Cleve

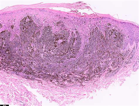
Malignant Melanoma Nodular

Malignant Melanoma Nodular

When it comes to skin cancer, understanding the specific types is crucial for early detection and effective treatment. Among the various forms of skin malignancy, malignant melanoma nodular stands out as one of the most aggressive and rapidly progressing types. Unlike other forms of melanoma that might spread horizontally across the skin’s surface initially, nodular melanoma tends to grow vertically, penetrating deeper into the skin layers much faster. Recognizing its unique appearance and behavior is vital, as timely intervention can significantly alter the prognosis.

What is Malignant Melanoma Nodular?

Malignant melanoma nodular represents a subtype of invasive melanoma characterized by its distinct, dome-shaped appearance. While many melanomas develop from existing moles or appear as flat, spreading lesions, the malignant melanoma nodular variety typically presents as a firm, raised bump that stands out from the surrounding skin. Because it grows vertically into the dermis rather than horizontally, it is often more advanced at the time of diagnosis compared to superficial spreading melanoma.

This type of cancer develops in the melanocytes, the cells responsible for producing melanin, which gives skin its color. In the case of nodular melanoma, these cells undergo mutations that cause them to grow uncontrollably and push downward into deeper tissue layers. This vertical growth phase is exactly why it is considered so dangerous, as it allows the cancer to reach blood vessels and lymph nodes more quickly, increasing the risk of metastasis.

Identifying the Symptoms and Warning Signs

Early detection is the most significant factor in managing malignant melanoma nodular. However, because it often lacks the typical "ABCDE" features (Asymmetry, Border, Color, Diameter, Evolving) seen in other melanomas, it can be easily overlooked or mistaken for a benign growth like a pimple or a harmless cyst.

Key warning signs to monitor include:

  • Rapid Growth: A bump that appears suddenly and grows noticeably in size over a few weeks or months.
  • Firm Texture: The lesion feels firm or solid to the touch, rather than soft or squishy.
  • Symmetry and Uniformity: Unlike other melanomas, these lesions may be symmetrical and have a uniform color, which can lull patients into a false sense of security.
  • Color Variations: While often dark (blue-black or red), some nodular melanomas can be skin-colored or pink, making them even harder to spot.
  • Bleeding or Ulceration: A lesion that crusts, scabs, or bleeds without any obvious injury.

⚠️ Note: If you notice any skin lesion that is new, rapidly changing, or persistent, seek a professional dermatological evaluation immediately rather than waiting to see if it resolves on its own.

Comparison of Melanoma Types

To better understand how malignant melanoma nodular differs from other forms of skin cancer, it is helpful to look at their growth patterns and clinical presentations.

Type of Melanoma Primary Growth Pattern Clinical Presentation
Superficial Spreading Horizontal (radial) Flat, irregular borders, multiple colors
Malignant Melanoma Nodular Vertical Raised, firm, dome-shaped
Lentigo Maligna Horizontal (long-term) Flat, slow-growing, often on sun-damaged skin
Acral Lentiginous Horizontal/Vertical Found on palms, soles, or under nails

Risk Factors and Preventive Measures

Understanding the risk factors associated with malignant melanoma nodular can help individuals take proactive steps in skin health management. While genetics play a role, ultraviolet (UV) radiation remains the primary environmental culprit. Chronic exposure to sunlight and the use of indoor tanning beds significantly increase the risk of developing all forms of melanoma, including the nodular variant.

Factors that increase vulnerability include:

  • History of Sunburns: Especially blistering sunburns during childhood or adolescence.
  • Fair Skin Type: Individuals with lighter skin, light-colored eyes, and hair that burns easily.
  • Personal or Family History: A previous diagnosis of melanoma or having close family members who have had the disease.
  • Weakened Immune System: Certain medical conditions or immunosuppressive medications can increase risk.
  • High Mole Count: Having a large number of atypical or common moles.

To reduce risk, it is essential to practice rigorous sun protection. This includes wearing broad-spectrum sunscreen (SPF 30 or higher), seeking shade during peak UV hours (typically 10 AM to 4 PM), and wearing protective clothing, such as wide-brimmed hats and UV-blocking sunglasses.

Diagnosis and Staging Procedures

When a physician suspects malignant melanoma nodular, they will perform a physical examination followed by a biopsy. A biopsy is the only definitive way to diagnose skin cancer. During this procedure, the entire lesion or a representative portion is removed and sent to a pathologist for microscopic analysis.

Once a diagnosis is confirmed, staging is performed to determine the extent of the disease. Staging assesses how deep the tumor has grown (Breslow thickness) and whether the cancer has spread to local lymph nodes or distant organs. Imaging tests, such as X-rays, CT scans, or PET scans, may be utilized to rule out systemic involvement.

💡 Note: Early staging (Breslow thickness less than 1mm) is associated with a significantly higher five-year survival rate compared to later stages where the cancer has entered the lymphatic system.

Current Treatment Pathways

The standard treatment for malignant melanoma nodular centers on surgical excision. The objective is to remove the tumor along with a safety margin of healthy tissue to ensure that no microscopic cancer cells remain. In cases where the melanoma has penetrated deeper, a sentinel lymph node biopsy may be performed to check if the cancer has spread to the nearest drainage nodes.

For more advanced cases or where the risk of recurrence is high, additional therapies may be recommended:

  • Immunotherapy: Medications that boost the body's immune system to recognize and attack cancer cells.
  • Targeted Therapy: Drugs designed to interfere with specific genetic mutations (such as the BRAF mutation) that drive tumor growth.
  • Radiation Therapy: Used primarily to manage symptoms or treat areas where cancer has spread, rather than as a primary treatment.

The journey toward recovery involves not just clinical treatment but also long-term follow-up. Patients diagnosed with this condition require regular skin exams and potentially imaging surveillance for several years to detect any signs of recurrence early. Staying consistent with follow-up appointments is a non-negotiable part of the recovery process.

Navigating a diagnosis of malignant melanoma nodular is a serious undertaking that requires prompt medical attention and a proactive approach to skin surveillance. Because this form of cancer is characterized by its aggressive vertical growth, the window for effective treatment is smaller than in other, slower-growing skin cancers. By staying vigilant for new, raised, or rapidly changing bumps on the skin and seeking professional advice immediately upon detection, patients can significantly improve their odds. Ultimately, the integration of regular professional skin checks, strict sun protection, and awareness of the unique signs of nodular melanoma remains the most powerful defense against this disease, ensuring that any potential issues are addressed at their earliest and most manageable stage.

Related Terms:

  • is nodular melanoma dangerous
  • treatment of nodular melanoma
  • stage 1 nodular melanoma pictures
  • nodular malignant melanoma survival rates
  • nodular melanoma early stages
  • nodular melanoma pictures and symptoms