Cleve

Hepatic Metastatic Disease

Hepatic Metastatic Disease

The diagnosis of Hepatic Metastatic Disease—often referred to as liver metastases—represents a significant turning point in the management of cancer. Because the liver serves as the primary filtration system for blood returning from the gastrointestinal tract, it is the most common site for secondary tumors to develop from primary cancers originating elsewhere in the body. Understanding the nature, diagnosis, and management of this condition is essential for patients, caregivers, and medical professionals navigating the complexities of advanced oncology.

Understanding the Pathology of Liver Metastases

Hepatic Metastatic Disease occurs when cancer cells detach from a primary tumor site, enter the bloodstream or lymphatic system, and eventually lodge in the liver, where they begin to grow uncontrollably. While any cancer has the potential to metastasize to the liver, it is most frequently associated with primary cancers in the gastrointestinal tract. This is largely due to the unique blood supply of the liver, which receives a significant portion of its blood flow directly from the gut through the portal vein.

Common primary cancers that lead to liver involvement include:

  • Colorectal cancer (the most frequent cause)
  • Pancreatic cancer
  • Stomach (gastric) cancer
  • Breast cancer
  • Lung cancer
  • Neuroendocrine tumors

Common Symptoms and Clinical Presentation

In many instances, early-stage Hepatic Metastatic Disease may remain asymptomatic, making regular surveillance crucial for patients with a known history of primary cancer. As the tumors grow or cause inflammation within the liver, patients may begin to experience non-specific symptoms. Recognizing these early signs can lead to more timely interventions.

Typical symptoms include:

  • Unexplained weight loss or loss of appetite.
  • Persistent pain or discomfort in the upper right quadrant of the abdomen.
  • Jaundice (yellowing of the skin and eyes) if bile ducts become obstructed.
  • Severe fatigue and weakness.
  • Swelling in the abdomen (ascites) or legs.

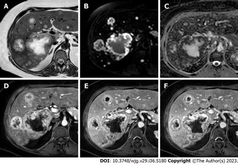
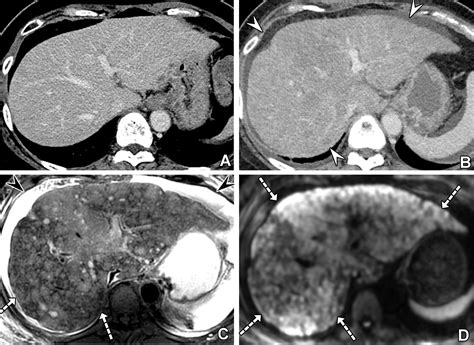
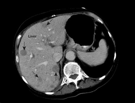
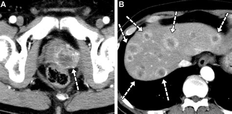
Diagnostic Approaches

Modern medicine utilizes a combination of imaging technologies and laboratory tests to confirm the presence of Hepatic Metastatic Disease. Accurate staging is vital because the treatment strategy often depends on whether the metastasis is confined to the liver or has spread to other organs.

Diagnostic Method Purpose/Utility
Liver Function Tests (LFTs) Checks for elevated enzymes indicating liver stress or damage.
Abdominal CT Scan Provides detailed cross-sectional images to identify lesion size and location.
MRI with Contrast Highly sensitive; often used to differentiate benign lesions from metastases.
PET Scan Used to detect metabolic activity and assess for widespread disease.
Liver Biopsy Definitive tissue analysis to determine the primary origin if unknown.

💡 Note: While imaging is highly effective, not all liver lesions are cancerous; some may be benign cysts or hemangiomas, which is why clinical correlation is always necessary.

Advanced Treatment Modalities

The management of Hepatic Metastatic Disease has evolved from purely palliative care to increasingly curative-intent strategies. Depending on the size, number, and distribution of the tumors, the multidisciplinary oncology team may recommend a combination of therapies.

Surgical Resection

For patients with limited metastasis, surgical removal (resection) of the affected liver segments remains the “gold standard” for potentially curative outcomes. Advances in liver surgery allow for safe removal of significant portions of the liver, which possesses a unique and remarkable ability to regenerate.

Ablation Therapies

For patients who are not surgical candidates, thermal ablation techniques such as Radiofrequency Ablation (RFA) or Microwave Ablation can be used to destroy tumor cells using heat. These are often performed percutaneously under imaging guidance, offering a minimally invasive alternative.

Systemic and Targeted Therapies

Chemotherapy remains a cornerstone for controlling Hepatic Metastatic Disease. However, the rise of targeted therapies and immunotherapy has shifted the landscape. These drugs focus on specific genetic mutations within the cancer cells, reducing systemic toxicity while effectively slowing tumor growth.

Trans-arterial Therapies

Because liver tumors receive most of their blood supply from the hepatic artery (while healthy liver tissue receives it from the portal vein), doctors can utilize Trans-arterial Chemoembolization (TACE) or Radioembolization (Y-90). These procedures deliver concentrated doses of chemotherapy or radiation directly into the tumor’s blood supply.

⚠️ Note: Treatment plans are highly individualized; patients should discuss the specific risks and potential benefits of these procedures with a specialized hepatobiliary surgeon or medical oncologist.

Multidisciplinary Management and Prognosis

Managing Hepatic Metastatic Disease requires a collaborative effort. A patient’s care team typically includes medical oncologists, surgeons, interventional radiologists, pathologists, and oncology nurses. This team-based approach ensures that the sequence of treatments—such as using chemotherapy to "downsize" a tumor before surgery—is optimized for the best possible outcome.

The prognosis for individuals with this condition depends on several variables, including the biology of the primary tumor, the tumor burden in the liver, and the patient's overall health status. While the diagnosis is challenging, significant improvements in therapeutic technology mean that many individuals are living longer, higher-quality lives compared to previous decades.

Final Perspectives

Navigating the journey of Hepatic Metastatic Disease is undoubtedly taxing, but medical advancements continue to provide more options for effective management. By maintaining consistent communication with a specialized oncology team, participating in regular surveillance, and exploring personalized treatment plans, patients can take an active role in their care. The field of oncology is moving toward a more precision-based approach, where therapies are increasingly tailored to the specific genetic and molecular makeup of an individual’s cancer. Staying informed and focused on a comprehensive, multidisciplinary strategy remains the most effective path forward in addressing these complex clinical scenarios, ultimately aiming for improved health outcomes and a better quality of life for those affected.

Related Terms:

  • metastatic liver cancer survival rate
  • metastatic liver cancer life expectancy
  • hepatic metastatic disease definition
  • hepatic metastatic disease meaning
  • most common metastasis to liver
  • hepatic metastatic disease icd10