Hyperostosis frontalis interna (HFI) is a condition characterized by a benign, symmetrical thickening of the inner table of the frontal bone of the skull. While the term might sound intimidating, it is a relatively common radiological finding, often discovered incidentally during imaging scans performed for other reasons, such as headaches or minor head trauma. Understanding this condition is important for clinicians and patients alike, particularly because it can sometimes be associated with hormonal or metabolic factors, although its exact clinical significance remains a subject of ongoing research.
Understanding the Anatomy and Presentation

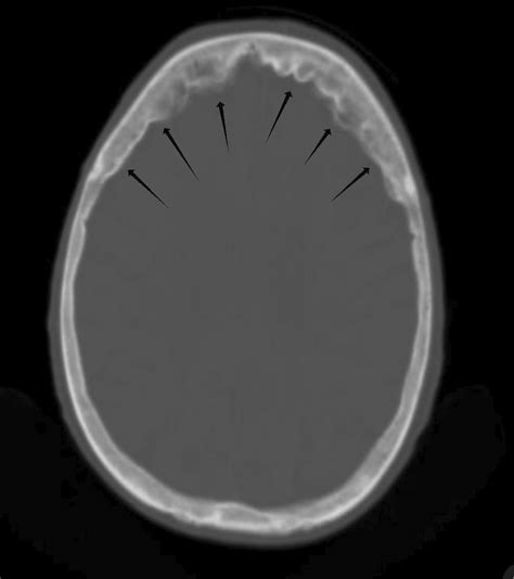
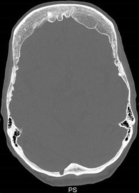
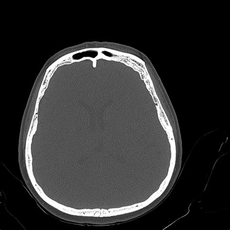
At its core, Hyperostosis frontalis interna manifests as bony growths—known as osteomas or nodular projections—on the inner surface of the frontal bone. Unlike malignant skull conditions, these deposits are benign and generally do not extend into the brain tissue itself. They are most frequently identified through computed tomography (CT) scans or magnetic resonance imaging (MRI) of the head.
This condition is notably more prevalent in women than in men, particularly in those who are postmenopausal. Researchers have long explored a potential link between HFI and metabolic disturbances, such as insulin resistance or obesity, often clustering under the umbrella of the historic (and now largely obsolete) "Morgagni's syndrome," which linked HFI, obesity, and virilism.
The key features of the condition include:
- Symmetry: The bony overgrowths are typically present on both sides of the inner frontal bone.
- Asymptomatic Nature: Most individuals with HFI experience no symptoms related to the skull thickening itself.
- Incidental Detection: It is rarely the primary reason for a medical visit; it is usually found when doctors investigate unrelated neurological symptoms.
Clinical Significance and Potential Associations
While Hyperostosis frontalis interna is generally considered a benign condition, its presence has intrigued medical researchers for decades. The correlation between HFI and various systemic conditions suggests that the skull may be more responsive to metabolic and hormonal shifts than previously understood. Several studies have pointed toward a possible association with the following factors:
| Factor | Observation |
|---|---|
| Age | Prevalence increases significantly with age, particularly in women. |
| Hormonal Status | Common in postmenopausal women; estrogen levels are often investigated. |
| Metabolic Health | Studies suggest a potential link to hyperinsulinemia and body mass index. |
💡 Note: The existence of these associations does not necessarily imply a direct cause-and-effect relationship. Many individuals with healthy metabolic profiles also present with HFI.
Diagnostic Procedures
Because Hyperostosis frontalis interna rarely produces distinct physical symptoms, diagnosis is almost exclusively radiological. When a physician orders an imaging study for neurological concerns—such as persistent headaches, dizziness, or confusion—the radiologist may note the thickening of the frontal bone as an incidental finding.
The standard process usually involves:
- Clinical Examination: A physician conducts a neurological exam to rule out underlying brain pathology.
- Imaging: A CT scan is the gold standard for visualizing bone density and structure, making it the most effective tool for confirming HFI.
- Differential Diagnosis: Specialists ensure that the thickening is indeed HFI and not representative of other conditions, such as Paget’s disease of the bone, fibrous dysplasia, or metastatic disease.
Given the benign nature of the finding, once a clinician has confirmed that the thickening is consistent with Hyperostosis frontalis interna and has ruled out other pathology, the condition typically requires no active treatment or long-term monitoring.
Differentiating HFI from Other Conditions
One of the most important aspects of identifying Hyperostosis frontalis interna is ensuring it is not confused with more serious bone or intracranial disorders. While HFI is harmless, other conditions may require intervention. Distinguishing between them involves evaluating the pattern of bone growth and the age of the patient.
Common conditions that might be considered during a differential diagnosis include:
- Paget’s Disease of Bone: This usually involves bone remodeling across various parts of the skeleton, not just the frontal bone.
- Fibrous Dysplasia: Often appears during childhood or adolescence and typically shows a "ground-glass" appearance on imaging.
- Meningioma: A tumor of the brain's lining that can sometimes cause local bone reaction, but it typically presents as an intracranial mass rather than symmetrical bone thickening.
⚠️ Note: If imaging suggests any asymmetry or signs of invasion into the brain parenchyma, further investigation by a neurologist or neurosurgeon is essential to rule out neoplasia.
Managing the Impact on Quality of Life
For the vast majority of people, living with Hyperostosis frontalis interna is a non-issue. Because it is a structural change that does not impinge upon the function of the brain or the vascular supply, it rarely necessitates a change in lifestyle. The primary "burden" of the diagnosis is often the psychological weight of receiving a medical finding that sounds unusual.
If you have been diagnosed with HFI, consider the following perspectives:
- Focus on General Health: Since some literature suggests correlations with metabolic markers, maintaining a balanced diet and regular physical activity is always good practice for overall longevity.
- Discuss with Your Doctor: If the diagnosis was made in the context of persistent headaches, ask your physician if the HFI is considered the culprit or if the headaches are separate issues, such as tension or migraine headaches.
- Avoid Unnecessary Concern: Remember that many people walk around with asymptomatic HFI throughout their entire lives without ever knowing it, as it is often only found during high-resolution imaging for unrelated issues.
In summary, Hyperostosis frontalis interna stands as a fascinating example of how the human body adapts and changes as it ages. While its presentation as a thickening of the frontal bone can appear stark on a diagnostic report, the consensus in the medical community is that it is a benign, incidental finding that rarely impacts physical well-being. By distinguishing this condition from more serious pathologies and focusing on overall metabolic health, patients can rest assured that this radiological observation is usually an anatomical variation rather than a cause for alarm. Understanding that it is a natural, albeit infrequent, part of the aging process helps demystify the diagnosis and allows individuals to move forward without unnecessary medical anxiety.
Related Terms:
- frontal calvarial hyperostosis
- hyperostosis frontalis interna symptoms
- prominent hyperostosis frontalis interna
- hyperostosis frontalis is present
- what is hyperostosis of skull
- hyperostosis frontalis interna enhancement