Mayo

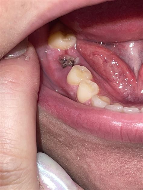
Infected Tooth Extraction

Infected Tooth Extraction

Few dental experiences are as intimidating or painful as dealing with a severe dental abscess. When a tooth is compromised by deep decay, trauma, or gum disease, bacteria can enter the pulp chamber, leading to a serious infection. In many cases, dentists aim to save the natural tooth; however, there are scenarios where an infected tooth extraction becomes the only viable solution to prevent the infection from spreading to the jawbone, bloodstream, or other parts of the body. Understanding the process, the risks, and the recovery period is essential for anyone facing this common yet significant dental procedure.

Why Is an Infected Tooth Extraction Necessary?

An infected tooth extraction is typically recommended when a tooth is so severely damaged by decay or infection that it cannot be restored. While procedures like root canal therapy are often the first line of defense, they are not always successful or applicable depending on the extent of the infection. When the infection reaches a critical stage, leaving the tooth in the mouth poses a severe risk to your systemic health.

Common reasons a dentist might determine extraction is required include:

  • Advanced Periodontal Disease: When the infection has destroyed too much of the bone supporting the tooth, making it loose and untreatable.
  • Fractured Tooth Roots: If a crack extends deep below the gum line, it creates a pathway for bacteria, making the tooth impossible to save.
  • Failed Root Canal Therapy: Sometimes, even after a root canal, the infection persists or returns, requiring the removal of the tooth to stop the spread.
  • Severe Decay: When the tooth structure is so compromised that there is not enough healthy tooth remaining to support a crown or filling.

The Risks of Delaying Treatment

Ignoring the symptoms of a dental infection—such as severe pain, swelling in the face or jaw, or a persistent foul taste—can lead to dangerous complications. An infection does not simply stay localized to the tooth; it can travel through the bloodstream and impact your overall health. Delaying an infected tooth extraction can lead to:

  • Abscess Formation: A pus-filled pocket that can rupture and spread infection to surrounding tissues.
  • Bone Loss: Chronic infection can eat away at the jawbone, making future dental implants more difficult.
  • Sepsis: A life-threatening systemic reaction to an infection that has entered the bloodstream.
  • Facial Cellulitis: The infection can spread to the soft tissues of the face and neck, causing difficulty breathing or swallowing.

What to Expect During the Procedure

Knowing what happens during an infected tooth extraction can help reduce anxiety. Your dentist or oral surgeon will prioritize your comfort and ensure the area is completely numb before beginning. If the infection is severe, they may prescribe antibiotics for a few days before the procedure to reduce the inflammation and ensure local anesthesia is effective.

Phase Description
Anesthesia Local anesthetic is administered to numb the area around the infected tooth. Sedation may be used for anxious patients.
The Extraction The dentist uses specialized instruments to loosen the tooth from the socket and gently remove it.
Cleaning The socket is thoroughly cleaned and sanitized to remove any remaining infection or debris.
Closing If necessary, the site is closed with dissolvable stitches to aid healing.

⚠️ Note: If you have a compromised immune system or heart condition, your dentist may prescribe prophylactic antibiotics prior to the procedure to prevent infection during the healing process.

Managing Recovery and Post-Operative Care

The period immediately following an infected tooth extraction is critical for preventing complications like "dry socket." A dry socket occurs when the protective blood clot that forms in the empty socket dislodges prematurely, exposing the nerves and bone. This is extremely painful and requires immediate attention from your dentist.

Follow these essential recovery tips to ensure smooth healing:

  • Bite on gauze: Keep pressure on the gauze pad for 30–60 minutes after the procedure to encourage clot formation.
  • Avoid straws and spitting: The suction pressure created by using a straw or the forceful motion of spitting can dislodge the blood clot.
  • Manage pain and swelling: Use ice packs on the outside of your face during the first 24 hours to reduce swelling. Follow the dosage instructions for any prescribed or over-the-counter pain relievers.
  • Soft food diet: Stick to yogurt, applesauce, mashed potatoes, or lukewarm soup for the first few days. Avoid hard, crunchy, or spicy foods.
  • Gentle hygiene: Do not brush the extraction site directly for the first 24 hours. After that, clean the area very gently as directed by your dentist.

💡 Note: Contact your dentist immediately if you experience uncontrollable bleeding, severe pain that increases after two days, fever, or excessive swelling that makes it difficult to swallow.

Restoring Your Smile After Extraction

Once the socket has fully healed, it is important to consider the long-term impact of a missing tooth. When a tooth is removed, adjacent teeth may shift into the empty space, which can lead to bite misalignment, jaw pain, and even more dental issues in the future. Discussing replacement options early in the process is highly recommended.

Common replacement solutions include:

  • Dental Implants: The gold standard for replacing a single missing tooth, as they preserve bone health and function like a natural tooth.
  • Dental Bridges: A fixed appliance that “bridges” the gap by using the surrounding teeth as anchors.
  • Partial Dentures: A removable appliance that fills the gap and can be an effective, lower-cost alternative.

Facing the necessity of removing a tooth is rarely a pleasant experience, but understanding that an infected tooth extraction is often a protective measure for your overall health can make the process easier to navigate. By acting promptly on the symptoms of infection, following the recommended post-operative care instructions, and planning for the eventual restoration of the space, you can prevent more severe systemic complications and maintain the longevity of your oral health. If you are experiencing persistent tooth pain, do not wait for the situation to worsen; scheduling a professional dental evaluation is the most important step toward resolving the infection and restoring comfort to your daily life.

Related Terms:

  • tooth extraction infection treatment
  • warning signs after tooth extraction
  • infected tooth extraction site pictures
  • signs of tooth extraction infection
  • Decayed Tooth Extraction
  • Infected Tooth Socket