Mayo

Hip Fracture Surgery

Hip Fracture Surgery

A hip fracture surgery is a critical medical procedure typically performed to repair a broken hip, which is a break in the upper quarter of the femur (thigh bone). This injury is particularly common among older adults, often resulting from falls or underlying conditions like osteoporosis that weaken the bone structure. Because a hip fracture severely limits mobility and can lead to serious complications if left untreated, prompt surgical intervention is usually the standard of care to restore function, reduce pain, and allow patients to return to their daily activities as quickly as possible.

Understanding Hip Fracture Surgery

When an individual suffers a hip fracture, the primary goal of the medical team is to stabilize the bone or replace the damaged joint to facilitate early movement. The specific type of surgery recommended depends heavily on the location and severity of the break, the patient's overall health, and their level of activity prior to the injury. Orthopedic surgeons evaluate these factors to determine the best approach, which generally falls into three main categories: internal fixation, partial hip replacement, or total hip replacement.

Internal fixation is often used for fractures where the bone pieces can be realigned. During this procedure, the surgeon uses metal screws, plates, or rods to hold the bones together while they heal naturally. This option is frequently chosen when the blood supply to the head of the femur remains intact, as it preserves the patient's own joint.

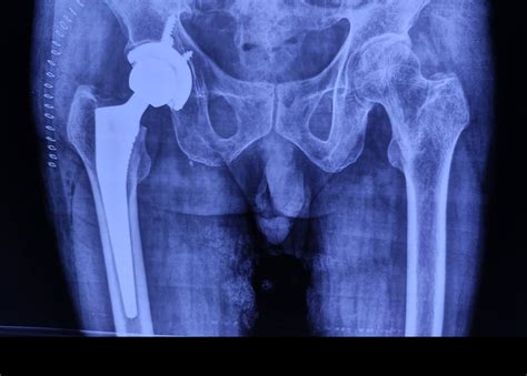
Conversely, if the fracture is severe or if the blood supply to the femoral head has been disrupted, a hip replacement may be necessary. In a partial hip replacement, only the head of the femur is replaced with a metal prosthesis. In a total hip replacement, both the head of the femur and the socket in the pelvic bone are replaced. This procedure is generally preferred for active older adults as it provides better long-term outcomes and reduces the risk of needing follow-up surgeries.

Types of Hip Fracture Surgical Procedures

Selecting the right surgical approach is pivotal for long-term mobility. The following table provides a quick overview of the most common surgical interventions:

Surgery Type Best For Key Features
Internal Fixation Stable fractures with good bone quality Uses screws, plates, or pins; preserves the patient's natural bone
Partial Hip Replacement (Hemiarthroplasty) Femoral neck fractures Replaces only the femoral head with a metal prosthesis
Total Hip Replacement Severe fractures or pre-existing arthritis Replaces both femoral head and the pelvic socket

Preparing for the Procedure

Preparation for hip fracture surgery typically happens in an emergency setting because the injury requires urgent attention. However, medical teams strive to optimize the patient’s condition as quickly as possible before moving to the operating room. This preparation often includes:

  • Medical evaluation: Assessing cardiovascular health, blood work, and potential underlying conditions.
  • Medication review: Evaluating current prescriptions, especially blood thinners, which may need to be adjusted.
  • NPO status: Ensuring the patient does not eat or drink for a specific period before surgery to ensure anesthesia safety.
  • Pain management: Providing medication to keep the patient comfortable while awaiting surgery.

⚠️ Note: Always inform the surgical team about all current medications, including herbal supplements, as some can interfere with anesthesia or clotting.

The Post-Operative Recovery Process

Recovery starts almost immediately after hip fracture surgery. The main objective of the post-operative phase is to get the patient moving—often within 24 hours of the operation—to prevent complications like blood clots, pneumonia, and pressure sores.

Physical therapy is the cornerstone of recovery. A physical therapist will work with the patient to help them regain strength, balance, and the ability to walk. The recovery timeline usually involves:

  • Immediate Post-op: Gentle range-of-motion exercises in bed and assisted sitting.
  • Early Days: Getting out of bed and walking with a walker or crutches.
  • Weeks 1–6: Gradually increasing weight-bearing activities as advised by the surgeon and progressing through prescribed physical therapy exercises.
  • Months 3–6: Returning to normal daily activities, though some limitations may persist depending on the severity of the original injury.

Managing Risks and Complications

While hip fracture surgery is highly effective, it does carry risks, particularly in elderly populations. Being aware of these potential complications allows patients and caregivers to monitor progress effectively. Common risks include:

  • Infection: Managed with prophylactic antibiotics administered before and after the surgery.
  • Blood clots: Prevented through early mobilization, compression stockings, and blood-thinning medication.
  • Dislocation (in replacements): Requires adhering to specific post-operative activity precautions.
  • Pressure sores: Prevented by frequently changing positions in bed or chairs.

💡 Note: Adhering strictly to the physical therapy regimen is the most effective way to prevent long-term complications and ensure the best functional recovery.

Life After Surgery

Returning to a normal life after hip fracture surgery is a process that requires patience and dedication. It is essential to create a safe environment at home to prevent future falls, which is the most common cause of re-injury. Simple modifications, such as installing grab bars in bathrooms, removing loose rugs, ensuring adequate lighting, and using assistive devices like raised toilet seats, can significantly reduce risks.

Long-term management also involves addressing the root cause of the fracture. If osteoporosis is the cause, healthcare providers may recommend calcium and vitamin D supplements, bone-strengthening medications, and weight-bearing exercises to improve bone density and reduce the risk of future fractures.

Ultimately, while hip fracture surgery is a major event, modern medical advancements have made it a routine and highly effective procedure for restoring mobility. By focusing on timely surgical intervention, participating actively in a structured rehabilitation program, and making necessary lifestyle changes to enhance safety and bone health, most patients can successfully regain independence and return to their preferred activities. Clear communication with the orthopedic team and a commitment to the recovery plan are the most vital components in achieving a positive outcome and ensuring long-term hip health.

Related Terms:

  • hip fracture surgery recovery
  • hip fracture surgery recovery time
  • hip fracture types
  • hip fracture recovery
  • displaced hip fracture
  • hip fracture surgery types