Cleve

Iliac Artery Aneurysm

Iliac Artery Aneurysm

An Iliac Artery Aneurysm is a complex vascular condition that often remains hidden until it reaches a critical stage. While many people are familiar with abdominal aortic aneurysms (AAA), the iliac arteries—the major vessels branching off from the aorta to supply blood to the legs and pelvis—can also develop dangerous dilations. Understanding the nature, risks, and treatment options for these aneurysms is essential for patients at risk, particularly older adults and those with a history of vascular disease. When an artery wall weakens, the pressure of blood flow causes it to bulge, creating a balloon-like structure that, if left untreated, carries the risk of rupture or blockage.

Understanding the Anatomy and Causes

The iliac arteries are located deep within the pelvis. An Iliac Artery Aneurysm typically occurs when the diameter of these vessels exceeds 1.5 times the normal width. The weakening of the arterial wall is often a cumulative process, influenced by a combination of genetic factors, lifestyle, and underlying health conditions.

Common risk factors associated with this condition include:

  • Advanced Age: The risk increases significantly in individuals over the age of 60.
  • Hypertension: Chronic high blood pressure exerts constant stress on arterial walls.
  • Atherosclerosis: The buildup of plaque hardens arteries, making them less elastic and prone to damage.
  • Smoking: Nicotine and chemicals in cigarettes degrade the structural integrity of blood vessels.
  • Genetics: A family history of vascular aneurysms can predispose individuals to the condition.
  • Connective Tissue Disorders: Conditions like Marfan syndrome can weaken the arterial architecture.

Common Symptoms and Diagnostic Methods

One of the most challenging aspects of an Iliac Artery Aneurysm is that it is frequently asymptomatic in its early stages. Many patients only discover the issue during routine screenings for other medical conditions. However, as the aneurysm grows, it may begin to press on nearby organs or nerves, leading to specific warning signs.

Symptoms to watch for include:

  • Persistent, dull pain in the lower abdomen, groin, or back.
  • A palpable, pulsating mass near the navel or pelvic area.
  • Pain radiating down the legs.
  • Signs of impaired blood flow, such as coldness or numbness in the limbs.

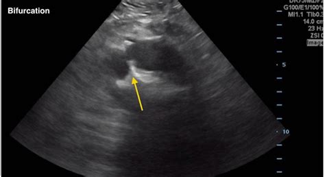
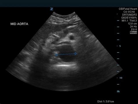
To detect these aneurysms, medical professionals utilize advanced imaging technology. Diagnostic accuracy is crucial for determining the size, shape, and exact location of the bulge.

Imaging Tool Primary Benefit
Ultrasound Non-invasive and excellent for initial screening.
CT Scan (CTA) Provides detailed 3D imagery of the arterial anatomy.
MRI Useful for patients who need to avoid radiation or contrast dyes.

⚠️ Note: If you experience sudden, sharp, or severe pain in your abdomen or back, seek emergency medical care immediately, as this could indicate an impending rupture.

Management and Treatment Options

Once an Iliac Artery Aneurysm is diagnosed, the treatment plan is usually dictated by the size of the aneurysm and the patient’s overall health. Small, stable aneurysms are often managed through "watchful waiting"—regular ultrasound or CT imaging to monitor for growth.

When intervention becomes necessary, physicians typically choose between two primary approaches:

1. Endovascular Repair (EVAR/EVIA)

This is the less invasive approach. A surgeon inserts a catheter through a small incision in the groin. Using specialized imaging, a stent-graft is guided into the iliac artery to reinforce the wall and redirect blood flow away from the weakened area. This technique typically results in faster recovery times.

2. Open Surgical Repair

In more complex cases or where the anatomy is not suitable for endovascular repair, a traditional open surgery may be performed. This involves making an incision in the abdomen to replace the damaged section of the artery with a synthetic graft.

💡 Note: Lifestyle modifications such as smoking cessation, blood pressure management, and regular physical activity are vital both before and after any surgical procedure to prevent further vascular damage.

The Importance of Long-term Monitoring

Following any treatment for an Iliac Artery Aneurysm, long-term surveillance is non-negotiable. Vascular health is dynamic, and patients must remain vigilant. Continued monitoring ensures that any issues with the stent-graft or new developments in other parts of the vascular system are caught early. Maintaining a heart-healthy diet rich in fiber, fruits, and vegetables, while limiting sodium and saturated fats, supports the integrity of the vascular system long-term.

Patients are generally advised to keep up with follow-up appointments, as vascular conditions often require a lifelong partnership with a vascular surgeon or specialist. By staying proactive, patients can significantly reduce their risk of complications and maintain a high quality of life. Understanding that an aneurysm is not just a localized event but a signal of overall systemic vascular health is the first step toward effective management. If you suspect any risk factors or have a family history, consult with a medical professional to discuss screening options, as early detection remains the most powerful tool in preventing life-threatening emergencies related to arterial health.

Related Terms:

  • common iliac artery aneurysm size
  • iliac artery aneurysm radiology
  • abdominal aortic aneurysm iliac artery
  • iliac artery aneurysm repair
  • iliac artery aneurysm size guidelines
  • iliac artery location