Cleve

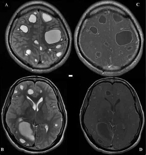
Lesions On The Brain

Lesions On The Brain

Discovering that you or a loved one has lesions on the brain can be an incredibly alarming experience. The term itself is broad, referring to any area of the brain that appears abnormal when compared to healthy tissue on a medical imaging scan, such as an MRI or CT scan. While the word "lesion" may sound ominous, it is simply a medical descriptor for a finding—it does not automatically equate to a diagnosis of cancer or a terminal illness. Understanding what these spots represent, how they are detected, and what the diagnostic process entails is crucial for navigating this complex medical landscape with clarity and reduced anxiety.

What Exactly Are Lesions on the Brain?

At its core, a brain lesion is an area of damage or abnormal tissue. These spots can vary significantly in size, shape, and location within the brain. Because the brain is a highly complex organ where different regions control specific functions—such as movement, speech, memory, and emotion—the impact of a lesion depends entirely on where it is situated and what caused it in the first place.

When a radiologist reviews brain imaging, they look for areas that show different signal intensities than the surrounding, healthy brain matter. These differences can be caused by various underlying processes, ranging from inflammation and infection to vascular issues or tumors. Because the causes are so diverse, it is impossible to determine the nature of a lesion based solely on its appearance on a scan; further investigation is almost always required.

Common Causes of Brain Lesions

The etiology—or cause—of lesions on the brain is vast. Clinicians categorize them into several groups to help narrow down the diagnosis. Understanding these categories is essential for patients trying to comprehend their medical reports.

  • Vascular Issues: Often related to small vessel disease, chronic hypertension, or past mini-strokes (TIAs).
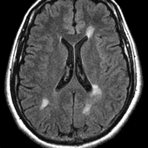
  • Autoimmune and Inflammatory Conditions: Diseases like Multiple Sclerosis (MS) frequently cause demyelinating lesions.
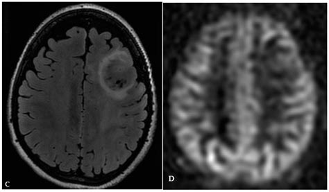
  • Infections: Abscesses, viral infections (like encephalitis), or fungal infections can create focal areas of inflammation.
  • Trauma: A history of head injury, even if it occurred years ago, can leave residual scarring or lesions.
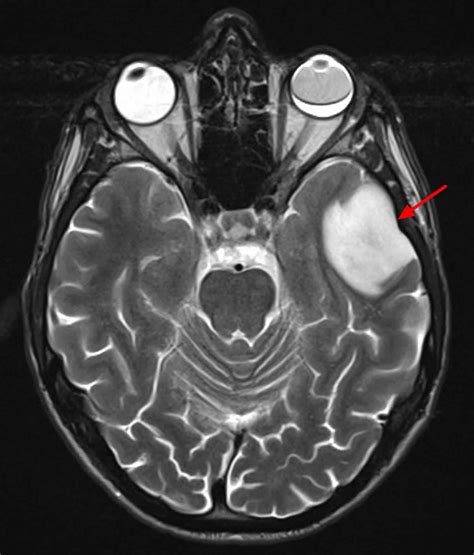
  • Neoplasms: Both benign (non-cancerous) and malignant (cancerous) tumors can appear as lesions.
  • Metabolic or Congenital Factors: Certain rare genetic conditions or systemic metabolic imbalances can manifest as spots on the brain.

⚠️ Note: It is very common to have "unidentified bright objects" (UBOs) or nonspecific lesions on an MRI, especially as we age. Many of these are considered incidental findings that do not cause any clinical symptoms.

Symptoms Associated with Brain Abnormalities

Not every lesion causes symptoms. In fact, many are discovered incidentally when a patient undergoes a scan for an unrelated reason, such as chronic headaches or a mild concussion. However, when lesions do cause symptoms, they typically manifest based on the area of the brain affected.

Potential Symptom Commonly Associated Areas
Headaches or Migraines General, often related to increased intracranial pressure
Cognitive Impairment Frontal or Temporal lobes
Motor Weakness or Numbness Motor cortex or sensory pathways
Vision Changes Occipital lobe or optic nerve
Seizures Cerebral cortex (general)

The Diagnostic Process

When lesions on the brain are identified, the diagnostic journey is systematic. Physicians rarely rely on a single scan to make a definitive diagnosis. Instead, they utilize a combination of clinical history, physical exams, and advanced diagnostic testing.

Typically, the first step is an MRI with and without contrast. The contrast dye helps radiologists distinguish between different types of tissue and can highlight active inflammation or tumor blood supply. Blood tests may also be ordered to rule out systemic autoimmune diseases, infections, or metabolic issues.

In cases where a lesion's nature remains ambiguous, neurologists or neurosurgeons may recommend:

  • Follow-up Imaging: A scan performed a few months later to see if the lesion has grown, shrunk, or remained stable.
  • Lumbar Puncture (Spinal Tap): To analyze cerebrospinal fluid for signs of infection or inflammatory markers.
  • Biopsy: In rare cases where a tumor is suspected, a surgical procedure may be required to obtain a tissue sample for laboratory analysis.

Treatment Strategies

Because there is no single cause, there is no single treatment for brain lesions. The therapeutic approach is dictated by the underlying diagnosis. If the lesion is caused by a vascular issue, treatment will focus on controlling blood pressure and managing cardiovascular risk factors. If it is an autoimmune condition like Multiple Sclerosis, disease-modifying therapies are used to prevent new lesions from forming.

For infections, aggressive courses of antibiotics or antivirals are necessary. In situations involving tumors, the treatment plan might include a multidisciplinary team of neurosurgeons, oncologists, and radiation specialists to determine if surgery, chemotherapy, or focused radiation is appropriate.

💡 Note: Always consult with a neurologist or a neurosurgeon to interpret your specific imaging results. They are best equipped to correlate the findings with your clinical history and symptoms.

Living with the Diagnosis

Receiving news of a brain abnormality can be overwhelming, but it is important to remember that modern medicine is highly adept at managing these conditions. For many, the diagnosis leads to a manageable chronic condition rather than a life-altering event. Maintaining open communication with your healthcare team, strictly adhering to medication schedules if required, and engaging in regular follow-up imaging are the best ways to ensure your health remains monitored and protected.

It is equally important to focus on general neurological health. A healthy lifestyle, including a balanced diet rich in antioxidants, regular cardiovascular exercise, adequate sleep, and cognitive stimulation, can support brain health regardless of the presence of minor, stable lesions. Do not hesitate to seek a second opinion if you feel your current treatment plan is not addressing your concerns, as advocate-based care is a fundamental part of the recovery and management process.

In wrapping up our exploration of this topic, it is evident that finding lesions on the brain is a clinical finding rather than an immediate catastrophe. By categorizing the potential causes—ranging from common age-related vascular changes to inflammatory and neoplastic conditions—physicians can determine the necessary path forward. Through advanced diagnostic imaging, thorough clinical evaluation, and tailored treatment plans, most individuals can manage or treat the underlying cause effectively. If you or someone you know has received this report, take a deep breath, gather as much information as possible from your specialist, and focus on the next steps in your care plan. Understanding the nature of the condition is the most powerful tool you have in managing your neurological health effectively over the long term.

Related Terms:

  • early symptoms of brain lesions
  • lesions on the brain symptoms
  • lesions on the brain nhs
  • lesions on the brain cancer
  • lesion on the brain treatment
  • lesions on the brain ms