Cleve

Mass Anterior Mediastinum

Mass Anterior Mediastinum

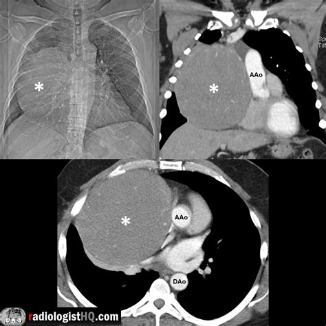
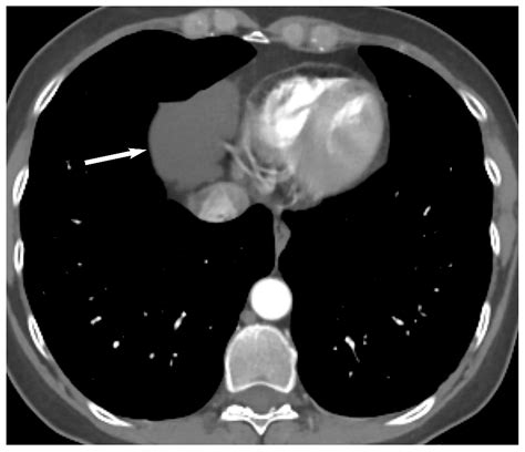
The discovery of a Mass Anterior Mediastinum—a growth located in the front compartment of the chest cavity—can be a daunting experience for any patient. The anterior mediastinum is a critical anatomical space bordered by the sternum in the front, the heart and great vessels in the back, and the lungs on the sides. Because this area houses essential structures such as the thymus gland, lymph nodes, and parts of the thyroid, any abnormal growth requires prompt clinical evaluation to determine its nature, whether benign or malignant.

Understanding the Anterior Mediastinal Space

To grasp the significance of a Mass Anterior Mediastinum, one must first understand its anatomical context. The mediastinum is divided into three sections: anterior, middle, and posterior. The anterior division, also known as the prevascular space, is the most common site for various tumors and cysts. Because this space is relatively small, even a slowly growing mass can quickly compress adjacent organs, leading to noticeable symptoms.

Clinicians often utilize the “Four Ts” mnemonic to categorize the most common differential diagnoses for a mass in this location. These include:

  • Thymoma: The most frequent tumor arising from the thymus gland.
  • Teratoma: Germ cell tumors that can contain various tissue types.
  • Thyroid masses: Such as substernal goiters or ectopic thyroid tissue.
  • Terrible Lymphoma: Malignant growths involving the lymphatic system.

Diagnostic Approaches and Imaging

When a patient presents with symptoms such as persistent cough, chest pain, or difficulty breathing, medical professionals will initiate a diagnostic journey to confirm the presence of a Mass Anterior Mediastinum. Initial physical examinations are often followed by advanced imaging techniques, which are crucial for mapping the size, shape, and relationship of the mass to vital structures.

The following table outlines the diagnostic tools commonly employed during the evaluation process:

Diagnostic Tool Primary Purpose
Chest X-ray Initial screening to identify abnormal shadows or widening of the mediastinum.
CT Scan (Contrast-enhanced) The gold standard for determining the exact location and extent of the mass.
MRI Useful for evaluating soft tissue invasion, particularly near the heart or spinal cord.
PET Scan Determines the metabolic activity of the mass, helping to distinguish between benign and malignant tissue.
Biopsy Definitive tissue diagnosis via needle or surgical procedure.

⚠️ Note: Diagnostic biopsies are not always performed for every anterior mediastinal mass. If imaging suggests a high probability of a resectable tumor (like a thymoma), surgeons may proceed directly to surgical removal to avoid potential seeding of malignant cells.

Common Clinical Symptoms

Many patients with a Mass Anterior Mediastinum may remain asymptomatic, especially if the tumor is discovered incidentally during a routine chest X-ray. However, as the mass increases in size, it can exert pressure on surrounding structures, leading to a condition known as mass effect. Common indicators include:

  • Dyspnea: Shortness of breath caused by lung compression.
  • Superior Vena Cava (SVC) Syndrome: Swelling of the face, neck, and upper chest due to venous obstruction.
  • Dysphagia: Difficulty swallowing if the esophagus is compressed.
  • Myasthenia Gravis: Specifically associated with thymomas, characterized by fluctuating muscle weakness.

Treatment Modalities

Treatment for a Mass Anterior Mediastinum is highly individualized, depending on the histological type of the growth, its stage, and the overall health of the patient. The therapeutic strategy is often determined by a multidisciplinary team including thoracic surgeons, oncologists, and radiologists.

Surgery remains the primary treatment for most localized tumors, particularly thymomas and certain germ cell tumors. The goal is complete resection, which provides the best long-term outcome. In recent years, minimally invasive techniques such as Video-Assisted Thoracoscopic Surgery (VATS) and Robotic-Assisted Thoracic Surgery (RATS) have become standard for smaller masses, offering shorter recovery times and less postoperative pain.

For masses that are deemed unresectable or systemic, Chemotherapy and Radiation Therapy are employed. Lymphomas, for instance, are highly sensitive to these treatments and often serve as the first line of defense rather than surgery. Furthermore, if the mass is a metastatic growth, systemic therapy is necessary to manage the spread of the disease.

💡 Note: Always consult with a specialized thoracic oncologist to discuss the risks and benefits of surgical intervention versus nonsurgical management based on your specific biopsy results.

Living with the Diagnosis

Receiving a diagnosis related to a Mass Anterior Mediastinum requires patience and a proactive approach to healthcare. Beyond the clinical treatments, emotional well-being is vital. Engaging with support groups or counseling can help manage the anxiety associated with tumor diagnosis. Furthermore, patients are encouraged to maintain a healthy lifestyle, avoiding smoking and environmental pollutants that can further complicate respiratory health while undergoing treatment.

Regular follow-ups are mandatory, even after successful treatment. Monitoring for recurrence through serial imaging is a standard protocol for patients who have had a primary thoracic tumor removed. By adhering to the recommended surveillance schedule, patients and their medical teams can detect any potential issues early, ensuring the highest possible quality of life.

Navigating the complexities of a mediastinal condition requires a clear understanding of the anatomical risks and the diagnostic paths available. While the term “mass” can cause significant alarm, advancements in thoracic imaging and surgical techniques have greatly improved the prognosis for many individuals. Early identification through routine check-ups, combined with an accurate histological diagnosis, remains the most effective strategy for managing these growths. By fostering open communication with healthcare providers and adhering to a structured treatment and surveillance plan, patients can navigate these medical challenges with confidence. Focused care and timely medical interventions are the cornerstones of ensuring positive long-term outcomes and maintaining health in the face of such a diagnosis.

Related Terms:

  • anterior mediastinal mass surgery
  • anterior mediastinal mass causes
  • 4ts anterior mediastinum
  • anterior mediastinal mass removal
  • anterior mediastinal soft tissue mass
  • small anterior mediastinal nodule