Cleve

Histology Skeletal Muscle

Histology Skeletal Muscle

Understanding the intricate architecture of human movement begins at the microscopic level, specifically through the study of histology skeletal muscle. Skeletal muscle is a specialized contractile tissue that makes up the bulk of the muscular system, enabling voluntary movement, maintaining posture, and generating body heat. To the naked eye, a muscle appears as a solid, fleshy structure, but under a microscope, it reveals a highly organized hierarchy of protein filaments, cellular membranes, and connective tissue layers that facilitate the incredible strength and precision of human kinetics.

The Cellular Architecture of Skeletal Muscle

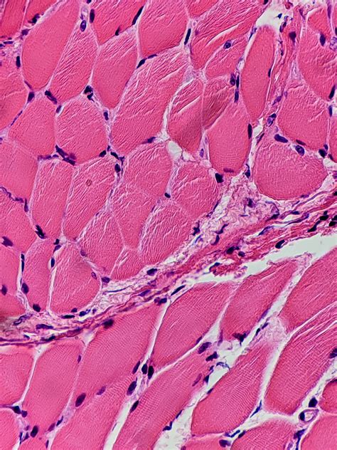
At the center of histology skeletal muscle study are the muscle fibers, known as myocytes. These are long, cylindrical, multinucleated cells that span the length of the muscle. Their unique structure is defined by several key components:

  • Sarcolemma: The specialized plasma membrane that surrounds each muscle fiber.
  • Sarcoplasm: The cytoplasm of the muscle cell, packed with mitochondria and glycogen.
  • Myofibrils: Long, rod-like contractile organelles that occupy the majority of the sarcoplasm.
  • Sarcoplasmic Reticulum: A complex network of tubules that regulates calcium ion storage and release.

The multinucleated nature of these cells is a result of the fusion of myoblasts during embryonic development, which allows for efficient protein synthesis across the length of the long fiber.

The Organization of Sarcomeres

If you zoom in further on the myofibrils, you will see the repeating functional units known as sarcomeres. These units provide the characteristic striated appearance—the alternating light and dark bands—that defines skeletal muscle. The arrangement of actin (thin) and myosin (thick) filaments within these sarcomeres is what dictates the shortening of the muscle during a contraction.

Band/Zone Description
A-Band The dark zone; contains both actin and myosin filaments.
I-Band The light zone; contains only actin filaments.
Z-Disc The boundary that separates one sarcomere from the next.
H-Zone The central part of the A-band where only myosin is present.

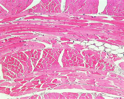
Connective Tissue Layers

The histology of skeletal muscle is not limited to the cells alone; the surrounding connective tissue layers are vital for structural integrity and force transmission. These layers organize the thousands of fibers into functional bundles:

  • Endomysium: Delicate connective tissue that wraps individual muscle fibers.
  • Perimysium: A thicker sheath that bundles fibers together into groups called fascicles.
  • Epimysium: The outer fibrous layer that encompasses the entire muscle, connecting to tendons.

💡 Note: The connective tissues are essential for holding muscle fibers together and providing pathways for blood vessels and nerves to reach the interior of the muscle.

Fiber Types: Slow-Twitch vs. Fast-Twitch

Not all muscle fibers are identical. In histology skeletal muscle, fibers are typically classified based on their metabolic properties and speed of contraction. Understanding these types is crucial for performance physiology:

  • Type I (Slow Oxidative): These fibers appear darker due to high myoglobin content and are rich in mitochondria, making them highly resistant to fatigue, perfect for endurance activities.
  • Type IIa (Fast Oxidative-Glycolytic): These fibers possess intermediate properties, providing a blend of speed and oxidative capacity.
  • Type IIx (Fast Glycolytic): These fibers have a pale appearance and are optimized for short, explosive bursts of power, though they fatigue rapidly.

Histological Staining Techniques

To visualize these structures clearly under a light microscope, histologists employ specific staining methods. The standard Hematoxylin and Eosin (H&E) stain is the most common, where Hematoxylin stains the nuclei blue/purple, and Eosin stains the sarcoplasm and connective tissues pink/red. For more advanced analysis, special stains like Masson’s Trichrome are used to differentiate collagen fibers (blue) from the muscle tissue (red), which is particularly useful for identifying fibrosis or connective tissue damage.

💡 Note: When viewing histology slides, always pay attention to the cross-sectional view versus the longitudinal view; cross-sections reveal the characteristic "polygonal" shape of fibers and the peripheral location of the nuclei.

Clinical Significance of Muscle Histology

Examining muscle tissue is a critical diagnostic tool in pathology. Conditions like Duchenne muscular dystrophy, polymyositis, or neurogenic atrophy present with distinct histological changes. For instance, in neurogenic atrophy, one would observe "grouping" of atrophic fibers, whereas muscular dystrophies might show variations in fiber size, central nucleation, and infiltration of adipose or connective tissue. Identifying these patterns allows medical professionals to confirm specific neuromuscular disorders that are often invisible to standard imaging modalities.

The study of skeletal muscle at the microscopic level reveals a world of precise engineering and biological efficiency. By exploring the hierarchy of muscle organization—from the individual sarcomere and its protein filaments to the protective layers of endomysium, perimysium, and epimysium—we gain a deeper appreciation for how the human body converts chemical energy into kinetic force. Whether analyzing fiber type distribution to understand athletic potential or utilizing staining techniques to diagnose muscular pathologies, the histology of skeletal muscle remains a fundamental pillar of medical science and sports performance. The complexity of these tissues ensures that our bodies can adapt to a vast range of physical demands, maintaining structural integrity through the harmonious interaction of cells, proteins, and connective tissue.

Related Terms:

  • skeletal muscle cross section diagram
  • skeletal muscle vs smooth histology
  • microscopic appearance of skeletal muscle
  • skeletal muscle vs cardiac histology
  • normal skeletal muscle histology
  • characteristics of skeletal muscle tissue