Cleve

Lung Scarring On Ct Scan

Lung Scarring On Ct Scan

Receiving medical imaging results can often feel overwhelming, especially when terms like lung scarring on CT scan appear on your radiology report. Finding evidence of scarring—medically referred to as pulmonary fibrosis or interstitial lung abnormalities—can trigger anxiety, but it is important to remember that these findings are descriptive and require clinical context to be fully understood. A CT scan is a highly sensitive diagnostic tool that provides a detailed cross-sectional view of the lungs, allowing doctors to identify changes in the lung tissue that might not be visible on a standard chest X-ray. Understanding what this scarring means, why it happens, and what steps you should take next is the first step toward managing your respiratory health effectively.

What Exactly is Lung Scarring?

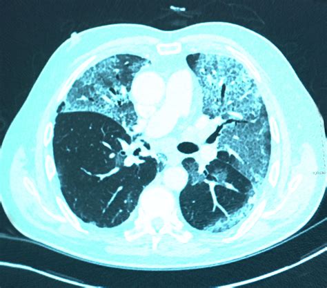
When a radiologist identifies lung scarring on CT scan, they are typically referring to the presence of fibrotic tissue. In a healthy lung, the tissue is delicate, thin, and elastic, allowing it to expand and contract effortlessly with every breath. When injury occurs, the body attempts to repair the tissue; however, in certain conditions, this repair process goes awry, leading to the buildup of excess connective tissue.

This scarred or thickened tissue is less flexible than healthy lung tissue. Over time, as this scarring accumulates, it can make the lungs stiff, making it more difficult for oxygen to pass from the air sacs (alveoli) into the bloodstream. This physiological change is what leads to symptoms such as shortness of breath and a persistent, dry cough.

Common Causes of Pulmonary Scarring

It is a misconception that all lung scarring stems from a single disease. In reality, there is a wide spectrum of potential triggers. To better understand these, it is helpful to look at the following categories of causes:

  • Environmental and Occupational Exposures: Long-term inhalation of hazardous substances like asbestos, silica, coal dust, or certain heavy metals.
  • Autoimmune Disorders: Conditions such as rheumatoid arthritis, scleroderma, or lupus can cause the immune system to mistakenly attack lung tissue, leading to fibrosis.
  • Medications: Certain drugs used to treat heart conditions, cancer, or inflammatory diseases can cause side effects that result in pulmonary toxicity.
  • Infections: Severe respiratory infections, including serious bouts of viral pneumonia, can sometimes leave behind residual scarring.
  • Idiopathic Factors: In many cases, specifically with Idiopathic Pulmonary Fibrosis (IPF), the exact cause remains unknown despite extensive diagnostic testing.

Interpreting Your CT Report

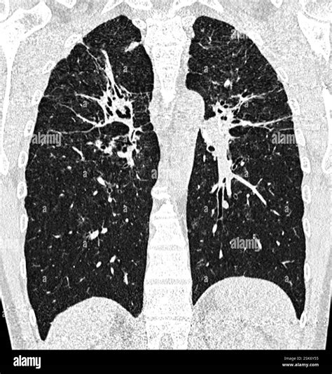
When your doctor discusses lung scarring on CT scan, they are looking at specific patterns that tell a story about the lung’s history. Radiologists often use specific terminology to describe the appearance of these changes. Here is a simplified table of common radiological findings and their general implications:

Radiological Term What It Usually Implies
Reticulation A net-like pattern indicating mild thickening of the lung structure.
Honeycombing Clusters of cystic air spaces; often suggests advanced or established scarring.
Ground-Glass Opacities Hazy areas; these may indicate active inflammation that could be reversible, rather than permanent scar tissue.
Traction Bronchiectasis The pulling open of airways due to the contraction of surrounding scar tissue.

💡 Note: A radiological term does not equal a diagnosis. Your physician must correlate these imaging patterns with your medical history, blood work, and physical examinations before confirming any specific lung condition.

Diagnostic Steps Following the Scan

Once lung scarring on CT scan is detected, the diagnostic journey usually shifts toward identifying the underlying cause and determining the extent of the impact on lung function. Your healthcare provider will likely recommend a series of follow-up actions:

  • Pulmonary Function Tests (PFTs): These breathing tests measure how much air your lungs can hold and how efficiently you transfer oxygen into your blood.
  • Blood Tests: Used to screen for markers of autoimmune or connective tissue diseases that might be driving the scarring process.
  • Bronchoscopy or Biopsy: In some instances, a small sample of lung tissue may be needed to examine the cells under a microscope to provide a definitive diagnosis.
  • Consultation with a Pulmonologist: A specialist in lung diseases is essential for interpreting the nuances of interstitial lung disease and creating a personalized treatment plan.

Managing Lung Health and Living with Scarring

While some lung scarring is irreversible, modern medicine offers several ways to manage the condition, slow the progression, and improve quality of life. The management approach is highly individualized, but often involves a combination of the following:

  • Antifibrotic Medications: Certain drugs have been approved to slow the rate of scarring in specific conditions like Idiopathic Pulmonary Fibrosis.
  • Pulmonary Rehabilitation: A structured program involving exercise training, health education, and breathing techniques to improve physical stamina.
  • Oxygen Therapy: If your oxygen levels drop below a certain threshold during exertion or at rest, supplemental oxygen can significantly reduce breathlessness.
  • Smoking Cessation: Eliminating tobacco smoke is perhaps the most critical step to prevent further damage to already compromised lungs.

💡 Note: Always consult your physician before starting any new supplement or lifestyle change, as patients with compromised lung function may have specific dietary or activity restrictions.

The Importance of Ongoing Monitoring

Seeing lung scarring on CT scan results is often the beginning of a long-term monitoring process. Because lung fibrosis can vary significantly in its progression, your doctor will likely schedule periodic check-ups. These appointments are not just for repeat scans, but to assess your “functional status”—how you are feeling, your ability to perform daily activities, and whether your current treatment is keeping the condition stable. By maintaining a close partnership with your medical team, you can better manage symptoms and ensure that any changes in your condition are addressed promptly.

Taking control of your respiratory health after a diagnostic finding requires patience and clear communication with your medical team. While the presence of scarring is a significant finding that warrants thorough investigation, it does not necessarily mean your condition will progress rapidly. Many individuals live with mild forms of interstitial lung disease for years with minimal impact on their daily lives. By prioritizing your medical follow-ups, engaging in pulmonary rehabilitation, and minimizing exposure to harmful irritants, you can actively participate in your treatment plan. Remember that medical technology continues to evolve, offering new insights and therapeutic options for those navigating lung-related health challenges. Stay proactive, keep a record of your symptoms to discuss at your next appointment, and rely on the guidance of a qualified pulmonologist to help navigate the path forward effectively.

Related Terms:

  • scarring of lungs life expectancy
  • lung scarring symptoms
  • biapical pleural parenchymal scarring
  • does lung scarring mean cancer
  • lung scarring prognosis
  • lung scarring