Cleve

How To Reverse Gum Recession

How To Reverse Gum Recession

Discovering that your gums are pulling away from your teeth can be a source of significant anxiety. You might notice your teeth looking longer, feel increased sensitivity to cold or heat, or observe a small notch near the gum line. Many people wonder how to reverse gum recession, but it is important to first understand the nature of the condition. While gum tissue does not grow back on its own like skin or hair, understanding the root causes and implementing effective dental hygiene habits can stop the progression of the recession and, in some cases, restore a healthy appearance through professional intervention.

Understanding Gum Recession: Why It Happens

Dental health checkup

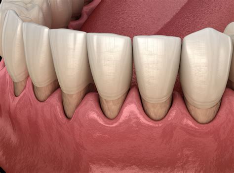
Gum recession is a gradual process where the margin of the gum tissue that surrounds the teeth wears away or pulls back, exposing more of the tooth or the tooth’s root. This creates gaps between the teeth and the gum line, making it easy for disease-causing bacteria to build up. If left untreated, the supporting tissue and bone structures of the teeth can be severely damaged, and may eventually result in tooth loss.

Several factors contribute to this condition:

  • Aggressive Toothbrushing: Using a hard-bristled brush or applying too much pressure can physically wear down gum tissue.
  • Periodontal Disease: Bacterial gum infections are the most common cause of gum recession.
  • Genetics: Some individuals are naturally predisposed to thin or fragile gum tissue.
  • Tobacco Use: Smoking and chewing tobacco make it difficult for gums to heal and stay healthy.
  • Teeth Grinding (Bruxism): Excessive force during grinding can cause the gums to recede over time.

Common Treatments and Management Strategies

When you are researching how to reverse gum recession, it is vital to differentiate between prevention, stabilization, and surgical restoration. Because gum tissue is not regenerative, professional dental procedures are usually required to physically cover exposed roots if the recession is severe.

Treatment Type Description Goal
Deep Cleaning Scaling and root planing to remove plaque and tartar. Stop infection and further recession.
Gum Grafting Surgical procedure to replace missing tissue. Restore gum line and protect roots.
Pinhole Technique Minimally invasive approach to adjust gum tissue. Cover recession with minimal downtime.

⚠️ Note: If you experience persistent tooth sensitivity, bleeding gums, or loose teeth, please schedule an appointment with a periodontist immediately, as these are signs of advanced periodontal health issues.

Natural Habits to Maintain Gum Health

While you cannot regrow gums at home, you can create the optimal environment for your gums to stop receding. Consistent care is the best way to maintain the health of your existing gum line. Incorporating the following habits into your daily routine is essential for long-term dental stability:

  • Switch to a Soft-Bristled Toothbrush: This prevents mechanical damage to delicate tissue.
  • Improve Your Brushing Technique: Use gentle, circular motions rather than harsh horizontal scrubbing.
  • Prioritize Daily Flossing: Removing bacteria from between teeth prevents the inflammation that causes recession.
  • Use an Antiseptic Mouthwash: This helps manage the bacterial load in your mouth, reducing the risk of gingivitis.
  • Monitor Your Diet: Reduce sugar intake and consume more vitamin C and calcium-rich foods to support gum integrity.

When to Consult a Specialist

Dentist examining a patient

Many patients attempt to address recession solely through home remedies, but professional guidance is often necessary. A periodontist can assess the depth of the gum pockets and determine if the recession is caused by active gum disease or structural issues. If the recession is advanced, home-based efforts will not be enough to prevent root decay or potential tooth loss. Modern dentistry offers highly effective, minimally invasive surgical options that can reliably cover the exposed tooth roots and harmonize your smile.

The progression of gum recession often happens so slowly that it goes unnoticed until sensitivity becomes unbearable. By identifying the triggers—such as grinding or improper brushing—and addressing them early, you can effectively halt the progression. While the biological reality is that lost tissue requires professional grafting or surgical correction to be fully “reversed,” your commitment to a strict oral hygiene routine serves as the foundation for any successful recovery plan. Consult with a dental professional to create a customized roadmap for your oral health, and maintain consistent checkups to ensure your gums remain firm and healthy for years to come.

Related Terms:

  • can gum recession be reversed
  • gum regrowth by yourself
  • gum recession treatment
  • reversible treatment for gum recession
  • how to strengthen gums quickly
  • receding gums not reversible