Cleve

How To Fix Underbite

How To Fix Underbite

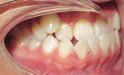
An underbite, medically known as mandibular prognathism or Class III malocclusion, occurs when your lower teeth protrude in front of your upper teeth when your mouth is closed. While it is often considered a cosmetic concern, it can lead to functional issues like difficulty chewing, speech impediments, and chronic jaw pain. Understanding how to fix underbite is crucial for anyone seeking to improve both their oral health and their self-confidence. Fortunately, modern dentistry and orthodontics offer a variety of solutions tailored to the severity of the condition and the age of the patient.

Understanding the Causes and Severity

Before exploring treatments, it is essential to understand why an underbite develops. In most cases, it is hereditary, caused by the size or position of the jaw bones. If one or both of your parents have an underbite, you are statistically more likely to have one. Other factors include childhood habits such as prolonged thumb-sucking, tongue thrusting, or even excessive use of a pacifier beyond the toddler years, all of which can influence jaw development.

Determining the severity of the underbite is the first step toward finding the right treatment. Orthodontists classify malocclusions into different grades, which help dictate whether non-invasive treatments like appliances will suffice or if more complex interventions like surgery are required. Identifying the cause and grade early, especially in children, is the most effective way to address the issue.

Non-Surgical Approaches: How to Fix Underbite in Children

Because children's jaws are still developing, they are the ideal candidates for early intervention. Correcting the issue during childhood is often easier and less invasive than treating it in adulthood. Orthodontists typically use specialized appliances to guide jaw growth and shift teeth into their proper alignment.

  • Maxillary Expander: A device placed on the roof of the mouth that gently widens the upper jaw over time, allowing it to fit properly over the lower jaw.
  • Reverse-Pull Face Mask: This appliance attaches to the outside of the head and pulls the upper jaw forward to align it correctly with the lower jaw.
  • Upper Jaw Retainer: Sometimes used to hold the position of the teeth once they have been shifted into better alignment.

⚠️ Note: Early orthodontic intervention is highly recommended for children between the ages of 7 and 10 to take advantage of their natural growth spurts.

Orthodontic Treatment Options for Adults

While fixing an underbite in adults is more complex because jaw growth has finished, it is still entirely possible. The approach often involves a combination of orthodontic work and, in moderate-to-severe cases, corrective jaw surgery. For mild cases, however, orthodontics alone may be enough to shift the teeth and create a more functional bite.

Treatment Type Description Best For
Traditional Braces Metal brackets and wires apply steady pressure to teeth. Mild to moderate malocclusion
Clear Aligners Custom-made, transparent plastic trays that shift teeth. Mild cases
Corrective Jaw Surgery Surgical procedure to realign the jaw bones. Severe, skeletal underbites

Braces and clear aligners, such as Invisalign, work by applying consistent pressure to the teeth, gradually moving them into a more favorable position. While this does not change the shape of the jawbone itself, it can significantly improve the cosmetic appearance and the function of the bite.

Corrective Jaw Surgery (Orthognathic Surgery)

For severe underbites where the problem is skeletal—meaning the lower jaw is naturally too long or the upper jaw is underdeveloped—orthodontics alone may not provide a satisfactory result. In these instances, orthognathic surgery is often the recommended solution. This procedure is performed by an oral and maxillofacial surgeon in conjunction with an orthodontist.

During the procedure, the surgeon may reshape or reposition the jawbones to ensure the upper and lower teeth meet properly. This process typically involves a period of orthodontic treatment before and after the surgery to prepare the teeth and stabilize the new jaw position. While it is a significant commitment, it provides the most comprehensive results for those with severe skeletal issues.

Maintaining Results After Treatment

Whether you have undergone surgery or completed a course of braces, the final step in the process is retention. Once your teeth and jaw have been moved into their new positions, they have a natural tendency to shift back to where they were. Wearing a retainer as prescribed by your orthodontist is non-negotiable for ensuring long-term stability.

Regular check-ups are also vital to ensure that your bite remains stable and that no secondary issues develop. Maintaining excellent oral hygiene is equally important, as braces or appliances can make it harder to clean your teeth, increasing the risk of cavities and gum disease during the treatment period.

💡 Note: Always follow your orthodontist's specific instructions regarding retainer usage, as failing to wear them consistently is the most common reason for relapse.

Addressing an underbite is a journey that requires patience, professional guidance, and a commitment to the process. Whether the solution involves early intervention in children through appliances, braces for mild adult cases, or comprehensive surgical options for severe skeletal discrepancies, there is a path forward to improve your dental health. By consulting with a qualified orthodontist, you can receive a personalized assessment to determine the most effective treatment plan tailored to your specific needs. Ultimately, investing time and effort into correcting your bite will not only enhance the alignment of your teeth but also improve your overall oral function and long-term dental health, providing you with a more comfortable and confident smile.

Related Terms:

  • correcting an underbite
  • correcting an underbite in adults
  • underbite correction without braces
  • correcting underbite without surgery
  • treatment for underbite in adults
  • fixing underbite without surgery