Cleve

Impacted Canine Tooth

Impacted Canine Tooth

Discovering that you or your child has an impacted canine tooth can be a source of anxiety, but understanding the condition is the first step toward effective treatment. The canine teeth, also known as eye teeth or cuspids, play a critical role in your dental health. They are the longest teeth in the mouth and serve as the cornerstone of your dental arch, helping to guide the jaw during biting and chewing. When a canine tooth fails to emerge through the gum line as expected, it is considered impacted. This condition is relatively common, yet it requires professional intervention to ensure long-term oral functionality and aesthetics.

What Exactly Is an Impacted Canine Tooth?

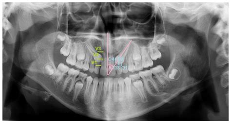
An impacted canine tooth occurs when the tooth is prevented from erupting into its proper position in the dental arch. This often happens because the tooth is blocked by other teeth, the jawbone is too small, or there is an abnormal growth path. The maxillary (upper) canine is the second most common tooth to become impacted, following third molars (wisdom teeth). While it might seem like a minor inconvenience, leaving an impacted tooth untreated can lead to serious complications, including the absorption of the roots of neighboring teeth or the development of cysts.

Common causes include:

  • Genetic factors: A family history of impacted teeth increases the risk.
  • Dental crowding: Insufficient space in the jaw prevents proper alignment.
  • Delayed loss of baby teeth: If the primary tooth does not fall out in time, the permanent tooth may be pushed into the wrong position.
  • Supernumerary teeth: The presence of extra teeth can block the path of the canine.

Signs and Symptoms of an Impacted Tooth

In many cases, an impacted canine tooth does not cause immediate pain, which is why regular dental check-ups are vital. Dentists often identify the issue during routine X-rays long before a patient experiences symptoms. However, as the condition progresses, you might notice specific indicators that suggest something is amiss within your gum tissue.

Watch for these common signs:

  • A primary (baby) tooth that refuses to fall out past the age of 13.
  • Visible gaps where the canine should be, or teeth appearing crowded in that area.
  • Pressure or pain in the upper jaw, though this is less common.
  • The appearance of the canine erupting in the wrong place, such as in the roof of the mouth or high up near the lip.

⚠️ Note: If you notice any of these signs, consult an orthodontist immediately to determine the position of the tooth using 3D imaging or panoramic X-rays.

Treatment Pathways

Treating an impacted canine tooth usually requires a collaborative effort between your general dentist, an orthodontist, and an oral surgeon. The goal is to bring the tooth into its natural position to complete your smile. Treatment plans are highly individualized based on the tooth's specific angulation and depth within the bone.

Treatment Method Description Best For
Monitoring Regular check-ups to track movement. Younger patients with mild impaction.
Surgical Exposure Gums are lifted to expose the tooth. Teeth that need guidance into the arch.
Orthodontic Traction Braces move the tooth into place. Patients who have undergone surgical exposure.
Extraction Removal of the impacted tooth. Cases where the tooth is poorly positioned or damaged.

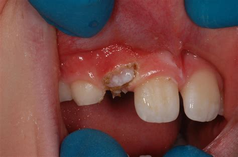
The Surgical Exposure Process

When the tooth is stuck in the bone, an oral surgeon performs an exposure procedure. This involves making a small incision in the gum to uncover the crown of the impacted canine tooth. Once the tooth is accessible, an orthodontic bracket and a small gold chain are typically attached to it. The orthodontist then uses this chain to apply gentle, continuous pressure, gradually guiding the tooth down into its designated space within the dental arch over several months.

It is important to understand that this is a gradual process. The speed of movement depends on the age of the patient and the complexity of the impaction. Adults often require a longer treatment duration than adolescents because the jawbone is fully developed and less pliable.

💡 Note: Proper oral hygiene during the traction phase is essential to prevent inflammation around the surgical site and the orthodontic attachments.

Potential Complications of Untreated Impactions

Ignoring an impacted canine tooth is rarely advisable. The consequences of long-term impaction can be irreversible and may require more invasive procedures down the line. The pressure exerted by an impacted tooth can slowly erode the roots of the lateral incisors, potentially leading to the loss of those teeth as well. Furthermore, the follicle surrounding an impacted tooth can enlarge over time, turning into a dentigerous cyst. These cysts can destroy healthy jawbone tissue and necessitate significant surgical removal if left unchecked.

Early detection is the most effective way to prevent these issues. By visiting an orthodontist by age seven, children can be evaluated for potential impaction issues. Early intervention, such as the extraction of baby teeth to create space, can often encourage the permanent canine to erupt naturally, bypassing the need for complex surgical exposure entirely.

Recovery and Aftercare Tips

Post-surgical recovery is usually straightforward, but following your surgeon’s instructions is paramount. Most patients experience mild swelling and discomfort for a few days. During this period, soft foods are recommended, and physical exertion should be limited. Maintaining the cleanliness of the area is critical to preventing infection, though you should avoid brushing directly over the surgical site until it has sufficiently healed.

Key post-operative care steps include:

  • Using prescribed ice packs to minimize facial swelling.
  • Sticking to a liquid or soft diet for the first 48 hours.
  • Avoiding the use of straws, which can dislodge blood clots.
  • Taking pain relief medication exactly as directed by your dental professional.
  • Returning for your follow-up appointments to ensure the orthodontic chain is adjusted properly.

Addressing an impacted canine tooth is an investment in your long-term oral health and facial harmony. While the journey—from discovery to orthodontic alignment—may take time, the result is a functional, beautiful, and healthy smile. By staying proactive with dental screenings and working closely with your specialist, you ensure that even a challenging dental situation can be navigated with successful results. Remember that your canine teeth are essential for the integrity of your bite; safeguarding them ensures that you maintain your ability to chew and speak comfortably for years to come. Do not hesitate to discuss your concerns with your dentist during your next visit, as they are your best resource for creating a tailored roadmap to recovery and perfect dental alignment.

Related Terms:

  • impacted canine tooth surgery
  • impacted canine teeth surgery
  • loose canine tooth human
  • impacted canine surgery cost
  • treatment for impacted canine
  • impacted canines opg unfavourable