In the specialized world of pathology and diagnostic medicine, few terms evoke as much historical significance and clinical curiosity as Homer Wright rosettes. Often encountered by students and professionals studying neuropathology and pediatric oncology, these microscopic structures serve as critical diagnostic hallmarks. Understanding what these formations represent, how they appear under a microscope, and their clinical implications is essential for anyone delving into the complexities of central nervous system tumors. By mastering the recognition of these patterns, pathologists can more accurately diagnose aggressive malignancies, ultimately impacting patient treatment strategies and prognostic assessments.
Defining Homer Wright Rosettes

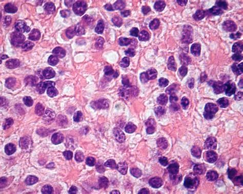
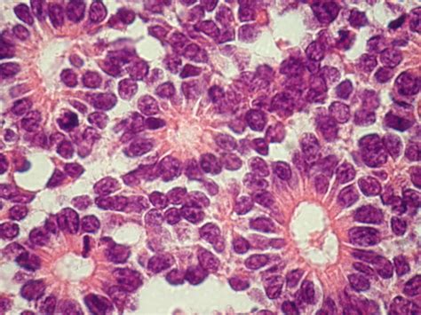
At their core, Homer Wright rosettes are histologic features characterized by clusters of tumor cells arranged in a circular or flower-like pattern around a central core. This central area is not composed of a vessel or a lumen; rather, it consists of a dense tangle of neuropil—the meshwork of axons, dendrites, and glial cell processes. Unlike other types of rosettes where the cells are arranged around a central blood vessel, the lack of a vascular lumen in these structures is a definitive feature for identification.
These structures were named after James Homer Wright, an American pathologist who first described them while studying neuroblastomas. They serve as a morphological indicator that the tumor cells have retained some degree of neuroblastic differentiation, even within a highly malignant environment. Their presence provides a vital clue to the origin of the tumor, steering the diagnosis toward the neuroectodermal lineage.
Clinical Significance and Differential Diagnosis
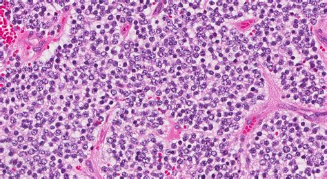
The primary clinical value of identifying Homer Wright rosettes lies in their diagnostic utility for specific types of tumors. They are most notably associated with neuroblastoma, medulloblastoma, and pineoblastoma. Because these tumors are often aggressive and require prompt, specific treatment protocols, recognizing these patterns early is paramount.
However, pathologists must be careful not to confuse them with other similar-looking structures. The differential diagnosis often requires distinguishing them from:
- Flexner-Wintersteiner rosettes: These feature a central lumen and are typically associated with retinoblastoma.
- Perivascular pseudorosettes: These involve tumor cells arranged around a central blood vessel, which is a key differentiator from the neuropil-filled core of a Homer Wright rosette.
- Ependymal rosettes: These show a central lumen lined by ependymal cells, often with blepharoplasts.
⚠️ Note: Always utilize immunohistochemical staining, such as Synaptophysin or Chromogranin, alongside morphological examination to confirm the diagnosis, as morphological patterns alone can sometimes be misleading.
Comparative Analysis of Rosette Formations
To better understand how these structures differ, the following table summarizes the key characteristics of various rosette-like formations encountered in pathology:
| Rosette Type | Central Core Content | Common Associated Tumors |
|---|---|---|
| Homer Wright Rosettes | Neuropil (axons/dendrites) | Neuroblastoma, Medulloblastoma |
| Flexner-Wintersteiner | True central lumen | Retinoblastoma |
| Perivascular Pseudorosette | Blood vessel | Ependymoma |
| Ependymal Rosette | True lumen with cilia/blepharoplasts | Ependymoma |
Diagnostic Challenges in Pathology
While the presence of Homer Wright rosettes is a strong indicator of neuroblastic differentiation, it is important to note that they are not present in every single sample of the tumors mentioned above. A tumor may show areas of high cellularity with characteristic rosettes in one region, while other regions appear entirely different. This tumor heterogeneity requires pathologists to examine multiple sections of the tissue sample carefully.
Furthermore, the fixation and processing of the tissue can sometimes distort these delicate structures. Quality control in laboratory preparation is therefore just as important as the diagnostic skill of the pathologist. If the tissue is over-processed or if the sectioning is too thick, the intricate arrangement of the neuropil may be obscured, making it difficult to differentiate a true rosette from an artifact of tissue processing.
💡 Note: When examining a slide, look for the 'halo' effect created by the peripheral tumor nuclei, which helps highlight the central neuropil core more clearly.
Pathophysiology and Cellular Origin
The formation of Homer Wright rosettes reflects the biological drive of primitive neuroectodermal cells to differentiate. These cells are attempting to organize themselves into neuronal-like structures. The central neuropil is essentially a localized collection of neurites—the projections of the tumor cells themselves. This indicates that the tumor is not merely a mass of disorganized, rapidly dividing cells, but one that possesses an underlying (albeit chaotic) developmental program reminiscent of normal neural development.
Researchers study these formations not just for diagnostic purposes, but to understand the cell signaling pathways involved in tumor growth and differentiation. By identifying the molecular triggers that lead to the formation of these rosettes, scientists hope to develop targeted therapies that might force tumor cells to differentiate further, thereby reducing their malignant potential and slowing tumor progression.
Modern Diagnostic Techniques
In the contemporary era of molecular pathology, the identification of Homer Wright rosettes is often complemented by genetic testing. For instance, in cases of suspected medulloblastoma, clinicians now look for molecular subgroups defined by specific mutations or pathway activations (such as WNT or SHH signaling). While the presence of rosettes provides an immediate visual cue for the pathologist, the molecular profile provides the ultimate roadmap for therapy.
This integration of traditional histology and modern molecular diagnostics represents the gold standard in oncology. By combining the "old school" expertise of morphological pattern recognition with cutting-edge genomic sequencing, medical professionals can provide highly accurate, personalized diagnoses that significantly improve patient outcomes.
The study of these structures serves as a bridge between foundational pathology and advanced molecular medicine. Recognizing the role of the Homer Wright rosettes allows us to appreciate the complex history of diagnostic medicine while staying relevant in an age of precision oncology. Whether you are a student preparing for board exams or a seasoned professional refining your diagnostic accuracy, the ability to identify these unique formations remains a cornerstone of neuropathological expertise. Through diligent observation and the application of contemporary diagnostic tools, medical teams continue to refine their ability to interpret these microscopic patterns, leading to more targeted and effective interventions for patients facing these challenging diagnoses.
Related Terms:
- homer wright pseudorosettes
- homer wright rosettes definition
- homer wright rosette chapters
- homer wright rosettes medulloblastoma
- pseudorosettes vs rosettes
- homer wright rosette pdf