Cleve

Marginal Cord Placement

Marginal Cord Placement

During a routine prenatal ultrasound, you might encounter medical terminology that sounds unfamiliar or alarming. One such term is marginal cord placement, a variation in how the umbilical cord attaches to the placenta. While hearing that your pregnancy has a variation from the "typical" anatomy can cause immediate concern, it is essential to understand that this condition is relatively common and, in the vast majority of cases, does not pose a significant threat to either the mother or the developing baby. By understanding what this placement means, how it is monitored, and why it happens, you can approach your prenatal care with confidence and clarity.

What is Marginal Cord Placement?

To understand marginal cord placement (often referred to as a battledore placenta), it helps to first understand the standard anatomy. In a typical pregnancy, the umbilical cord attaches to the center of the placenta. This central attachment allows for the most efficient distribution of oxygen and nutrient-rich blood from the mother to the fetus.

With marginal cord placement, the umbilical cord attaches to the very edge or periphery of the placenta rather than the center. Imagine the placenta as a circular disc; while the ideal attachment is dead-center, a marginal insertion occurs when that attachment point is less than 2 centimeters from the edge of the placental membrane.

While this might sound like a structural defect, the placenta is remarkably adaptable. In most instances, the body compensates for this off-center attachment, and the pregnancy progresses without any complications. However, because the blood vessel distribution may differ slightly from a central insertion, doctors often take extra precautions to ensure that the baby is receiving adequate nourishment throughout all three trimesters.

How is Marginal Cord Placement Diagnosed?

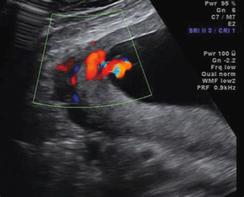
The most common way to identify marginal cord placement is through routine obstetric ultrasonography. During your mid-pregnancy anomaly scan—typically performed between 18 and 22 weeks—a sonographer will examine the placenta to ensure it is developing healthily. They will look specifically at the insertion point of the umbilical cord to determine whether it is central, marginal, or velamentous (where the cord inserts into the membranes rather than the placenta itself).

Because the condition is usually asymptomatic for the mother, you would not know it is present without this imaging. If your provider identifies a marginal insertion, they may simply document it in your chart and keep a closer eye on fetal growth during your subsequent visits.

⚠️ Note: If your ultrasound report mentions marginal cord placement, do not panic. It is a frequent finding during routine screenings and does not automatically indicate that your pregnancy is high-risk.

Potential Risks and Clinical Considerations

While most pregnancies with marginal cord placement result in healthy outcomes, medical professionals monitor these cases because there is a statistical association with certain pregnancy complications. The primary concern is that a cord attached to the edge might not be as efficient at transporting nutrients as one attached to the center.

Some of the risks that obstetricians look for include:

  • Intrauterine Growth Restriction (IUGR): If the placenta cannot deliver enough oxygen or nutrients, the baby might grow slower than expected.
  • Preterm Labor: Some studies suggest a slight increase in the risk of delivering before 37 weeks.
  • Low Birth Weight: Related to IUGR, the baby may be smaller than average at birth.
  • Increased Need for Induction: If the placenta shows signs of fatigue toward the end of the pregnancy, your doctor may suggest delivering slightly earlier than your due date.

The following table summarizes the differences between types of cord insertions:

Type of Insertion Description Clinical Significance
Central Inserts into the middle of the placenta. Ideal; optimal blood flow.
Marginal Inserts within 2cm of the edge. Generally safe; requires monitoring.
Velamentous Inserts into the membranes. Higher risk; requires close observation.

Monitoring and Management

If you are diagnosed with marginal cord placement, your prenatal care plan may be adjusted slightly to prioritize the health of your baby. Your healthcare provider will likely focus on serial growth scans to ensure the baby is meeting development milestones.

These management steps often include:

  • Increased Ultrasound Frequency: Your doctor might schedule growth scans in the third trimester (usually around 28, 32, and 36 weeks) to monitor the baby’s weight and amniotic fluid levels.
  • Doppler Studies: A specific type of ultrasound that measures blood flow through the umbilical cord to ensure the placenta is functioning correctly.
  • Standard Fetal Kick Counts: As with any pregnancy, you will be encouraged to track your baby’s movements daily, as this is the best real-time indicator of fetal well-being.

💡 Note: Always communicate changes in your baby's movement patterns to your healthcare team, regardless of your cord insertion type.

Is Delivery Different with Marginal Cord Placement?

Many expectant parents worry that marginal cord placement will necessitate a C-section. In most cases, this is not true. If the baby is growing well and your health remains stable, you can typically plan for a vaginal delivery. The cord insertion itself does not inherently prevent you from having the birth experience you desire.

However, because the umbilical cord is attached to the edge of the placenta, there is a very small, theoretical risk that the cord could be more susceptible to traction (tugging) during the final stages of labor. Because of this, your medical team may be slightly more cautious during the pushing phase, but this is standard clinical vigilance rather than a sign of an impending emergency.

If the growth scans indicate that the baby is struggling or the placenta is not functioning at peak capacity, your doctor may recommend a medically indicated induction or a Cesarean section for the safety of the baby. Always discuss your specific birth plan with your OB-GYN or midwife to understand how this finding might influence your delivery options.

Understanding the Prognosis

The vast majority of babies born with marginal cord placement are perfectly healthy. The human body is incredibly resilient, and in many cases, the placenta functions perfectly well despite the variation in anatomy. The key is recognizing that this condition is a finding to be managed rather than a medical emergency to be cured.

By staying informed and attending all your scheduled prenatal appointments, you provide your medical team with the best opportunity to monitor your progress. If you find yourself feeling anxious, remember that the detection of this variation is actually a testament to the high quality of modern prenatal care. Being aware of the insertion allows doctors to be proactive, ensuring that if any growth issues do arise, they can be addressed immediately and effectively.

Ultimately, while marginal cord placement warrants extra attention during your pregnancy journey, it does not define the outcome of your birth. Focusing on a balanced diet, consistent prenatal care, and open communication with your healthcare provider will help you navigate this phase safely. As you approach your due date, focus on the excitement of meeting your baby, knowing that your medical team is keeping a watchful eye on every detail to ensure a healthy delivery for both of you.

Related Terms:

  • marginal cord insertion vs normal
  • marginal cord insertion ultrasound
  • what causes marginal cord insertion
  • marginal umbilical cord
  • marginal cord insertion picture
  • marginal cord definition