Rp

Low Lying Cerebellar Tonsils

Low Lying Cerebellar Tonsils

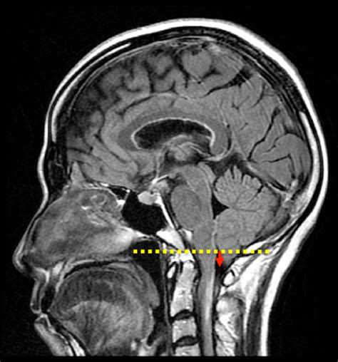
Finding out that you or a loved one has low lying cerebellar tonsils on an MRI report can be a source of significant anxiety. Often discovered incidentally during imaging for unrelated issues like headaches or neck pain, this finding frequently leaves patients wondering what it means for their long-term health. The cerebellar tonsils are the bottom-most parts of the cerebellum, the portion of the brain located at the base of the skull responsible for motor control and balance. When these structures extend below the foramen magnum—the large opening at the base of the skull where the spinal cord connects to the brain—it is referred to as having low lying cerebellar tonsils. While this can be a precursor to conditions like Chiari malformation, it is important to understand that not all instances require medical intervention.

Understanding the Anatomy and Physiology

To grasp the significance of low lying cerebellar tonsils, one must first understand the craniocervical junction. The skull provides a rigid, protective casing for the brain. Under normal circumstances, the cerebellum stays within the cranial cavity, resting just above the foramen magnum. When these tonsils descend, they can potentially crowd the spinal canal, impacting the flow of cerebrospinal fluid (CSF).

CSF is the clear liquid that cushions the brain and spinal cord, providing nutrients and removing waste. When the tonsils are positioned too low, they can obstruct the natural, rhythmic flow of this fluid between the head and the spine. This obstruction is often what leads to the characteristic symptoms associated with symptomatic low lying tonsils.

Symptoms Associated with Low Lying Cerebellar Tonsils

It is crucial to distinguish between an asymptomatic finding and a symptomatic condition. Many individuals have slightly lower cerebellar tonsils and never experience any health issues. However, if the positioning begins to cause pressure or obstructs CSF flow, you may notice several symptoms. These symptoms often worsen with activities that increase intracranial pressure, such as coughing, sneezing, or straining.

  • Occipital Headaches: Intense pain located at the base of the skull, often described as throbbing or pressure-like.
  • Neck Pain: Stiffness or discomfort radiating from the neck into the shoulders.
  • Dizziness and Vertigo: A feeling of unsteadiness, lightheadedness, or spinning.
  • Visual Disturbances: Blurred vision, double vision, or involuntary rapid eye movements (nystagmus).
  • Neurological Weakness: Numbness, tingling, or weakness in the hands and feet.
  • Balance Issues: Difficulties with coordination or walking.

Diagnostic Processes and Imaging

The diagnosis of low lying cerebellar tonsils is almost exclusively made through magnetic resonance imaging (MRI). Because the brain and soft tissues are difficult to visualize on X-rays or CT scans, an MRI of the brain and cervical spine is the gold standard. A radiologist will measure the distance the tonsils extend below the foramen magnum. Typically, a descent of 5 millimeters or more is often used as a clinical threshold for potential Chiari malformation, though this is not a hard-and-fast rule.

Observation Level Clinical Significance
Less than 3mm Generally considered within the normal anatomical variant range.
3mm to 5mm Borderline; requires correlation with clinical symptoms.
Greater than 5mm Often prompts further investigation for symptomatic Chiari malformation.

💡 Note: The measurement provided by a radiologist is only one piece of the puzzle. A neurosurgeon must evaluate these images in the context of the patient's actual physical symptoms rather than relying solely on the distance measurement.

Differentiating from Chiari Malformation

There is often confusion between having “low lying tonsils” and a formal diagnosis of Chiari I Malformation. While they are related, they are not always synonymous. Chiari I Malformation is a specific clinical condition where the structural descent of the tonsils causes tangible neurological symptoms or physical obstruction. Many people have “low-hanging” tonsils that do not fit the criteria for a malformation because the anatomy of their skull provides enough space for the flow of cerebrospinal fluid despite the lower position.

Treatment Approaches

For the majority of patients, if the low lying tonsils are an incidental finding and there are no symptoms, no treatment is required. “Watchful waiting” is the standard protocol. If symptoms are present and are impacting the quality of life, the approach may involve:

  • Conservative Management: Physical therapy to strengthen neck muscles, pain management for headaches, and monitoring.
  • Surgical Intervention: In cases where there is a significant blockage of CSF or progressive neurological decline, a procedure known as a posterior fossa decompression may be recommended. This involves removing a small section of bone at the back of the skull to provide more space and reduce pressure on the tonsils.

💡 Note: Surgical decompression is generally reserved for patients who have demonstrated objective evidence of neurological deficit or significant, persistent symptoms that have failed to respond to conservative treatments.

When to Consult a Specialist

If you have been told you have low lying cerebellar tonsils, you should consult with a neurologist or a neurosurgeon who specializes in craniocervical junction disorders. They can provide a comprehensive neurological examination to determine if your symptoms correlate with the MRI findings. Be prepared to discuss your specific symptoms, how long they have lasted, and whether they fluctuate in intensity during specific physical activities.

Managing the discovery of low lying cerebellar tonsils is a process that relies heavily on clear communication between the patient and their healthcare provider. While the term may sound alarming, it is often a benign anatomical variation that requires nothing more than routine observation. In instances where symptoms do arise, modern medical imaging and surgical techniques provide excellent avenues for relief and long-term health management. Always prioritize a consultation with a qualified medical specialist to interpret your specific MRI findings and avoid jumping to conclusions based on general information found online. By focusing on your actual health experience rather than just the structural measurement, you can ensure that you receive the most appropriate care tailored to your individual needs.

Related Terms:

  • low lying cerebellar tonsils cause
  • low lying cerebellar tonsils radiology
  • low lying cerebellar tonsils meaning
  • low lying cerebellar tonsils vertigo
  • low lying cerebellar tonsils icd10
  • low lying cerebellar tonsils 3mm