Cleve

Kidney Aml Tumor

Kidney Aml Tumor

Discovering that you have a growth on your kidney can be an overwhelming and frightening experience, but it is important to understand that not all kidney masses are malignant. One of the most common types of benign, or non-cancerous, kidney growths is known as a Kidney AML Tumor, medically referred to as an angiomyolipoma. These tumors are composed of three distinct types of tissues: blood vessels (angio), smooth muscle cells (myo), and fat cells (lipoma). While the name may sound intimidating, an angiomyolipoma is generally considered a benign condition. Understanding the nature, symptoms, and management options for a Kidney AML tumor is crucial for patients navigating their diagnosis and long-term health monitoring.

What is a Kidney AML Tumor?

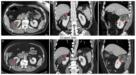
A Kidney AML tumor is a type of mesenchymal tumor, which means it arises from the soft tissues of the kidney rather than the filtering units themselves. Because these tumors contain fat, they have a unique appearance on medical imaging tests like CT scans or MRIs, which helps radiologists distinguish them from potentially cancerous kidney tumors. Most angiomyolipomas occur sporadically, meaning they appear spontaneously without a clear hereditary link. However, a significant subset of patients develops these tumors in association with a genetic disorder known as Tuberous Sclerosis Complex (TSC). In patients with TSC, these tumors are often more numerous, larger, and more likely to affect both kidneys.

While benign, the "behavior" of a Kidney AML tumor depends largely on its size and composition. Smaller tumors often cause no symptoms and may remain stable for many years. However, larger tumors—specifically those measuring over 4 centimeters—pose a higher risk of complications, such as spontaneous bleeding, due to the abnormal, fragile blood vessels they contain. For this reason, clinical management focuses on active surveillance to ensure the tumor does not reach a size where it becomes dangerous.

Common Symptoms and Diagnostic Procedures

In the vast majority of cases, a Kidney AML tumor is asymptomatic, especially when small. It is frequently discovered incidentally during an ultrasound or CT scan performed for an unrelated health concern. However, if the tumor grows large or begins to bleed, symptoms may manifest, requiring prompt medical attention.

Typical Symptoms of Symptomatic Angiomyolipoma

  • Flank or abdominal pain: Persistent dull ache or sudden, sharp pain in the side or back.
  • Hematuria: Blood in the urine, which can be visible or microscopic.
  • Palpable mass: In very rare, large cases, a growth may be felt in the abdomen.
  • Anemia: Chronic, low-level bleeding can lead to fatigue and low red blood cell counts.
  • Sudden, severe pain: This may indicate a rupture or significant hemorrhage, which is a medical emergency.

Diagnosing a Kidney AML tumor involves various imaging modalities to assess the size and character of the lesion. A CT scan with contrast or an MRI is typically the gold standard because these scans can identify the presence of fat within the tumor—a hallmark characteristic of an angiomyolipoma.

Diagnostic Tool Purpose
Ultrasound Initial screening; helps differentiate solid masses from cysts.
CT Scan (with contrast) High sensitivity for detecting fat content within the tumor.
MRI Provides detailed imaging, especially useful if CT scans are inconclusive.
Blood/Urine Tests Evaluates kidney function and checks for hematuria or anemia.

⚠️ Note: If you experience sudden, excruciating flank pain, dizziness, or signs of shock, seek emergency medical care immediately, as this could indicate an acute hemorrhage from the tumor.

Treatment and Management Strategies

Management for a Kidney AML tumor is highly personalized, based on the size of the growth, the presence of symptoms, and the underlying cause (sporadic vs. TSC-related). The primary goal of treatment is to prevent spontaneous bleeding while preserving as much healthy kidney function as possible.

Active Surveillance

For small, asymptomatic tumors, the standard approach is “watchful waiting.” This involves regular imaging—typically an annual or biannual ultrasound or CT scan—to monitor the growth rate. If the tumor remains stable, no invasive intervention is necessary. This approach minimizes risks associated with surgery or medical procedures.

Interventional and Medical Options

When tumors grow beyond a certain size or cause symptoms, physicians may recommend:

  • Selective Arterial Embolization (SAE): A minimally invasive procedure where doctors inject substances into the blood vessels feeding the tumor to “starve” it and reduce its size, effectively minimizing the risk of future bleeding.
  • Targeted Drug Therapy: For patients with TSC-associated angiomyolipomas, mTOR inhibitors may be prescribed. These systemic medications can significantly shrink the size of the tumors.
  • Surgical Intervention: Partial nephrectomy (removing just the tumor) is generally preferred over a radical nephrectomy (removing the entire kidney) to maintain kidney function. This is usually reserved for very large or complex tumors that cannot be managed by other means.

💡 Note: Always discuss the potential side effects of mTOR inhibitors with your specialist, as they can affect immune function and wound healing.

Living with an Angiomyolipoma

Living with a diagnosis of a Kidney AML tumor requires a proactive partnership with a healthcare provider, ideally a urologist or a nephrologist. Because most of these tumors are benign, many patients lead entirely normal lives with only periodic check-ups. Maintaining a healthy lifestyle—keeping blood pressure in a normal range and managing chronic health conditions—can also help support overall kidney health. By staying informed about the nature of the mass and adhering to the recommended monitoring schedule, patients can effectively manage this condition and ensure that any potential issues are addressed early, long before they escalate into serious health concerns.

Understanding the diagnostic landscape and the available management paths for a Kidney AML tumor is the most effective way to alleviate anxiety regarding this diagnosis. Because the clinical approach emphasizes conservative management through regular monitoring, the vast majority of cases remain manageable without the need for aggressive surgery. By prioritizing consistent follow-up appointments and clear communication with your medical team, you can stay ahead of the condition, maintain your kidney health, and enjoy peace of mind. While the presence of a tumor in the kidney requires attention, remember that with modern medical advancements, most individuals with an angiomyolipoma continue to lead healthy and active lives without significant interruption.

Related Terms:

  • angiomyolipoma of left kidney
  • angiomyolipoma lower pole left kidney
  • angiomyolipoma kidney patient information
  • is angiomyolipoma in kidney serious
  • what causes angiomyolipoma in kidney
  • is an angiomyolipoma dangerous