Cleve

Hills Sachs Lesion

Hills Sachs Lesion

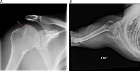
A Hills Sachs lesion is a specific type of injury that occurs in the shoulder joint, typically following an anterior shoulder dislocation. It is defined as an impaction fracture on the posterolateral aspect of the humeral head—the "ball" part of the shoulder joint. When the shoulder pops out of its socket, the soft, rounded bone of the humerus is forced against the sharp, hard edge of the glenoid (the socket), resulting in a depression or indentation in the bone. Understanding the nature of this injury is crucial for anyone involved in sports, physical therapy, or orthopedic recovery, as it directly impacts the long-term stability and function of the shoulder joint.

Understanding the Mechanics of a Hills Sachs Lesion

Diagram showing the shoulder joint and a Hills Sachs lesion on the humeral head

The shoulder is a ball-and-socket joint, designed for a vast range of motion. However, this flexibility comes at the cost of stability. When an anterior shoulder dislocation occurs, the humeral head is pushed forward and out of the socket. In many cases, the bone travels until it strikes the glenoid rim. Because the bone of the humeral head is relatively soft, the harder bone of the glenoid rim acts like a stamp, creating a “divot” or notch in the humeral head.

This indentation is the Hills Sachs lesion. It is important to note that these lesions are highly prevalent in patients who experience recurrent shoulder instability. Once the bone has been dented, the "locking" mechanism of the shoulder is compromised, making it easier for the joint to dislocate again in the future. This creates a cycle of instability that often requires medical intervention to correct.

Symptoms and Clinical Presentation

In the immediate aftermath of a dislocation, the primary symptoms are often masked by the acute pain of the dislocation itself. However, as the initial pain subsides, patients may notice lingering issues. Common symptoms associated with a Hills Sachs lesion include:

  • Persistent Shoulder Instability: A feeling that the shoulder is “loose” or might slip out of place during overhead activities.
  • Clicking or Popping Sounds: Audible sensations when moving the arm, caused by the bony defect catching on the labrum or the glenoid rim.
  • Recurrent Dislocations: Patients with larger lesions are significantly more likely to experience subsequent dislocations even with minimal force.
  • Dull Ache: A chronic, deep-seated pain in the shoulder, especially after physical exertion or throwing motions.

Diagnosing the Condition

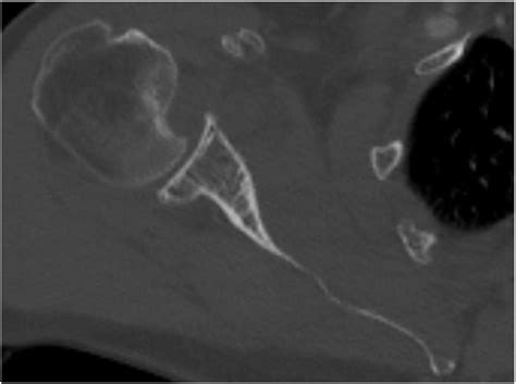
To accurately identify the extent of a Hills Sachs lesion, orthopedic specialists use various imaging techniques. A standard physical examination usually includes provocation tests to check for joint laxity, but the definitive diagnosis relies on high-quality medical imaging:

Imaging Method Purpose
X-Ray (West Point View) Provides a specialized angle to visualize the bony defect of the humeral head.
MRI or MR Arthrogram Used to evaluate the soft tissues, specifically the labrum and surrounding ligaments.
CT Scan The gold standard for quantifying the amount of bone loss in the humeral head and glenoid.

💡 Note: While a CT scan is highly accurate for bony defects, a surgeon will almost always order an MRI to assess associated soft tissue injuries like a Bankart tear, which frequently accompanies a Hill-Sachs lesion.

Treatment Approaches: Non-Surgical vs. Surgical

The treatment plan for a Hills Sachs lesion is highly individualized, depending on the size of the lesion, the patient’s age, activity level, and the frequency of dislocations.

Conservative Management

For small, non-engaging lesions, physical therapy is often the first line of defense. The goal is not to fix the bone, but to strengthen the musculature—specifically the rotator cuff and scapular stabilizers—to compensate for the loss of bone structure. A structured program focuses on:

  • Strengthening the subscapularis muscle to provide anterior stability.
  • Enhancing proprioception to improve joint awareness.
  • Avoiding high-risk overhead movements during the healing phase.

Surgical Intervention

If the lesion is “engaging”—meaning it catches on the glenoid rim during movement—or if the patient continues to suffer from frequent dislocations, surgery may be necessary. Common procedures include:

  • Remplissage Procedure: A technique where the capsule and the infraspinatus tendon are sutured into the Hills Sachs lesion, effectively “filling” the defect and preventing it from catching.
  • Bone Grafting: In cases of severe bone loss, surgeons may use a bone graft to restore the contour of the humeral head.
  • Arthroscopic Stabilization: Usually performed alongside a Bankart repair to tighten the ligaments and restore overall joint tension.

💡 Note: Recovery following surgery is a long process. Patients should expect to wear a sling for several weeks and engage in physical therapy for four to six months to regain full strength and range of motion.

Long-Term Prognosis and Prevention

While a Hills Sachs lesion is a permanent change to the anatomy of the bone, it does not necessarily mean the end of an athletic career or active lifestyle. Many individuals successfully return to sports by focusing on long-term shoulder conditioning. Prevention remains the best strategy; athletes involved in contact sports or overhead throwing should prioritize shoulder girdle strengthening and proper technique to mitigate the risk of initial dislocations.

When assessing a patient, medical professionals often categorize the severity of the lesion based on the percentage of the humeral head involved. Lesions involving less than 20% of the humeral head are typically managed non-operatively, while those exceeding 30-40% almost always require surgical attention to restore structural integrity. Consistent monitoring by an orthopedic surgeon is essential to track whether the joint is becoming more unstable over time.

Managing a shoulder injury of this nature requires a balance between patience and proactive rehabilitation. By understanding the biomechanical implications of the bony defect, patients can better advocate for their own recovery path. Whether through targeted physical therapy to build supportive muscle or surgical stabilization to address structural instability, most individuals can regain significant function. Maintaining consistent communication with healthcare providers and strictly adhering to prescribed rehabilitation protocols are the most effective ways to ensure long-term shoulder health and prevent the recurrence of injuries.

Related Terms:

  • hill sachs lesion ultrasound
  • hill sachs lesion radiology
  • hill sachs and bankart lesion
  • hill sachs lesion orthobullets
  • hill sachs lesion protocol
  • hill sachs lesion mri