Receiving a diagnosis of hip dysplasia can be overwhelming, especially when it becomes clear that conservative treatments—such as physical therapy, activity modification, or bracing—are no longer sufficient to manage your pain and mobility issues. For many patients, hip dysplasia surgery becomes the necessary path forward to restore joint function, alleviate chronic discomfort, and prevent long-term damage like early-onset osteoarthritis. Understanding the surgical options available, the recovery process, and what to expect during your journey is the first step toward reclaiming your quality of life.
Understanding Hip Dysplasia and Why Surgery Becomes Necessary
Hip dysplasia is a condition where the hip joint does not fit together perfectly. The "ball and socket" joint of the hip may be shallow, meaning the socket (acetabulum) does not fully cover the ball of the upper thighbone (femoral head). This misalignment can put excessive stress on the cartilage, causing pain, instability, and eventually, structural breakdown of the joint.
When nonsurgical methods fail to improve symptoms, orthopedic specialists typically recommend hip dysplasia surgery. The ultimate goal of these procedures is to realign the joint anatomy to distribute weight more evenly, improve joint stability, and preserve the patient's natural hip joint for as long as possible. Waiting too long to address symptomatic dysplasia can lead to irreversible cartilage damage, which may necessitate a more extensive joint replacement later in life.

Primary Surgical Options for Hip Dysplasia
The type of surgery recommended depends heavily on the severity of the dysplasia, the patient's age, and the amount of existing joint damage. Surgeons will evaluate imaging, such as X-rays and MRIs, to determine the most effective approach.
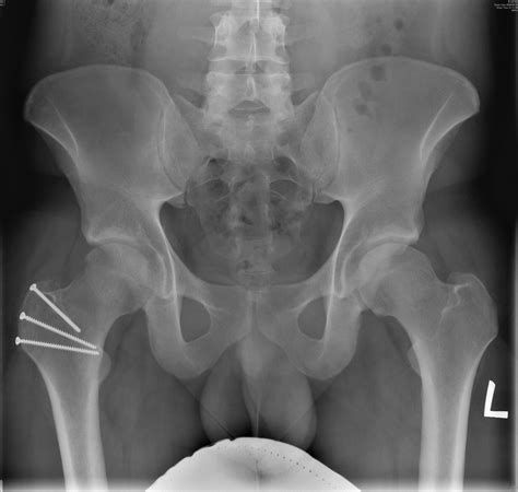
Periacetabular Osteotomy (PAO)
For younger patients or active adults who still have healthy cartilage, the Periacetabular Osteotomy (PAO) is often the gold standard. During this procedure, the surgeon cuts the pelvic bone around the socket to reposition it into a more stable orientation. The bone is then secured with metal screws. This surgery is highly effective at correcting the anatomy to prevent future arthritis.
Hip Arthroscopy
In cases where dysplasia is mild or accompanied by soft tissue damage—such as a labral tear—hip arthroscopy may be performed. This is a minimally invasive technique where small incisions are used to insert a camera and specialized tools to repair the labrum or smooth out rough edges within the joint. While it can address pain caused by soft tissue damage, it is rarely a standalone solution for severe structural dysplasia.
Total Hip Arthroplasty (Hip Replacement)
If the hip joint has already developed advanced osteoarthritis due to chronic dysplasia, the cartilage is often too damaged for preservation. In these instances, a total hip replacement is the most reliable option. The damaged ball and socket are replaced with artificial components, effectively resolving the pain associated with bone-on-bone friction.
| Procedure | Primary Goal | Ideal Candidate |
|---|---|---|
| Periacetabular Osteotomy (PAO) | Reposition socket | Younger adults with healthy cartilage |
| Hip Arthroscopy | Repair soft tissue | Mild dysplasia with labral tears |
| Total Hip Replacement | Replace joint surfaces | Advanced osteoarthritis |
💡 Note: The choice of procedure is highly individualized. Always consult with a fellowship-trained hip preservation specialist to discuss which surgical approach offers the best long-term outcome for your specific anatomy.
Preparing for Your Procedure
Success after hip dysplasia surgery begins long before you enter the operating room. Surgeons often emphasize "prehabilitation," which involves strengthening the muscles around the hip, core, and back to ensure a faster recovery. Other essential steps include:
- Health Optimization: Managing conditions like diabetes or smoking cessation, as these significantly impact bone healing.
- Home Preparation: Arranging your living space to minimize bending and lifting during the initial recovery phase.
- Medication Review: Working with your care team to pause blood-thinning medications or other supplements that could increase surgical bleeding.
The Recovery Roadmap
Recovery timelines vary drastically based on the procedure performed. An arthroscopic procedure might allow for a quicker return to daily activities, while a PAO is a major orthopedic surgery requiring a longer, more structured recovery period. Generally, patients should expect a transition from crutches or a walker to full weight-bearing over the course of several weeks or months.
Physical therapy is the cornerstone of recovery. A tailored PT program helps patients regain range of motion, build muscular support for the newly aligned joint, and normalize gait patterns. Adhering strictly to your surgeon’s weight-bearing restrictions is critical during the first six to twelve weeks to ensure the bones heal correctly in their new position.
💡 Note: Do not rush your recovery milestones. Increasing activity too quickly against medical advice can compromise the hardware used to stabilize the bone, potentially requiring a follow-up procedure.
Managing Pain and Long-Term Outlook
Post-operative pain management usually involves a multi-modal approach, utilizing non-narcotic pain relievers, ice therapy, and nerve-calming medications to minimize the need for opioids. Over time, as the surgical site heals and physical therapy strengthens the supportive tissues, the reliance on pain management decreases significantly.
The vast majority of patients who undergo hip dysplasia surgery report a significant improvement in their ability to perform daily activities, engage in exercise, and sleep without hip-related pain. While it is a significant commitment, the investment in surgery can preserve the integrity of your hip joint for decades, allowing for a more active and comfortable lifestyle than would be possible if the condition remained untreated.
Navigating the complexities of hip dysplasia requires a thorough understanding of your structural anatomy and the surgical interventions available to you. By working closely with a qualified orthopedic team, you can successfully navigate the process from initial evaluation to full recovery. Whether through joint preservation techniques like PAO or corrective joint replacement, the medical advancements in this field offer effective solutions for improving mobility and alleviating chronic pain. Taking proactive steps today ensures that you are making an informed decision for your long-term health, allowing you to return to the activities you enjoy with a restored, stable, and pain-free hip joint.
Related Terms:
- hip dysplasia in adults
- hip dysplasia surgery recovery
- hip dysplasia surgery name
- hip dysplasia treatments
- hip dysplasia surgery in dogs
- hip dysplasia surgery poa