify these vessels and their variations before the first incision is made, drastically reducing the risk of accidental injury.

Managing Vascular Health

Maintaining the health of the Hepatic Artery Common is essentially about maintaining cardiovascular health. Since the vessel is susceptible to atherosclerosis, standard preventative measures apply. A diet low in processed fats, regular physical activity, and strict management of hypertension and diabetes are the most effective ways to ensure the patency of your abdominal vascular network. When arterial health is compromised, it is rarely a localized event; rather, it reflects systemic vascular status.

Routine health screenings that include blood pressure monitoring and liver function tests can indirectly alert clinicians to potential vascular issues. If an abnormality is detected in the liver’s enzymatic profile, a physician might order a vascular ultrasound as a preliminary step. Catching these issues early is key, as the liver is a highly resilient organ that can recover well if blood flow is restored before permanent damage occurs.

💡 Note: Smoking cessation is strongly advised for any patient diagnosed with arterial vascular disease, as tobacco use accelerates the hardening and narrowing of vital abdominal arteries.

The Hepatic Artery Common acts as a vital bridge between the heart and the digestive powerhouse of the body. Its role in oxygenating the liver and supporting nearby organs makes it an indispensable part of human anatomy. Whether through the lens of surgical navigation, diagnostic imaging, or the management of chronic disease, acknowledging its complexity is a prerequisite for effective medical care. By staying informed about the anatomy, potential pathologies, and current diagnostic standards associated with this vessel, patients and providers can better navigate the complexities of liver-related health challenges. Moving forward, continued advancements in non-invasive imaging and targeted interventional therapies will likely provide even safer and more efficient ways to manage this critical junction in the abdominal landscape.

Related Terms:

  • common hepatic artery origin
  • common hepatic artery model
  • branches of proper hepatic artery
  • branches of common hepatic artery
  • replaced right hepatic artery radiology
  • common hepatic artery and proper