Cleve

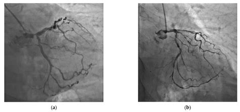
Left Main Artery

Left Main Artery

The human heart is a complex engine that relies on a constant, uninterrupted supply of oxygen-rich blood to function. At the very center of this life-sustaining system lies the Left Main Artery, a critical vessel that serves as the primary gateway for blood distribution to the most significant portions of the heart muscle. Because of its pivotal anatomical position, any obstruction or disease affecting this vessel is considered one of the most serious conditions in cardiology. Understanding the anatomy, clinical significance, and treatment options for this artery is essential for patients, caregivers, and anyone looking to understand the mechanics of cardiovascular health.

Anatomy and Function of the Left Main Artery

Diagram representing heart anatomy

The Left Main Artery (often referred to in medical literature as the left main coronary artery or LMCA) is a relatively short vessel that emerges from the left aortic sinus. Despite its brevity, its responsibility is immense. It acts as the “trunk” of the left side of the heart’s vascular tree. Shortly after originating, it branches into two major pathways:

  • Left Anterior Descending (LAD) Artery: This branch travels down the front of the heart and provides blood to the anterior wall and the septum, which separates the left and right ventricles. It is often referred to as the “widow-maker” due to the high mortality associated with its blockage.
  • Left Circumflex (LCX) Artery: This branch wraps around to the left side of the heart, supplying blood to the lateral and posterior walls of the left ventricle.

Together, these branches ensure that the left ventricle—the heart’s primary pumping chamber—receives the high-pressure, oxygenated blood it needs to circulate life-sustaining fluids throughout the entire body.

The Clinical Significance of Left Main Disease

When we discuss “Left Main disease,” we are referring to the narrowing or blockage of this critical artery, usually due to atherosclerosis—the buildup of plaque consisting of fats, cholesterol, and other substances. Because the Left Main Artery supplies such a vast territory of the heart muscle, a significant blockage here can result in catastrophic consequences. Unlike blockages in smaller vessels, an obstruction in the main trunk affects the flow to both major branches, potentially causing widespread ischemia (lack of oxygen) across the entire left heart.

The symptoms of significant narrowing in this artery are often severe and require immediate medical intervention. Common warning signs include:

  • Unstable angina, which is chest pain that occurs even during rest.
  • Shortness of breath or difficulty catching one’s breath during minimal physical exertion.
  • Extreme fatigue that comes on suddenly.
  • Dizziness, lightheadedness, or sudden unexplained sweating.
  • Symptoms that mimic a heart attack, such as pain radiating to the jaw, neck, or left arm.

Diagnostic Procedures for Arterial Assessment

Because the Left Main Artery is so vital, cardiologists use highly precise diagnostic tools to evaluate the extent of any blockage. These tests allow doctors to map out the severity of the stenosis and decide on the most appropriate surgical or non-surgical intervention.

Diagnostic Tool Purpose Accuracy
Coronary Angiogram The "gold standard" for imaging the lumen of the artery. Very High
Intravascular Ultrasound (IVUS) Provides a cross-sectional view inside the vessel wall. High
CT Angiography Non-invasive imaging using contrast dye. High (Screening)
Stress Testing Assesses how the heart performs under pressure. Moderate

⚠️ Note: Always consult with a board-certified cardiologist if you experience persistent chest pain, as these diagnostic tools are essential for preventing irreversible heart damage.

Treatment Pathways: CABG vs. PCI

Once a significant lesion is identified in the Left Main Artery, the treatment strategy is usually categorized into two primary approaches: Coronary Artery Bypass Grafting (CABG) or Percutaneous Coronary Intervention (PCI) with stenting. The choice between these two depends on the patient’s overall health, the complexity of the blockage, and the presence of other comorbidities like diabetes or chronic kidney disease.

Coronary Artery Bypass Grafting (CABG): This is considered the traditional surgical standard for left main disease. During this procedure, a surgeon creates a new path for blood to bypass the blocked section of the artery, typically using a vessel taken from the chest, leg, or arm. It is often preferred for complex, multi-vessel disease.

Percutaneous Coronary Intervention (PCI): This is a less invasive procedure where a catheter is threaded through the blood vessels to the heart. A small balloon is inflated to open the blockage, and a stent is placed to keep the Left Main Artery open. With advancements in drug-eluting stents, this has become an increasingly common alternative to open-heart surgery for eligible candidates.

💡 Note: While stent technology has advanced significantly, surgical bypass remains the preferred long-term solution for patients with complex anatomy or high-risk diabetic profiles.

Living with Cardiovascular Health

Post-treatment recovery and long-term management of the Left Main Artery health require a strict commitment to lifestyle modification. Regardless of whether a patient undergoes surgery or stenting, the underlying process of atherosclerosis must be managed. This includes:

  • Medication Adherence: Taking anti-platelet agents, statins to control cholesterol, and blood pressure medication exactly as prescribed.
  • Heart-Healthy Nutrition: Focusing on a Mediterranean-style diet rich in fiber, healthy fats, and antioxidants, while limiting processed sugars and sodium.
  • Cardiac Rehabilitation: Participating in supervised exercise programs designed to strengthen the heart safely after a procedure.
  • Smoking Cessation: Quitting smoking is the single most effective step one can take to prevent further plaque buildup in coronary arteries.

Managing the health of your Left Main Artery is not merely about surviving a procedure; it is about reclaiming your quality of life. By recognizing the symptoms early, pursuing prompt diagnostic evaluation, and adhering to post-operative medical advice, many patients lead full and active lives. The key takeaway for everyone, even those without a diagnosis, is that cardiovascular health is a lifelong endeavor. Regular check-ups, awareness of family history, and maintaining an active lifestyle provide the best defense against arterial disease. As medical technology continues to evolve, the prognosis for those dealing with complex coronary conditions continues to improve, offering hope and longer, healthier futures for those who prioritize their heart health.

Related Terms:

  • left main coronary arteries
  • origin of left coronary artery
  • left coronary artery branching
  • left main coronary artery branches
  • left coronary artery definition
  • where is left coronary artery