Rp

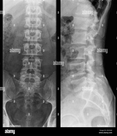
Lumbar Spine Normal X Ray

Lumbar Spine Normal X Ray

Understanding the structure of your lower back is essential when dealing with persistent pain or discomfort. When you visit a healthcare provider for lower back issues, one of the first diagnostic tools they often utilize is a Lumbar Spine Normal X Ray. This imaging technique provides a detailed view of the five vertebrae in your lower back, helping physicians rule out fractures, severe alignment issues, or significant degenerative changes. While an X-ray is considered a foundational diagnostic test, understanding what a "normal" result entails can help demystify the process and better prepare you for your medical consultation.

What Exactly is a Lumbar Spine X-Ray?

A lumbar spine X-ray is a non-invasive medical imaging test that uses a small amount of radiation to capture pictures of the lower back. It is typically the first line of imaging requested for patients presenting with chronic lower back pain, trauma, or suspected scoliosis. The primary purpose of this exam is to visualize the bony structures, including the vertebral bodies, the intervertebral disc spaces, the facet joints, and the sacroiliac joints.

When a radiologist reviews a Lumbar Spine Normal X Ray, they are checking for structural integrity. They are essentially confirming that the bones are aligned correctly, there are no breaks, and there are no glaring signs of tumors or infections affecting the bone tissue. It is important to note that while X-rays are excellent for looking at bones, they are limited in their ability to show soft tissues like nerves, muscles, or herniated discs.

Key Components of a Normal Lumbar Spine X-Ray

To determine if an X-ray is normal, radiologists look for specific markers of health within the lumbar region. A report will generally indicate that the bones are in their proper place and that no acute pathologies are present. Below are the key components identified in a standard, healthy report:

  • Vertebral Alignment: The vertebrae should be stacked in a smooth, gentle curve known as the lumbar lordosis.
  • Disc Spaces: These are the gaps between the vertebrae. In a healthy spine, these spaces should be uniform in height, suggesting that the intervertebral discs are adequately hydrated and intact.
  • Bone Density: The bones should appear white and dense, without signs of thinning (osteopenia) or unusual spots that could indicate disease.
  • Facet Joints: These joints, which connect the vertebrae, should appear smooth with clear boundaries, free from significant arthritic changes.
  • No Fractures or Dislocations: The most crucial aspect of a normal report is the absence of any bony breaks or slippage (spondylolisthesis).
Diagnostic Feature What "Normal" Means
Vertebral Bodies Intact, no compression, no fractures.
Intervertebral Spaces Preserved height, no narrowing.
Spinal Alignment Normal lordotic curve, no lateral curvature (scoliosis).
Soft Tissue No abnormal shadows or calcifications.

⚠️ Note: Even with a perfectly normal X-ray report, you may still experience significant pain. This is because X-rays cannot see soft tissue issues like muscle strains, ligament tears, or nerve impingement.

Why Does My Back Hurt If My X-Ray is Normal?

It is a common source of frustration for patients to hear that their Lumbar Spine Normal X Ray findings are “clear” while they are still in pain. If your scan is normal, it means your structural bones are healthy, which is excellent news. However, your pain may stem from sources that do not appear on a standard X-ray. Common culprits for “invisible” back pain include:

  • Muscle Strains: The most common cause of back pain, usually involving the supportive muscles of the spine.
  • Ligament Sprains: Overstretching of the ligaments that connect your vertebrae.
  • Herniated Discs: While X-rays show the space between bones, they cannot clearly visualize the soft, jelly-like disc material pressing on a nerve.
  • Facet Joint Syndrome: Inflammation of the small joints in the back that might not show up as “arthritis” on a simple X-ray.
  • Nerve Irritation: Issues like sciatica are caused by nerve pressure, which is invisible to X-ray technology.

The Role of Advanced Imaging

If your doctor reviews your Lumbar Spine Normal X Ray and determines that it does not explain your symptoms, they may recommend further testing. Because X-rays are limited, they are often a screening tool rather than a final diagnostic answer for complex cases. If pain persists, the next steps often include:

  • Magnetic Resonance Imaging (MRI): This is the gold standard for viewing soft tissues, including discs, spinal cord, and nerves.
  • Computed Tomography (CT) Scans: These provide a 3D view of the bones, which is more detailed than a standard X-ray if a complex fracture is suspected.
  • Electromyography (EMG): A test used to check the health of the muscles and the nerve cells that control them.

⚠️ Note: Always keep your previous imaging results and reports in a dedicated folder. Having these available for specialists allows them to see the history of your spine and make more informed decisions about further diagnostic testing.

How to Prepare for Your Imaging Appointment

Preparing for a lumbar spine X-ray is straightforward. Since the procedure is non-invasive and relatively quick, there is usually very little you need to do. However, keep the following in mind to ensure the best possible imaging results:

  • Clothing: Wear comfortable, loose-fitting clothing without metal zippers, snaps, or buttons, as metal can block the X-ray view.
  • Inform the Staff: If there is any possibility that you are pregnant, you must inform the technician, as radiation can be harmful to a developing fetus.
  • Prior Injuries: Clearly explain to the technician where you feel the most pain so they can position you in a way that captures the necessary views.

In summary, receiving the results of a Lumbar Spine Normal X Ray is a positive outcome that rules out major bony abnormalities, fractures, and severe structural instability. While it is natural to worry when you are in pain and the scan does not show an obvious cause, this result is a vital piece of the diagnostic puzzle. It allows your healthcare team to narrow down the potential causes of your discomfort, shifting the focus from bone-related issues to soft tissue, muscular, or neurological factors. By working closely with your doctor and, if necessary, moving on to more specialized imaging like an MRI, you can obtain a more comprehensive view of your spine health. Remember that a normal result is not an indicator that your pain is invalid; rather, it is a stepping stone toward finding the correct treatment plan to help you get back to your daily activities pain-free.

Related Terms:

  • lumbar x ray interpretation guidelines
  • x ray lumbar lateral
  • lateral lumbar spine x ray
  • lumbar x ray labeled
  • normal lumbar lateral x ray
  • lumbar spine interpretation