Cleve

Herpes And Gums

Herpes And Gums

When most people think of oral health, they typically focus on brushing, flossing, and preventing cavities. However, the connection between herpes and gums is a frequently misunderstood aspect of oral wellness that warrants closer attention. The herpes simplex virus (HSV), specifically HSV-1, is widely known for causing cold sores around the lips, but it can also have significant impacts on the tissues inside your mouth, including your gums. Understanding how this virus interacts with your gingival health is essential for recognizing symptoms early and seeking appropriate care.

The Relationship Between Herpes and Gums

The virus responsible for oral outbreaks, Herpes Simplex Virus Type 1, is incredibly common. Once an individual is exposed, the virus typically remains dormant in the nerve ganglia, occasionally reactivating to cause lesions. While we often associate these lesions with the outer lip area, the virus can manifest as herpetic gingivostomatitis, a condition where the gums become inflamed, painful, and prone to bleeding. This is particularly common during a primary infection, which is the very first time the body encounters the virus.

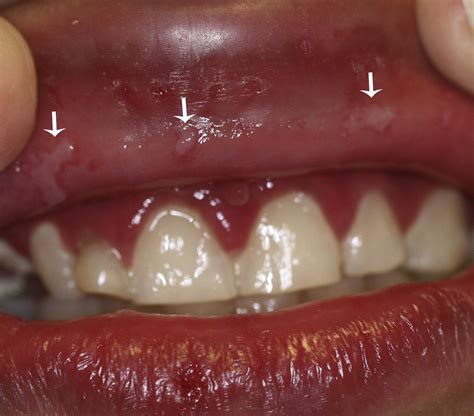
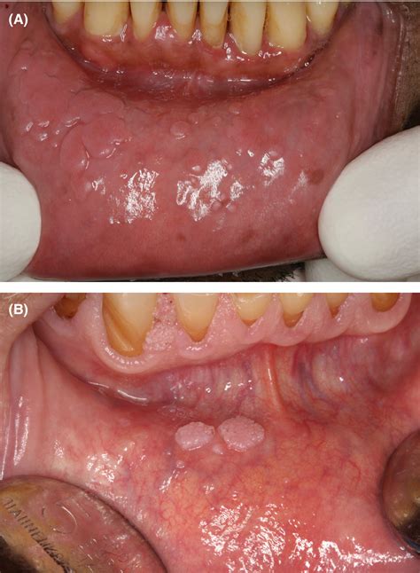
In many cases, the interplay between herpes and gums is characterized by a sudden onset of symptoms. Unlike a standard canker sore, which usually appears as a single ulcer on the soft tissue inside the cheek, herpetic lesions often appear in clusters. When these clusters develop along the gumline, they can make routine hygiene like brushing extremely painful, leading to a temporary decline in oral health if not managed correctly.

Recognizing the Symptoms

Differentiating between common gum issues like gingivitis and a viral flare-up is vital. If you are experiencing symptoms, look for the following indicators that suggest a connection between your current discomfort and the herpes virus:

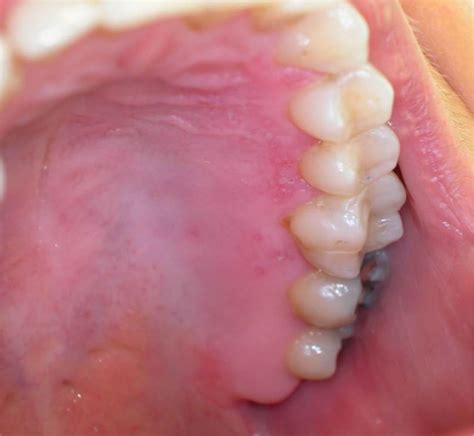
  • Sudden gum inflammation: Gums may appear bright red, swollen, and shiny.
  • Small, fluid-filled blisters: These can rupture, forming small, painful ulcers on the gingiva.
  • Bleeding gums: Even with gentle contact, the inflamed tissue may bleed easily.
  • Fever or lymph node swelling: A primary herpes infection often presents with systemic symptoms like a mild fever or swollen glands in the neck.
  • Difficulty eating or drinking: The raw, open ulcers can make acidic or hot foods feel like a burning sensation.

Comparative Overview: Gum Conditions

Feature Herpetic Gingivostomatitis Standard Gingivitis
Cause HSV-1 Virus Plaque/Bacteria buildup
Onset Sudden/Rapid Gradual/Chronic
Appearance Clustered blisters/ulcers Generalized swelling/redness
Contagious Yes No

Managing Symptoms Effectively

If you suspect that your gum pain is related to an active herpes outbreak, there are several steps you can take to manage the discomfort and promote healing. It is important to remember that because this is a viral issue, standard antibacterial mouthwashes may not provide the relief you expect.

Steps to manage symptoms include:

  • Maintain Hydration: Drink plenty of cool water to keep the mouth hydrated, which helps soothe inflamed tissues.
  • Gentle Oral Hygiene: Use a soft-bristled toothbrush. Even if it is uncomfortable, keep the area clean to prevent secondary bacterial infections.
  • Avoid Irritants: Steer clear of spicy, acidic, or overly salty foods that can sting open ulcers.
  • Use Recommended Topical Treatments: Consult a professional about numbing gels or antiviral creams that are safe for internal mouth use.

💡 Note: Always consult a dentist or physician before starting any new topical medication. Some over-the-counter treatments for lip cold sores are not intended for use on the delicate tissues inside your mouth or on the gums.

Preventing Flare-ups

Since the virus remains in your system for life, the focus shifts to prevention and lifestyle management. The relationship between herpes and gums is often aggravated by stress and a weakened immune system. When your body is run down, the virus is more likely to reactivate.

To reduce the frequency of outbreaks:

  • Prioritize Stress Management: High stress is a known trigger for herpes outbreaks. Techniques like yoga, meditation, or regular sleep cycles can bolster your immune response.
  • Nutrient-Rich Diet: A diet high in lysine-rich foods (like fish, chicken, and legumes) and lower in arginine-rich foods (like chocolate and nuts) may help manage viral activity.
  • Oral Health Maintenance: Keep your gums healthy by flossing daily. A healthy, non-inflamed gum environment is less susceptible to opportunistic infections.

Understanding how herpes and gums interact allows you to take control of your oral health with confidence. While a herpetic outbreak is certainly uncomfortable, it is a manageable condition. By staying vigilant about your hygiene, maintaining a healthy immune system, and knowing when to seek professional dental advice, you can minimize the impact of the virus on your day-to-day life. If you notice unusual blistering or persistent pain that does not subside within a week, it is always best to visit a dental professional to rule out other conditions and ensure you receive the proper care for your unique situation.

Related Terms:

  • herpes on gums treatment
  • herpes on gums pictures
  • herpes on gums dental
  • does herpes cause inflamed gums
  • blisters on my gums
  • sore gums and swollen lips