Cleve

Is Gingivitis Contagious

Is Gingivitis Contagious

If you have ever been diagnosed with early-stage gum disease, you might have paused to wonder, is gingivitis contagious? It is a common concern, especially when sharing utensils, toothbrushes, or engaging in intimate contact with loved ones. Understanding how oral health issues spread—and more importantly, how they do not—is crucial for maintaining not only your own dental hygiene but also the health of those around you. While the quick answer is that gingivitis itself is not considered "contagious" in the same way a cold or flu virus is, the reality involves a more nuanced look at oral bacteria and hygiene habits.

Understanding the Nature of Gingivitis

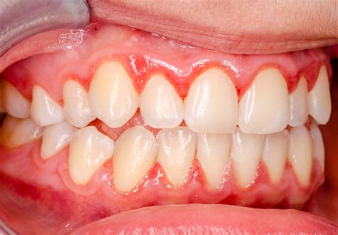
To grasp why gingivitis isn't contagious, it is important to first define what it actually is. Gingivitis is the inflammation of the gums caused primarily by the buildup of plaque—a sticky, bacteria-filled film—along the gumline. When this plaque is not removed through daily brushing and flossing, it irritates the gum tissue, leading to redness, swelling, and bleeding.

The bacteria that cause this plaque are naturally present in everyone’s mouth. Therefore, gingivitis is not an "infection" that you catch from someone else like a cold. Instead, it is an inflammatory response to the bacteria already living inside your own mouth. If your oral hygiene routine is inconsistent, these bacteria thrive, leading to inflammation.

The Misconception: Bacteria vs. Disease

While gingivitis itself is not contagious, the bacteria associated with gum disease can be transferred between individuals. This often happens through saliva—for instance, by sharing drinks, kissing, or sharing toothbrushes. However, simply transferring these bacteria does not mean the other person will automatically develop gingivitis.

Think of it this way: the bacteria are like seeds. For those seeds to grow into a "garden" of gum disease, they need the right soil—which, in this case, is a mouth with poor oral hygiene. If a person has a robust, healthy oral environment with consistent dental care, their mouth can easily manage and neutralize any new bacteria introduced from someone else.

💡 Note: While you won't "catch" gingivitis, sharing toothbrushes can transmit other harmful pathogens and viruses, which is why experts strongly advise against ever sharing oral hygiene tools.

Factors That Make You Vulnerable to Gingivitis

Since the disease is driven by your own oral care habits and biological factors rather than exposure to others, it is important to understand what actually triggers it. Even if you aren't "catching" it, certain conditions can make your gums more susceptible to inflammation.

  • Poor Oral Hygiene: Skipping brushing or failing to floss daily allows plaque to harden into tartar, which is much harder to remove.
  • Smoking or Vaping: Tobacco use significantly decreases blood flow to the gums, making it harder for them to heal.
  • Hormonal Changes: Pregnancy, puberty, and menopause can make gums more sensitive to the bacteria already present in the mouth.
  • Systemic Diseases: Conditions like diabetes, which impact the body's ability to fight infection, also increase the risk of gum inflammation.
  • Certain Medications: Some prescription drugs cause gum tissue overgrowth or dry mouth, making it easier for plaque to accumulate.

Comparison: Gingivitis vs. Other Oral Issues

It is helpful to distinguish between conditions that are contagious and those that are not. The following table highlights common oral health concerns and their transmission status.

Condition Is it Contagious? Primary Cause
Gingivitis No Plaque/Bacteria accumulation
Cold Sores (Herpes Simplex) Yes Viral Infection
Oral Thrush Rarely Fungal imbalance
Periodontitis No Untreated Gingivitis

Preventing the Spread of Harmful Oral Bacteria

Even though you cannot "catch" gingivitis, you should still practice good hygiene to prevent the transfer of harmful bacteria. Excessive buildup of specific anaerobic bacteria is linked to more severe forms of gum disease. To keep your household safe and your own mouth healthy, follow these steps:

1. Maintain a Strict Cleaning Routine
Brush twice a day using fluoride toothpaste and floss at least once daily. This disrupts the biofilm that bacteria need to colonize your gums.

2. Replace Your Toothbrush
Swap your toothbrush every three to four months, or sooner if the bristles are frayed. If you have been sick, it is a good idea to get a fresh brush as well.

3. Use Antimicrobial Mouthwash
An alcohol-free, antimicrobial rinse can help reduce the overall bacterial load in your mouth, making it less likely that you will transfer high levels of bacteria during intimate contact.

4. Schedule Regular Professional Cleanings
Even with the best home care, some plaque will harden into tartar that only a dental hygienist can remove. Regular checkups ensure that any early signs of inflammation are addressed before they progress.

💡 Note: If you notice persistent bleeding when you brush, do not ignore it. While it isn't "contagious," bleeding is the primary warning sign that professional intervention is needed to prevent the condition from escalating into periodontitis.

Lifestyle Choices That Protect Your Gums

Beyond daily brushing, your lifestyle plays a major role in the health of your gum tissue. Nutrition, for instance, is vital. A diet high in refined sugars provides the perfect food source for the bacteria that cause gingivitis. By reducing sugar intake and focusing on fibrous vegetables and calcium-rich foods, you create an environment that is less hospitable to disease-causing bacteria.

Furthermore, stress management can impact your dental health. High levels of cortisol, the body’s stress hormone, can lead to systemic inflammation. When your body is constantly fighting stress, your immune system may be less effective at keeping the bacterial population in your mouth in check, which can contribute to the development of gingivitis.

Final Thoughts

The persistent question regarding whether gingivitis is contagious often stems from a misunderstanding of how oral bacteria function. Because these bacteria are already present in everyone’s mouth, the focus should not be on “avoiding” the disease from others, but rather on managing your own oral environment. By maintaining a rigorous routine of brushing, flossing, and visiting your dentist, you can effectively prevent the bacterial buildup that leads to inflammation. Remember, gingivitis is a reversible condition, and taking charge of your daily dental habits is the most effective way to ensure your gums remain healthy, pink, and resilient against infection.

Related Terms:

  • what is gingivitis
  • is gingivitis common
  • is periodontitis contagious
  • is gingivitis reversible
  • is gingivitis contagious in cats
  • how do you get gingivitis