Rp

Internal Capsule Brain

Internal Capsule Brain

The internal capsule brain structure serves as a critical superhighway for neural communication, acting as a compact yet densely packed white matter pathway. Located deep within the cerebral hemispheres of the human brain, this structure is essential for relaying information between the cerebral cortex—the seat of higher brain functions—and the lower centers, including the brainstem and spinal cord. Without the integrity of this pathway, the brain would struggle to translate conscious intentions into physical movement or relay sensory data from the body to the brain for processing. Understanding the anatomy and function of this region is vital for clinicians and anatomy enthusiasts alike, as damage to this specific area can lead to profound neurological deficits.

Anatomy of the Internal Capsule

The internal capsule is a V-shaped structure composed of white matter tracts, situated between the thalamus and the caudate nucleus medially, and the lentiform nucleus laterally. Because it acts as a funnel for thousands of nerve fibers, it is categorized into distinct segments, each carrying specific types of information. From a structural perspective, these segments are crucial for clinical localization during diagnostic imaging, such as an MRI.

The structure is anatomically divided into the following key components:

  • Anterior Limb: Situated between the head of the caudate nucleus and the lentiform nucleus, this area primarily contains frontopontine fibers and thalamocortical fibers.
  • Genu (The Knee): This is the bend in the V-shape, where the anterior and posterior limbs meet. It is home to the corticobulbar tract, which is essential for controlling cranial nerves.
  • Posterior Limb: Located between the thalamus and the lentiform nucleus, this segment is highly significant as it contains the main corticospinal tract, which manages voluntary motor movements of the body.
  • Retrolenticular and Sublenticular Parts: These posterior-most sections carry optic and auditory radiations, relaying visual and auditory information to the visual and auditory cortices, respectively.

💡 Note: The internal capsule brain region is highly vulnerable due to its dense concentration of nerve fibers; even small vascular events in this area can cause widespread physical impairment.

Functional Significance

The functional importance of the internal capsule cannot be overstated. It acts as the primary conduit for the pyramidal system, which is responsible for voluntary motor control. When a motor command is generated in the precentral gyrus (the motor cortex), the signal must travel down through the posterior limb of the internal capsule before descending further into the brainstem and spinal cord. If these fibers are compromised, the corresponding muscles experience weakness or paralysis.

Beyond motor function, the internal capsule is a hub for sensory feedback. It carries afferent fibers from the thalamus, ensuring that sensory information regarding touch, temperature, and pain reaches the sensory cortex. The integration of these motor and sensory pathways within such a small space makes this structure a central hub for human functionality.

Segment Primary Function
Anterior Limb Executive function connections, Frontopontine tracts
Genu Corticobulbar tract (cranial nerve motor control)
Posterior Limb Corticospinal tract (body motor control)
Retrolenticular Optic radiations (vision)

Clinical Implications and Pathology

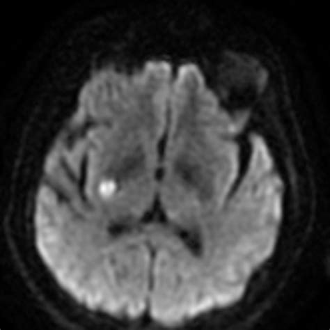
Because the internal capsule houses such dense bundles of nerve fibers, it is a frequent site for "lacunar strokes." These are small, localized strokes that occur due to the blockage of small, deep penetrating arteries known as the lenticulostriate arteries. Because these arteries are end-arteries, they lack significant collateral circulation, meaning any interruption in blood flow almost inevitably leads to tissue damage.

Common clinical presentations of damage to this region include:

  • Contralateral Hemiparesis: Weakness or paralysis on the side of the body opposite to the side of the brain injury.
  • Pure Motor Stroke: A condition where the patient experiences paralysis without any sensory or cognitive deficits.
  • Visual Field Deficits: Caused by damage to the posterior segments which handle optic radiation.

Diagnostic imaging, specifically Diffusion-Weighted Imaging (DWI), is often the gold standard for detecting early ischemic changes within the internal capsule brain structure. Detecting these changes quickly allows medical professionals to intervene before permanent neurological damage occurs.

💡 Note: Sudden onset of one-sided weakness or facial drooping should always be treated as a medical emergency, as it often points toward an event within the deep white matter pathways like the internal capsule.

Diagnostic Approaches

To evaluate the health of this region, neurologists rely on a combination of physical examinations and high-resolution neuroimaging. A standard neurological assessment tests for motor strength, reflexes, and cranial nerve integrity. If abnormalities are detected, the following imaging modalities are typically employed:

  • MRI (Magnetic Resonance Imaging): Provides superior contrast between white matter and gray matter, making it ideal for visualizing the internal capsule.
  • CT Scan: Often used in acute settings to rule out hemorrhage, though it is less sensitive than MRI for small strokes.
  • DTI (Diffusion Tensor Imaging): An advanced form of MRI that can map the orientation and integrity of white matter tracts, providing a detailed look at the internal capsule brain pathways.

By utilizing these tools, doctors can pinpoint the location of a lesion with remarkable accuracy, allowing them to predict the expected recovery trajectory for the patient and implement tailored rehabilitation strategies such as physical and occupational therapy.

Final Thoughts

The internal capsule remains one of the most vital regions of the central nervous system, serving as the essential communication link between the brain’s control centers and the rest of the body. Its complex anatomy, characterized by the tight bundling of motor and sensory tracts, explains why even minor vascular incidents in this area can result in significant neurological consequences. By understanding the segmentation of the capsule—ranging from the anterior limb to the retrolenticular portions—healthcare providers can better diagnose and treat conditions that threaten this essential neural gateway. Continued research into the plasticity and recovery mechanisms of these white matter pathways offers hope for improved rehabilitation outcomes for patients affected by neurological injuries.

Related Terms:

  • internal capsule coronal view
  • internal capsule brain axial
  • internal capsule brain location
  • internal capsule radiology
  • internal capsule brain blood supply
  • internal capsule brain function