Cleve

Ligament Of Treitz

Ligament Of Treitz

The Ligament of Treitz, also known as the suspensory muscle of the duodenum, represents one of the most critical anatomical landmarks in the human gastrointestinal tract. While it may seem like a minor anatomical feature to the untrained eye, this fibromuscular band plays a vital role in structural support and serves as a primary diagnostic benchmark for medical professionals. Located at the junction where the upper gastrointestinal tract ends and the lower gastrointestinal tract begins, understanding its location and function is essential for radiologists, surgeons, and gastroenterologists alike.

Anatomy and Location of the Ligament of Treitz

The Ligament of Treitz arises from the right crus of the diaphragm and extends to the duodenojejunal flexure. It acts as a suspensory mechanism, holding the junction between the fourth part of the duodenum and the jejunum in a fixed position against the posterior abdominal wall. This anatomical stabilization is crucial for the proper mechanical function of the digestive process.

The structure itself is composed of both skeletal muscle fibers from the diaphragm and smooth muscle fibers from the duodenum. This unique composition allows it to maintain tone while providing the necessary flexibility to accommodate the dynamic movements of the digestive system.

  • Origin: Right crus of the diaphragm (near the esophageal hiatus).
  • Insertion: The duodenojejunal flexure (the point where the small intestine shifts from the duodenum to the jejunum).
  • Composition: A mixture of striated (skeletal) and smooth muscle fibers.

Clinical Significance in Gastroenterology

In clinical practice, the Ligament of Treitz serves as the definitive anatomical boundary that separates the upper gastrointestinal (GI) tract from the lower GI tract. This distinction is not merely academic; it dictates how medical practitioners classify and treat gastrointestinal bleeding. When a patient presents with symptoms of internal bleeding, clinicians use this ligament to pinpoint the likely source of the hemorrhage.

Medical teams categorize bleeding based on its relationship to this structure:

Category Definition Clinical Indicators
Upper GI Bleed Proximal to the Ligament of Treitz Hematemesis (vomiting blood), melena (black stools)
Lower GI Bleed Distal to the Ligament of Treitz Hematochezia (bright red blood in stools)

⚠️ Note: While the ligament is a reliable landmark, clinicians must consider that severe or rapid bleeding in the upper GI tract can sometimes present as bright red blood due to fast transit time, mimicking a lower GI bleed.

The Role of the Ligament in Surgical Procedures

During surgical interventions, particularly those involving the abdomen, the Ligament of Treitz acts as a navigational "North Star." Surgeons use it to locate the start of the jejunum. In cases involving small bowel obstructions or diagnostic laparoscopies, identifying this ligament allows the surgeon to orient themselves correctly within the complex loops of the small intestine.

Furthermore, the ligament is of particular interest in the study of malrotation. If the ligament is absent or improperly positioned, the small intestine may not fixate correctly, leading to a condition called midgut malrotation. This can result in a volvulus, a dangerous twisting of the bowel that requires immediate emergency surgical intervention.

Diagnostic Imaging and the Ligament of Treitz

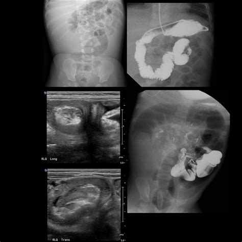
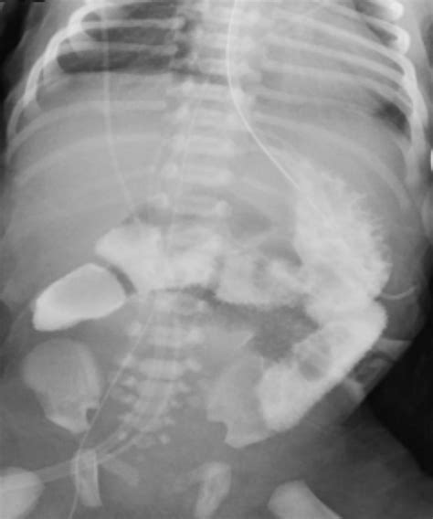
Radiologists rely on the Ligament of Treitz when interpreting imaging studies such as CT scans or fluoroscopy (barium swallow/meal). The position of the duodenojejunal flexure in relation to the vertebral column and the midline can provide diagnostic clues for anatomical anomalies. For instance, in a normal anatomical presentation, the flexure should be to the left of the midline and at the level of the L1 or L2 vertebrae.

When imaging confirms that the flexure is located to the right of the midline, it is a hallmark sign of intestinal malrotation. Recognizing these signs early through imaging can prevent life-threatening complications, especially in pediatric patients who are born with congenital intestinal positioning issues.

Common Pathologies Associated with the Junction

While the ligament itself is rarely the "primary" site of disease, the surrounding area is a hotspot for several conditions. The stability provided by the ligament can sometimes act as a pivot point for pathological processes. Some common considerations include:

  • Superior Mesenteric Artery (SMA) Syndrome: This occurs when the angle between the aorta and the SMA becomes too narrow, potentially compressing the third part of the duodenum. The ligament's tethering effect is a contributing factor to the fixed nature of this obstruction.
  • Internal Hernias: A space or fossa can form around the ligament, known as the paraduodenal fossa. If a loop of the small intestine becomes trapped in this space, it causes an internal hernia, which is a rare but acute surgical emergency.
  • Diverticulosis: The area near the ligament can develop small pouches, or diverticula, which may lead to inflammation or, more rarely, bleeding.

💡 Note: Patients experiencing chronic abdominal pain, unexplained weight loss, or persistent nausea should seek consultation with a gastroenterologist to rule out structural issues involving the small intestine junction.

The Ligament of Treitz serves as a vital bridge between anatomy and clinical medicine. By providing a fixed anatomical marker, it allows doctors to streamline the diagnosis of gastrointestinal hemorrhages and navigate the complexity of the abdomen during surgery. Whether identifying the origin of bleeding or assessing for congenital malformations, its role remains indispensable. Recognizing the importance of this structure enhances our understanding of human physiology and improves the precision of medical interventions. As with many internal structures, its function is best appreciated when it is stable and healthy, yet its potential for involvement in complex pathologies reminds us of the delicate balance within the human digestive system.

Related Terms:

  • ligament of treitz function
  • ligament of treitz attachment
  • ligament of treitz anatomy
  • ligament of treitz fluoroscopy
  • ligament of treitz x ray
  • ligament of treitz radiology