Cleve

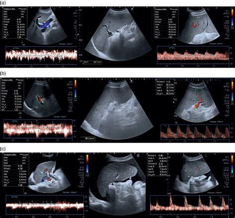
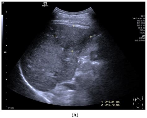
Liver Ultrasound Images

Liver Ultrasound Images

The human liver is a vital organ responsible for filtration, detoxification, and metabolism, yet it is often invisible to the naked eye until health complications arise. Diagnostic imaging has revolutionized how physicians detect abnormalities, with liver ultrasound images serving as the primary, non-invasive tool for assessing hepatic structure. By utilizing high-frequency sound waves, this technology provides real-time visualization of the liver, allowing clinicians to identify inflammation, fatty deposits, tumors, or fluid accumulations without exposing the patient to ionizing radiation.

Understanding the Technology Behind Liver Ultrasound Images

A liver ultrasound, also known as a hepatic sonogram, functions by emitting sound waves that bounce off internal structures. The transducer, a handheld device, captures these echoes and transforms them into visual representations on a monitor. Because the liver has a distinct texture, or "echogenicity," radiologists can quickly differentiate between healthy tissue and potential pathology.

  • Hyperechoic: Tissue that appears brighter on the screen, often indicating fatty liver disease (steatosis).
  • Hypoechoic: Tissue that appears darker, which may suggest inflammation or specific types of lesions.
  • Isoechoic: Tissue that reflects echoes similarly to the surrounding liver parenchyma, often considered normal.

When clinicians review liver ultrasound images, they look for changes in size, shape, and internal patterns. The consistency of the liver’s surface and the presence of any masses are critical markers for diagnosing conditions ranging from simple cysts to more complex oncological issues.

⚠️ Note: Ultrasound is highly operator-dependent; therefore, the quality of the image can vary based on the technician's skill and the patient's body habitus.

Common Findings in Hepatic Imaging

There are several conditions that radiologists frequently identify when analyzing these scans. Understanding what these images represent can help patients better communicate with their healthcare providers. Below is a summary of common findings seen in diagnostic imaging:

Condition Visual Characteristic in Ultrasound
Fatty Liver (Steatosis) Increased echogenicity (brighter liver) and attenuation of sound waves.
Hepatic Cysts Well-defined, thin-walled, and anechoic (black) circular structures.
Cirrhosis Coarse, heterogeneous texture with an irregular, nodular liver surface.
Hemangioma Typically well-circumscribed, hyperechoic masses found within the liver tissue.

Preparation and Procedure Expectations

To obtain the clearest liver ultrasound images, patients are generally advised to fast for at least six to eight hours before the examination. This fasting period is crucial because it ensures the gallbladder is full and reduces the amount of intestinal gas, which can otherwise obstruct the view of the liver.

Also read: How Much Does Face Surgery Cost

During the procedure, the patient lies on their back or their side. The sonographer applies a water-based gel to the abdomen to ensure proper conduction of the sound waves. They will then move the transducer firmly across the upper right abdomen. Patients may be asked to hold their breath periodically to help the sonographer capture images while the liver is in a fixed position.

💡 Note: Avoiding fatty foods the night before the exam can significantly improve the visibility of the liver structures by limiting postprandial gallbladder contraction.

Interpreting Abnormalities

If an ultrasound scan reveals an abnormality, it does not always indicate a grave diagnosis. Many findings, such as simple hepatic cysts, are benign and require no intervention. However, liver ultrasound images that show unusual masses or signs of significant scarring (cirrhosis) may prompt further diagnostic investigations.

Advanced imaging techniques, such as contrast-enhanced ultrasound or subsequent MRI/CT scans, may be requested if the initial findings are inconclusive. These follow-up tests provide higher resolution and dynamic blood flow data, allowing medical professionals to differentiate between benign and malignant liver processes with greater precision.

The Role of Ultrasound in Liver Health Monitoring

For patients with chronic liver conditions, such as Hepatitis B or C, serial imaging is essential. By comparing current liver ultrasound images with previous scans, doctors can monitor the progression of disease or the success of ongoing treatments. This longitudinal approach is vital for the early detection of hepatocellular carcinoma, which is significantly easier to treat when found during the early stages of development.

Furthermore, ultrasound has become a standard tool for evaluating the efficacy of lifestyle changes in patients with Non-Alcoholic Fatty Liver Disease (NAFLD). As patients lose weight or modify their diets, sonographic follow-ups can visually document the reduction of fat accumulation within the liver cells, serving as a powerful motivational tool for the patient and a tangible metric for the physician.

The reliance on non-invasive diagnostics has fundamentally changed clinical practice. Because these scans are relatively inexpensive, widely available, and free from the risks associated with radiation, they remain the gold standard for initial abdominal evaluations. Whether you are undergoing a routine screening or investigating specific symptoms like jaundice or abdominal pain, these high-resolution images remain the most effective bridge between clinical suspicion and accurate diagnosis. By staying informed about how these scans function and what they reveal, patients can take a more active role in their hepatological health management, ensuring that any potential issues are addressed with the appropriate level of care and timely intervention.

Related Terms:

  • normal liver ultrasound images
  • liver ultrasound protocol with images
  • ultrasound scan for liver problems
  • normal liver size in ultrasound
  • Abnormal Liver Ultrasound
  • Tumor On Liver Ultrasound