Leg lengthening surgery has transitioned from a niche orthopedic procedure used primarily for correcting congenital limb length discrepancies into a globally discussed topic in the realm of aesthetic enhancement. As interest grows, individuals are increasingly seeking detailed information regarding the process, safety, and long-term implications of this life-altering operation. Whether the motivation is medical necessity—such as correcting uneven bone lengths—or elective cosmetic reasons, understanding the complexity of this procedure is essential for anyone considering it.
Understanding the Procedure

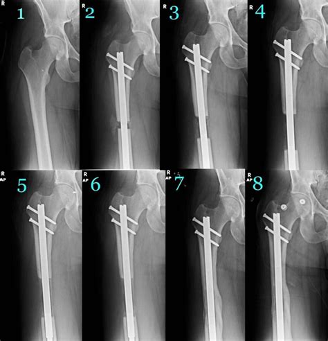
At its core, leg lengthening surgery, medically known as distraction osteogenesis, relies on the body’s innate ability to regenerate new bone and soft tissue. The process begins with an orthopedic surgeon making a precise cut in the bone, known as an osteotomy. Once the bone is divided, a specialized device, usually an internal intramedullary nail, is implanted into the marrow cavity.
After the initial surgery, a period called the "distraction phase" begins. During this time, the device is gradually lengthened—often via an external remote control—by a small amount each day, typically about one millimeter. This slow separation creates a gap where new bone tissue, nerves, and blood vessels slowly form to bridge the space. Following the distraction phase, the bone must undergo a consolidation phase, where the newly formed bone mineralizes and hardens to reach full strength.
⚠️ Note: The distraction phase requires immense patience and strict adherence to a physical therapy regimen, as the rate of lengthening must be meticulously controlled to ensure proper bone regeneration and to prevent complications.
Who is a Candidate for Leg Lengthening Surgery?
Not every individual is suitable for this invasive procedure. Surgeons conduct rigorous screenings to ensure that the patient’s physical health, bone quality, and psychological readiness are sufficient for the demands of recovery. Generally, candidates fall into two categories:
- Medical Candidates: Individuals with significant limb length discrepancy, often caused by childhood fractures, bone infections, or congenital abnormalities.
- Cosmetic Candidates: Healthy adults who wish to increase their overall height for personal reasons.
Candidates must be non-smokers, as smoking severely inhibits bone healing, and they must demonstrate a clear understanding of the risks, costs, and extended recovery time involved.
What to Expect During Recovery
Recovery from leg lengthening surgery is a long-term commitment. It is not merely about surviving the operation; it is about navigating months of intense rehabilitation. Below is a breakdown of the typical stages following the initial procedure:
| Phase | Duration | Primary Focus |
|---|---|---|
| Immediate Post-Op | 1-2 weeks | Pain management and wound care |
| Distraction Phase | 2-4 months | Daily adjustments to lengthen bone |
| Consolidation Phase | 3-9 months | Bone hardening and initial weight bearing |
| Final Rehabilitation | 6-12 months | Regaining full muscle strength and flexibility |
During the consolidation phase, physical therapy is non-negotiable. Patients work closely with therapists to maintain joint range of motion, prevent muscle contractures, and slowly reintroduce weight-bearing exercises to the limbs.
Common Risks and Complications
Like any major orthopedic surgery, leg lengthening surgery carries significant risks. Potential patients must be fully aware of these possibilities:
- Nerve or Vessel Injury: The process of stretching bone also stretches surrounding nerves and blood vessels, which can lead to temporary or permanent numbness or circulatory issues.
- Infection: Any surgery involving internal hardware carries a risk of deep tissue infection.
- Non-union or Malunion: In some cases, the bone may fail to grow together properly, requiring additional surgery.
- Muscle Contractures: As bones lengthen, the muscles become tighter, which can lead to decreased mobility if intense physical therapy is neglected.
⚠️ Note: Choosing an highly experienced surgeon with a proven track record is the most effective way to minimize these risks. Do not prioritize cost over the expertise of your medical team.
Preparation and Financial Considerations
Preparation is key to a successful outcome. This includes preparing your home for limited mobility, arranging for post-operative support, and ensuring you have the financial resources for the surgery, hospital stay, physical therapy, and potential follow-up hardware removal. Because this procedure is often elective for cosmetic purposes, it is rarely covered by standard health insurance. Patients must plan for substantial out-of-pocket expenses that can vary greatly depending on the geographic location and the specific medical facility chosen.
Long-term Outcomes
Once the bone has fully consolidated and the patient has completed the rigorous physical therapy required, the results are typically permanent. Many patients report significant improvements in confidence and, in the case of medical corrections, a noticeable improvement in gait and overall quality of life. However, it is vital to keep expectations grounded in reality. The body takes a long time to adapt to a new skeletal structure, and while height gains of several inches are possible, the journey requires resilience, dedication, and a deep understanding of one's own physical boundaries.
As medical technology continues to advance, the methods used in leg lengthening surgery are becoming increasingly refined, leading to safer procedures and more predictable outcomes. For those considering this path, the most important step is to seek comprehensive consultations with multiple orthopedic specialists. By carefully weighing the risks against the personal benefits, candidates can make an informed decision that aligns with their health and life goals. It is a journey that demands patience throughout every phase, from the initial consultation to the final steps of rehabilitation, but for many, the results prove to be a life-changing investment in their future physical stature.
Related Terms:
- leg lengthening surgery cost
- height extension surgery
- leg lengthening surgery recovery time
- leg lengthening surgery reddit
- leg lengthening surgery risks
- leg lengthening surgery pictures