Cleve

How To Fix Receding Gums

How To Fix Receding Gums

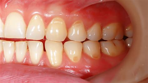
Discovering that your gums are pulling away from your teeth can be an alarming experience, often leading to increased sensitivity, aesthetic concerns, and long-term oral health risks. Understanding how to fix receding gums is essential for anyone looking to halt the progression of gum disease and protect their smile. Gum recession occurs when the margin of the gum tissue surrounding the teeth wears away or pulls back, exposing more of the tooth or the tooth's root. While you cannot technically "regrow" lost gum tissue naturally, you can certainly take proactive steps to prevent further recession and work with dental professionals to restore your oral health.

Understanding the Causes of Gum Recession

Before diving into treatments, it is crucial to understand why this condition occurs. Identifying the root cause is the first step in learning how to fix receding gums effectively. Common culprits include:

  • Aggressive Brushing: Brushing too hard or using a hard-bristled toothbrush can wear away enamel and push gum tissue back.
  • Periodontal Disease: Bacterial infections that destroy gum tissue and the supporting bone.
  • Genetics: Some individuals are naturally more prone to thinner gum tissue regardless of their dental hygiene.
  • Tobacco Use: Smoking and chewing tobacco make it difficult for gums to heal and can cause tissue death.
  • Grinding and Clenching (Bruxism): The immense pressure placed on teeth can cause gums to recede over time.
  • Poor Oral Hygiene: Inadequate brushing and flossing allow plaque to build up, turning into tartar that irritates and destroys gum tissue.

⚠️ Note: If you notice sudden or severe gum recession, schedule an appointment with your dentist immediately, as this may indicate advanced periodontitis that requires urgent professional intervention.

Early Intervention: Daily Habits to Protect Your Gums

If the recession is in its early stages, you can often stabilize the condition by refining your daily routine. Adopting these habits is foundational for anyone researching how to fix receding gums.

  • Switch to a Soft-Bristled Brush: Always choose "soft" or "extra-soft" brushes. Medium and hard bristles are often too abrasive for delicate gum tissue.
  • Master the Technique: Use a gentle, circular motion rather than a back-and-forth sawing motion. Angle your brush at 45 degrees toward the gum line to clean effectively without trauma.
  • Floss Daily: Flossing removes plaque from between teeth where a brush cannot reach, preventing the inflammatory buildup that causes recession.
  • Consider an Electric Toothbrush: Many modern electric toothbrushes feature pressure sensors that alert you if you are pressing too hard, helping you avoid damaging your gums.

Professional Treatments for Restoring Gum Health

Once gum recession has progressed beyond the early stages, professional dental treatment is usually necessary. A dentist or periodontist may recommend several interventions depending on the severity of the case:

Treatment Description
Deep Cleaning (Scaling & Root Planing) Deep cleaning below the gum line to remove tartar and bacteria, allowing gums to reattach.
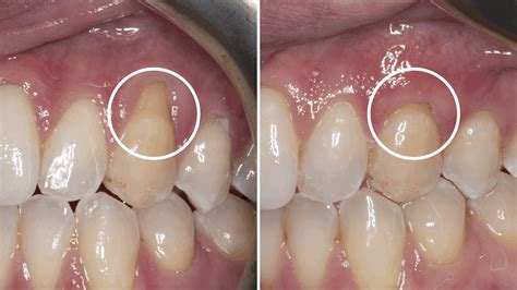
Gum Grafting A surgical procedure where tissue is taken from the roof of the mouth and stitched to the area of recession.
Pinhole Surgical Technique A minimally invasive procedure where a small hole is made in the gum, and tissue is stretched over the exposed root.
Regeneration Using membranes or tissue-stimulating proteins to encourage the body to naturally regenerate bone and tissue.

When investigating how to fix receding gums, it is important to realize that surgery is often the only way to physically cover exposed roots if the recession is significant. These procedures have high success rates and can restore both the function and appearance of your gums.

Lifestyle Adjustments to Prevent Further Damage

Beyond hygiene and professional care, lifestyle plays a significant role in gum longevity. Reducing systemic inflammation in the body can positively impact your oral tissues.

Nutrition and Hydration: A diet rich in Vitamin C, Omega-3 fatty acids, and calcium supports gum health. Staying hydrated helps maintain saliva flow, which naturally neutralizes acid and washes away food particles that fuel harmful bacteria.

Stress Management: High stress levels are linked to bruxism (grinding). If you find yourself clenching your jaw during the day or waking up with a sore jaw, speak to your dentist about a custom-fitted mouthguard to wear at night.

Tobacco Cessation: If you smoke, quitting is the single most impactful thing you can do for your gums. Smoking restricts blood flow to the gums, preventing them from receiving the nutrients they need to stay healthy and fight off infection.

💡 Note: Natural remedies like oil pulling or herbal rinses can support oral hygiene, but they do not replace the need for professional diagnosis or surgical intervention for established gum recession.

When to See a Specialist

If you have tried adjusting your brushing habits and maintaining excellent hygiene for several months without seeing an improvement in tissue health, it is time to see a periodontist. A periodontist specializes in the structures that support teeth and can provide a more nuanced diagnosis than a general dentist. They can determine if your recession is caused by an underlying autoimmune issue, hormonal shifts, or chronic inflammatory gum disease.

Tracking the progression of the recession can also be helpful. Take photos of your gum line every few months in consistent lighting. If you notice the tooth surface appearing "longer" or the gum line moving further away from the crown, do not wait for your next check-up—book a consultation to address the issue before bone loss occurs.

Maintaining healthy gums is a lifelong commitment that requires a combination of precise daily care, professional dental oversight, and healthy lifestyle choices. While the damage caused by significant recession cannot always be reversed through home care alone, early detection and consistent intervention are highly effective in stopping the process in its tracks. By choosing a soft-bristled toothbrush, refining your flossing technique, and seeking professional help for severe cases, you can preserve your oral health and keep your smile intact for years to come. Remember that your gums act as the foundation for your teeth; treating them with care is the best investment you can make for your overall well-being.

Related Terms:

  • temporarily stop receding gum pain
  • how to reverse receding gums
  • regrow gums before and after
  • can gum recession be reversed
  • heal receding gums without surgery
  • can receding gums grow back