Rp

Lymph Node Ultrasound

Lymph Node Ultrasound

When a physician feels a bump under your jaw or near your collarbone, the immediate reaction can often be one of anxiety. However, these small, bean-shaped structures—known as lymph nodes—are vital components of your immune system. While most enlarged nodes are simply responding to a common cold or minor infection, sometimes a closer look is required to rule out more serious conditions. This is where a lymph node ultrasound becomes an essential diagnostic tool. It is a non-invasive, painless imaging technique that allows medical professionals to visualize the internal architecture of these nodes with remarkable clarity.

Understanding the Role of Lymph Nodes

Lymph nodes act as filters for the lymphatic system, trapping viruses, bacteria, and other harmful substances before they can spread to the rest of the body. When you have an infection, your lymph nodes may swell as they work harder to produce immune cells. In medical terminology, this is known as lymphadenopathy. While most swelling subsides once the infection clears, persistent enlargement requires further investigation. A lymph node ultrasound provides the necessary detail to differentiate between a reactive node—one simply doing its job—and one that may harbor abnormal cellular growth.

Why Doctors Order a Lymph Node Ultrasound

The decision to perform an ultrasound is rarely arbitrary. It is usually prompted by clinical findings such as nodes that are hard, fixed in place, rapidly growing, or present for an extended period without a clear infectious cause. By utilizing high-frequency sound waves, this procedure helps clinicians evaluate specific features of the lymph nodes that cannot be determined through physical touch alone.

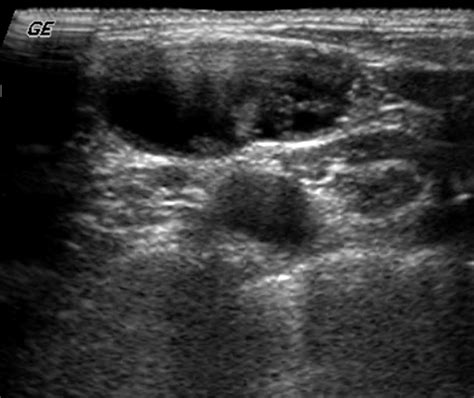
  • Size and Shape: Normal nodes are typically oval, whereas malignant nodes may appear more rounded or spherical.
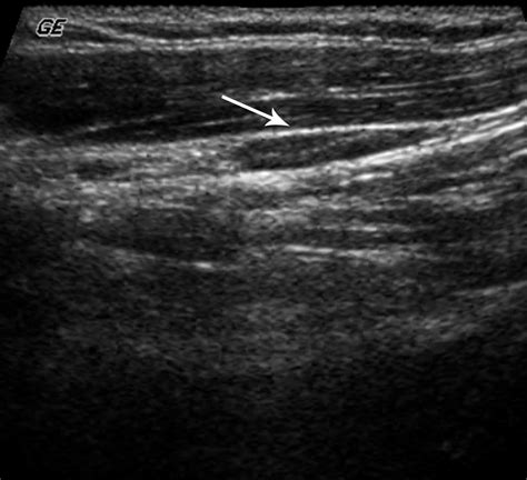
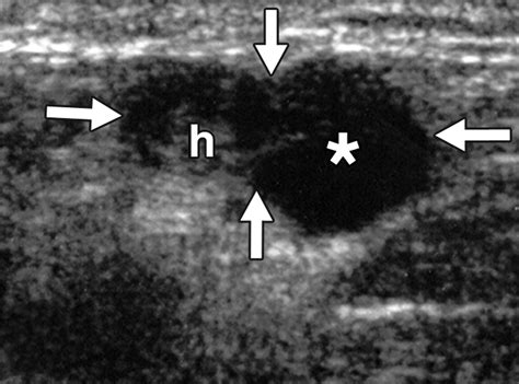
  • Internal Architecture: Healthy nodes have a clear, bright central area called the “fatty hilum.” The absence of this hilum can be a warning sign.
  • Blood Flow Patterns: Using Doppler technology, radiologists can assess how blood flows into the node. Abnormal vascularity is often a key marker for pathology.
  • Border Definition: Clear, regular borders are generally reassuring, while irregular or “matted” borders may warrant biopsy.

The Procedure: What to Expect

One of the primary benefits of a lymph node ultrasound is its simplicity. There is no radiation involved, making it a safe choice for patients of all ages, including children and pregnant women. During the procedure, you will lie down comfortably. The sonographer will apply a clear, water-based gel to the area of concern to ensure optimal contact between the transducer and your skin. As the device glides over the area, images are transmitted to a monitor in real-time. The process is typically quick, usually lasting between 15 and 30 minutes.

💡 Note: You do not need to fast or prepare in any special way for this imaging test; however, wearing loose clothing that allows easy access to the neck or armpit area is highly recommended.

Interpreting Ultrasound Results

The radiologist analyzes the ultrasound images to generate a report for your primary physician. It is important to remember that an ultrasound is not always definitive. While it is excellent at identifying suspicious features, it cannot confirm a diagnosis like lymphoma or metastatic cancer on its own. If the ultrasound shows concerning features, a fine-needle aspiration (FNA) or a core biopsy may be recommended to obtain a tissue sample for laboratory analysis.

Feature Benign (Normal) Appearance Potentially Malignant Appearance
Shape Oval (Kidney-shaped) Round
Hilum Visible, bright, central Absent or displaced
Borders Smooth and distinct Irregular or indistinct
Internal Echo Homogeneous Heterogeneous (Mixed)

Benefits of Lymph Node Ultrasound Over Other Imaging

While CT scans and MRIs are powerful diagnostic tools, the lymph node ultrasound holds specific advantages in clinical settings. Firstly, it offers superior spatial resolution for superficial nodes located near the skin surface. Because it is portable, it can be performed in a doctor’s office without requiring a hospital visit for advanced machinery. Furthermore, the lack of ionizing radiation makes it the gold standard for repetitive monitoring of lymph nodes over time, ensuring that the patient is not exposed to unnecessary risks.

Addressing Patient Anxiety

It is perfectly natural to feel nervous when a medical professional suggests an ultrasound of your lymph nodes. However, viewing the test as a proactive step toward your health is a better approach. Many individuals find that the ultrasound provides the peace of mind they need. If the results are benign, you have effectively ruled out serious concerns. If the results indicate a need for further action, you are moving forward with a clear, evidence-based plan. Knowledge is empowering, and modern diagnostic technology is designed to help you and your medical team make the best possible decisions for your long-term wellness.

⚠️ Note: If you notice a lymph node that has been enlarged for more than three weeks, or if it is accompanied by unexplained night sweats, weight loss, or persistent fever, consult your healthcare provider immediately, regardless of whether you have had a recent ultrasound.

Final Perspectives

Navigating the complexities of lymphatic health can feel overwhelming, but tools like the lymph node ultrasound simplify the diagnostic process significantly. By capturing high-definition images without the need for surgery or radiation, this procedure bridges the gap between a physical exam and a definitive diagnosis. It remains a cornerstone of preventative medicine, helping to distinguish between temporary immune responses and conditions that require urgent medical intervention. By staying informed and working closely with your healthcare providers, you ensure that any changes in your body are addressed with precision and care, ultimately contributing to better health outcomes and a more proactive approach to your medical journey.

Related Terms:

  • lymph node evaluation ultrasound
  • lymph node appearance on ultrasound
  • suspicious lymph node ultrasound
  • lymph node anatomy on ultrasound
  • ultrasound images of lymph nodes
  • lymph node measurement ultrasound