Cleve

Implant Supported Prosthesis

Implant Supported Prosthesis

Losing one or more teeth can significantly impact your quality of life, affecting your ability to chew, speak clearly, and maintain your confidence. Fortunately, modern restorative dentistry offers advanced solutions to restore both function and aesthetics. One of the most effective and durable treatments available today is the implant supported prosthesis. Unlike traditional dentures that sit on the gums and can shift or slide, this innovative approach utilizes dental implants anchored directly into the jawbone to provide a stable, long-term foundation for artificial teeth.

Understanding the Implant Supported Prosthesis

Dental implant procedure

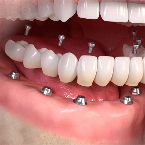
An implant supported prosthesis acts as a permanent or removable appliance that is securely attached to dental implants. Dental implants are essentially titanium posts that are surgically inserted into the jawbone. Over time, these posts fuse with the bone through a process called osseointegration, creating a rock-solid base that mimics a natural tooth root. Once the implants are integrated, a custom-made prosthetic—which can range from a single crown to a full arch bridge or denture—is attached to them.

This restorative method is a game-changer for many patients because it prevents the bone resorption that typically occurs after tooth loss. Because the implant stimulates the bone just like a natural root, it helps maintain the density and shape of the jawbone, preserving your facial structure and preventing that "sunken" look often associated with tooth loss.

Key Benefits of Choosing Implant Supported Restorations

When comparing an implant supported prosthesis to conventional tooth replacement methods, the benefits are clear. Here are some of the primary advantages patients experience:

  • Unparalleled Stability: You do not have to worry about your teeth slipping while talking or eating. The prosthetic is locked firmly into place.
  • Restored Chewing Function: Because the support is anchored in the bone, you can enjoy a wider variety of foods, including crunchy vegetables and tough meats, with confidence.
  • Bone Preservation: Implants prevent the jawbone from deteriorating, which is a common side effect of wearing traditional dentures.
  • Aesthetic Excellence: These prostheses are custom-designed to match the color, shape, and size of your natural teeth, ensuring a beautiful, seamless smile.
  • Improved Speech: Secure teeth allow for clearer pronunciation compared to sliding dentures that can cause whistling or lisping.

Comparing Traditional Dentures and Implant Supported Options

To help you better understand why so many patients are moving away from traditional solutions, the following table highlights the differences between conventional dentures and an implant supported prosthesis.

Feature Traditional Dentures Implant Supported Prosthesis
Retention Relies on suction/adhesives Locked onto titanium posts
Bone Health May accelerate bone loss Stimulates and preserves bone
Comfort Can cause gum irritation Feels like natural teeth
Durability Requires frequent relining Long-term, high stability

⚠️ Note: Regular dental checkups are essential to ensure the longevity of your implant-supported restoration and to monitor the health of the surrounding gum tissue.

The Procedure: What to Expect

The journey toward receiving an implant supported prosthesis involves several systematic stages. While every patient is different, the general process includes:

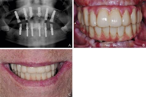
  1. Initial Consultation and Planning: Your dentist will perform a 3D scan or X-ray to assess your bone density and determine the optimal placement for your implants.
  2. Implant Placement: During a minor surgical procedure, the titanium posts are placed into the jawbone.
  3. Healing Phase: The healing process, or osseointegration, typically takes a few months. During this time, the bone grows around the implant.
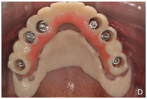
  4. Abutment Connection: Once healed, a small connector called an abutment is attached to the implant, which will eventually support the crown or denture.
  5. Prosthesis Delivery: Finally, the custom-made teeth are attached to the abutments, completing your smile transformation.

💡 Note: In some cases, a temporary prosthesis can be placed on the same day as the implants, a procedure often referred to as "teeth in a day," provided you have sufficient bone density.

Maintenance and Long-Term Care

While an implant supported prosthesis is not susceptible to cavities, the health of the surrounding gum tissue is paramount. Proper care is essential to prevent a condition known as peri-implantitis, which is an inflammation of the gums and bone around the implant.

You should follow these maintenance tips:

  • Brush twice daily with a non-abrasive toothpaste.
  • Use specialized interdental brushes or water flossers to clean around the implant base where standard floss might not reach.
  • Visit your dentist for professional cleanings at least every six months.
  • Avoid chewing extremely hard objects, such as ice or pens, to protect the porcelain or acrylic of the prosthesis.

Candidates for the Procedure

Most adults who have lost one or more teeth and possess adequate jawbone density are excellent candidates. Even if your jawbone has already begun to thin, procedures like bone grafting can often make implants a viable option. A comprehensive evaluation by a specialist is necessary to assess your medical history and specific oral requirements.

Choosing to invest in an implant supported prosthesis is more than just a cosmetic upgrade; it is a commitment to your long-term oral health and overall well-being. By opting for a solution that replaces both the root and the crown, you are choosing a path that prioritizes functional integrity and bone stability. Whether you are replacing a single tooth with a crown or an entire arch with a fixed hybrid denture, the advancement in dental technology ensures that you can regain the ability to eat, laugh, and smile with renewed confidence. By following a consistent oral hygiene routine and staying diligent with professional dental visits, your restoration can serve as a durable and aesthetic cornerstone of your dental health for many years to come.

Related Terms:

  • dentures supported by implants
  • full arch implant supported prosthesis
  • dental implants vs permanent dentures
  • implant supported fixed prosthesis
  • full mouth implant prosthesis
  • removable implant supported dentures