Cleve

Jaw Bone Tori

Jaw Bone Tori

Discovering a hard, painless bump inside your mouth can be an alarming experience, often leading people to search for answers in a panic. One of the most common, yet frequently misunderstood, findings during a dental examination is the presence of Jaw Bone Tori. Often referred to simply as "tori," these are benign, slow-growing bony growths that occur in the mouth. While the name might sound intimidating, these structures are generally harmless and are a normal anatomical variation for many people. Understanding what they are, why they form, and when they might require attention is essential for maintaining oral health and reducing unnecessary anxiety.

What Exactly Are Jaw Bone Tori?

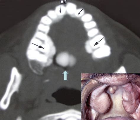
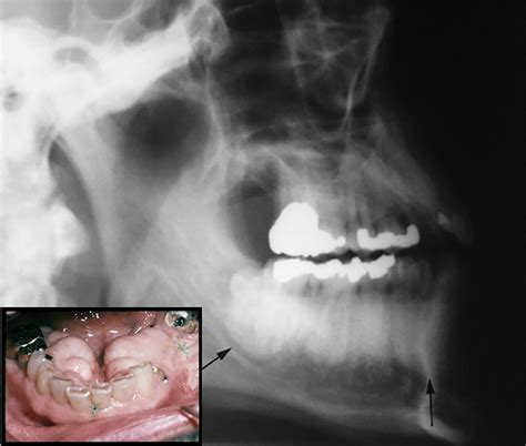
In dental terminology, Jaw Bone Tori (singular: torus) are technically classified as exostoses—excess bone growth. They are dense, cortical bone protrusions that typically develop in specific areas of the jaw. These growths are slow-moving and can take years to become noticeable. Because they are part of your natural jawbone structure, they feel as hard as a tooth when touched. Most people are completely unaware they have them until a dentist points them out during a routine cleaning or if they accidentally scratch the tissue covering the torus while eating sharp foods.

There are two primary types of these bony growths based on their location:

  • Torus Palatinus: These occur on the roof of the mouth (hard palate), usually in the center. They can range from flat and wide to lobulated and prominent.
  • Torus Mandibularis: These appear on the lingual (tongue-side) aspect of the lower jaw, usually above the mylohyoid line. These are often bilateral, meaning they appear on both the left and right sides of the lower jaw.

Why Do They Form?

The exact cause of Jaw Bone Tori is still a subject of ongoing research, but dental professionals generally agree that it is a combination of genetic and environmental factors. It is not a disease, nor is it a sign of poor oral hygiene. Instead, it is often viewed as a functional adaptation of the bone.

Several theories explain their development:

  • Genetics: If your parents or siblings have them, you are significantly more likely to develop them. Heredity plays a massive role in the likelihood of torus formation.
  • Parafunctional Habits: Chronic stress on the jawbone, such as bruxism (teeth grinding or clenching), is strongly linked to the development of mandibular tori. The bone reacts to the constant pressure and micro-trauma by thickening and expanding.
  • Occlusal Forces: The way your teeth come together (bite) can influence bone growth. Individuals with a heavy bite or specific tooth alignment may be more prone to these bony projections.

Identifying the Characteristics

Recognizing Jaw Bone Tori is relatively straightforward for a dentist, but for patients, distinguishing them from other oral pathologies is important. Here is a comparison of their common traits to help you understand what you might be feeling:

Characteristic Description
Texture Hard, bony, and immovable.
Color The same color as the surrounding gum tissue (usually pale pink).
Pain Usually painless unless traumatized by food.
Growth Rate Very slow, occurring over many years.
Location Center of the palate or tongue-side of the lower jaw.

💡 Note: If you feel a growth in your mouth that is soft, changing in color, bleeding, or causing sudden pain, you should schedule a visit with your dentist immediately, as these are not symptoms of a typical torus.

Do You Need Treatment?

In the vast majority of cases, Jaw Bone Tori do not require any medical intervention. Since they are benign and asymptomatic, dentists usually recommend leaving them alone. However, there are specific scenarios where surgical removal (a procedure called an alveoloplasty) may become necessary:

  • Prosthetic Interference: If you need to wear dentures or a partial, the tori can physically prevent the appliance from fitting correctly or cause significant irritation.
  • Chronic Trauma: If the torus is very large or lobulated, it may be constantly injured by sharp food, leading to painful ulcerations that do not heal properly.
  • Oral Hygiene Difficulties: In rare cases, a large torus can create hard-to-reach areas where plaque and bacteria accumulate, increasing the risk of periodontal disease.
  • Speech Interference: While extremely rare, exceptionally large palatal tori can occasionally affect speech patterns or tongue movement.

Living with Tori and Oral Health Maintenance

If you have Jaw Bone Tori, you do not need to alter your daily habits significantly, but you should practice diligent oral hygiene. Because the tissue covering the bone is thin, it can be more susceptible to injury. When brushing, be mindful of the area to avoid scraping the gums over the bony growth. If you are experiencing discomfort due to accidental trauma, using a saltwater rinse can help soothe the tissue and promote healing of any minor scratches.

Maintaining regular dental checkups is the most effective way to monitor these growths. Your dentist will observe them during routine screenings to ensure they remain stable. If you ever notice a sudden change in size, shape, or if the surface starts to ulcerate, do not wait for your next checkup; consult your dental professional to rule out other, more serious oral health issues.

Understanding that these bony landmarks are a natural part of your anatomy can alleviate the worry that often accompanies their discovery. For most individuals, they are simply a unique feature of their oral cavity that requires nothing more than standard care. By keeping up with regular professional exams and maintaining a healthy cleaning routine, you can ensure that your oral health remains in top condition, regardless of these harmless anatomical variations. Always prioritize professional consultation for any persistent changes in your mouth to ensure peace of mind and long-term wellness.

Related Terms:

  • extra jaw bone under tongue
  • mandibular tori outside gum
  • bony bumps behind lower teeth
  • mandibular tori removal
  • tori bone growth in mouth
  • mandibular tori surgery cost