Cleve

Idiopathic Condylar Resorption

Idiopathic Condylar Resorption

Navigating the complexities of temporomandibular joint (TMJ) disorders can be an overwhelming experience, especially when faced with a diagnosis as specific and progressive as Idiopathic Condylar Resorption (ICR). Often referred to as "progressive condylar resorption," this condition involves the breakdown and loss of the mandibular condyle—the rounded top part of the jaw bone that hinges with the skull. Unlike typical arthritis or trauma-induced wear, ICR is characterized by its mysterious, self-limiting, yet destructive nature, primarily affecting young women. Understanding the nuances of this condition is the first step toward managing its impact on facial aesthetics and oral function.

What is Idiopathic Condylar Resorption?

Idiopathic Condylar Resorption is a rare form of degenerative joint disease. In a healthy jaw, the condyle maintains a stable position within the joint space. In patients with ICR, the bone begins to resorb or "melt away" without a clear, singular cause—hence the term "idiopathic." While the exact trigger remains a subject of intense research, medical professionals believe it involves a combination of hormonal factors, mechanical loading, and genetic predisposition.

The progression of ICR can lead to significant changes in a person’s bite and facial profile. As the condyle shrinks, the lower jaw (mandible) shifts backward and upward, often resulting in an anterior open bite, where the front teeth no longer meet even when the back teeth are touching. This change can occur rapidly or slowly, often causing distress to patients who notice their smile or facial structure shifting unexpectedly.

Recognizing the Symptoms

Because the condition often mimics other TMJ disorders, diagnosis can be challenging. Patients typically seek help only when they notice visible changes in their appearance or discomfort in their jaw joint. Key symptoms to monitor include:

  • Progressive open bite: A noticeable gap developing between top and bottom front teeth.
  • Facial asymmetry: A receding chin or a chin that appears to be drifting to one side.
  • Jaw pain: Chronic discomfort localized in the ear or temple area.
  • Clicking or popping: Audible sounds during chewing or opening the mouth.
  • Changes in speech: Difficulty articulating certain sounds due to bite misalignment.

Data suggests that Idiopathic Condylar Resorption predominantly affects females, particularly those in their late teens to early thirties. While the reasons for this gender disparity are not fully understood, clinicians point to the role of estrogen receptors in the TMJ, which may make the bone more susceptible to resorptive processes. Additionally, individuals who have undergone orthodontic treatment involving retraction mechanics—where teeth are pulled backward—may be at a higher risk if they have an underlying vulnerability in their jaw joint.

Comparison of Jaw Joint Conditions

Condition Primary Characteristic Typical Demographics
Idiopathic Condylar Resorption Rapid, progressive loss of condylar height Young females (15–30 years)
Osteoarthritis Wear and tear over time Older adults
Traumatic Injury Direct impact or fracture Any age
Rheumatoid Arthritis Systemic inflammatory damage Patients with autoimmune history

The Diagnostic Journey

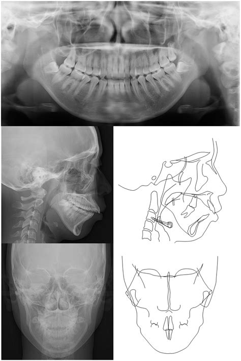
To confirm a diagnosis of Idiopathic Condylar Resorption, specialists use a multi-faceted approach. A physical exam is rarely sufficient; advanced imaging is essential. A Cone Beam Computed Tomography (CBCT) scan is the gold standard for visualizing the condylar heads and determining the extent of bone loss. MRI scans may also be utilized to evaluate the condition of the articular disc within the joint. By comparing serial radiographs over several months, an oral and maxillofacial surgeon can track the rate of resorption to determine if the condition is currently active or stable.

⚠️ Note: Always seek a consultation with a board-certified oral and maxillofacial surgeon who specializes in TMJ disorders if you suspect your bite is shifting spontaneously, as early intervention can prevent severe facial deformity.

Management and Treatment Pathways

Treating Idiopathic Condylar Resorption is rarely a "one-size-fits-all" process. Treatment goals are twofold: stopping the progression of bone loss and restoring the patient’s functional bite and facial aesthetics. Common strategies include:

  • Conservative Management: Splint therapy or night guards to reduce joint loading and alleviate muscular tension.
  • Anti-inflammatory Medication: In some cases, medication is used to control systemic inflammation that might be contributing to bone degradation.
  • Orthognathic Surgery: Once the condition has been deemed "stable" (the resorption has stopped), jaw surgery may be performed to correct the bite and facial structure.
  • Total Joint Replacement: For severe cases where the condyle has significantly deteriorated, custom prosthetic joint replacement may be the most predictable way to restore function.

One of the most critical aspects of treatment is timing. If a surgeon performs corrective surgery while the resorption is still active, there is a high risk that the new jaw position will not be maintained, and the bone will continue to resorb post-operatively. Therefore, proving clinical stability through serial imaging is a mandatory precursor to any surgical intervention.

Lifestyle Considerations for Patients

Living with a jaw joint condition requires mindfulness regarding daily habits. Patients are often encouraged to adopt a soft-food diet during flare-ups to reduce the mechanical load on the condyles. Stress management techniques are also vital, as anxiety often leads to subconscious clenching and grinding (bruxism), which exacerbates the stress placed on the TMJ. By being aware of these triggers, patients can often minimize the frequency of painful episodes while awaiting long-term clinical solutions.

Managing the uncertainties of Idiopathic Condylar Resorption requires a dedicated partnership between the patient, their orthodontist, and their surgical team. Because the condition is progressive and can impact both quality of life and physical appearance, proactive monitoring remains the most effective tool in a clinician’s arsenal. By recognizing the early signs of a shifting bite and engaging with medical experts who understand the complexities of joint stability, patients can navigate this path more confidently. Whether through conservative splint therapy or advanced surgical reconstruction, the goal is always to return to a life of comfort and proper function. As research continues to shed light on the hormonal and mechanical triggers of this condition, the future for those affected looks increasingly promising, offering more personalized and effective ways to restore not just a bite, but a sense of normalcy.

Related Terms:

  • cheerleader syndrome
  • idiopathic condylar resorption icd 10
  • condylectomy
  • idiopathic condylar resorption treatment
  • idiopathic condylar resorption symptoms
  • idiopathic condylar resorption mri