Cleve

Mass In Stomach

Mass In Stomach

Discovering a mass in stomach area can be a deeply unsettling experience that triggers immediate concern and curiosity. While the term "mass" is a broad medical description used to identify a growth, lump, or swelling within the abdominal cavity, it does not automatically equate to a malignant diagnosis. Because the abdomen houses numerous vital organs—including the liver, pancreas, intestines, and stomach—a physical sensation of fullness or a visible protrusion can stem from a wide array of physiological or pathological conditions. Understanding how to interpret these signs, when to seek professional medical advice, and what diagnostic pathways exist is essential for anyone experiencing unexplained changes in their physical health.

Understanding the Nature of an Abdominal Mass

When a patient reports a mass in stomach, physicians first differentiate between a superficial lump, such as a hernia or lipoma in the abdominal wall, and a deep-seated mass originating from an internal organ. Anatomical variations, such as pregnancy, enlarged organs due to infection, or simple digestive issues, are frequently the culprit. However, to ensure safety, medical professionals evaluate the texture, location, and mobility of the mass to determine the urgency of further testing.

The causes of an abdominal mass are highly diverse, ranging from benign cysts to more serious proliferative disorders. Some of the most common factors include:

Also read: Face Works Plastic Surgery & Med Spa
  • Digestive Issues: Severe constipation or fecal impaction can create a hard, palpable mass in the lower abdomen that mimics the feeling of a growth.
  • Organ Enlargement: Conditions like hepatomegaly (enlarged liver) or splenomegaly (enlarged spleen) can cause fullness in the upper abdominal quadrants.
  • Hernias: An umbilical or incisional hernia occurs when tissue pushes through a weak spot in the abdominal muscles.
  • Cysts and Fibroids: Ovarian cysts or uterine fibroids in women often manifest as lower abdominal masses.
  • Inflammatory Conditions: Abscesses resulting from diverticulitis or appendicitis can form localized, painful masses.
  • Neoplasms: While less common than benign causes, tumors (both benign and malignant) within the gastrointestinal tract or other abdominal organs can present as a solid mass.

Common Clinical Presentations and Diagnostic Approaches

The clinical presentation of a mass in stomach area varies significantly depending on the underlying cause. Some individuals may feel a dull, constant ache, while others may experience a visible lump that changes size based on body position. It is critical to pay attention to "red flag" symptoms such as unexplained weight loss, blood in the stool, persistent vomiting, or sudden, excruciating pain.

Medical providers utilize a systematic approach to diagnose these findings. The following table summarizes the typical diagnostic tools utilized during a clinical investigation:

Diagnostic Tool Purpose of the Procedure
Physical Examination Palpation to determine size, tenderness, and texture.
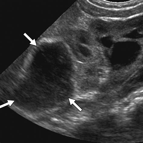
Ultrasound Non-invasive imaging to view soft tissues and identify fluid-filled cysts.
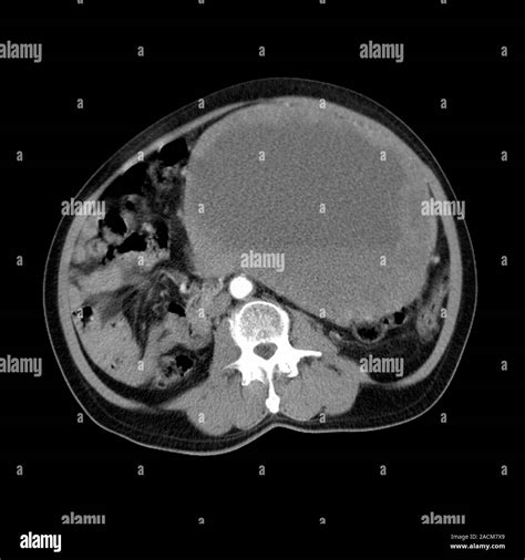
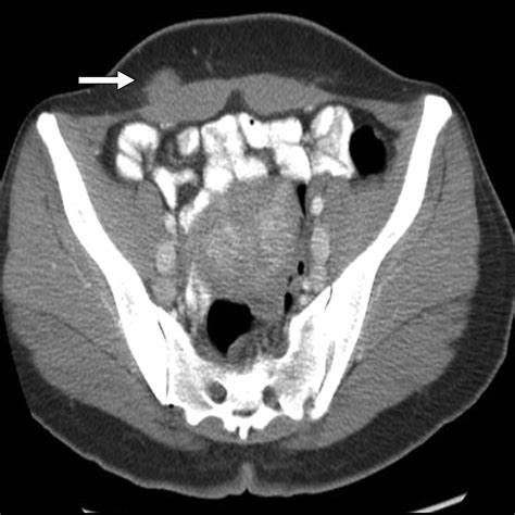
CT Scan High-resolution cross-sectional images to pinpoint the exact location and nature of the mass.
Blood Tests Check for markers of infection, inflammation, or organ dysfunction.
Endoscopy/Colonoscopy Visual examination of the interior of the gastrointestinal tract.

⚠️ Note: If you notice a sudden increase in the size of a mass, severe abdominal pain, or fever, seek emergency medical care immediately as these may indicate complications such as an abscess or rupture.

When to Seek Professional Medical Help

It is human nature to wait and see if a symptom resolves on its own; however, a mass in stomach should never be ignored. Even if the mass is painless, it requires professional evaluation to rule out conditions that could progress if left untreated. Early detection is the gold standard for achieving positive health outcomes, regardless of the underlying diagnosis.

You should prioritize a consultation with a healthcare provider if you experience any of the following:

  • A persistent, hard, or fixed lump in the abdomen.
  • Unexplained changes in bowel habits, such as chronic diarrhea or constipation.
  • Persistent nausea or difficulty swallowing.
  • Unintentional weight loss or persistent fatigue.
  • Pain that radiates to the back or is associated with specific meals.

The Importance of Professional Imaging and Pathology

Because the abdomen contains a dense arrangement of structures, relying on a physical "self-exam" is rarely sufficient. A doctor will typically correlate physical findings with diagnostic imaging. For instance, an ultrasound might distinguish between a solid tumor and a fluid-filled cyst, while a CT scan provides the necessary detail to assess whether the mass in stomach involves surrounding blood vessels or lymph nodes. In some cases, a biopsy—the removal of a small tissue sample—is the only definitive way to characterize the cellular nature of the mass.

💡 Note: Do not attempt to press, massage, or manipulate the mass, as this can cause discomfort or potentially rupture a cyst or abscess if present.

Living with Uncertainty and Finding Clarity

Navigating health anxiety is a natural response when faced with the unknown. While the word "mass" is alarming, the reality is that the vast majority of abdominal findings are benign and treatable. Modern medicine offers highly effective interventions, ranging from lifestyle modifications and medications for digestive health to minimally invasive surgical procedures for removing cysts, hernias, or localized growths. The goal of the medical process is to provide you with a clear diagnosis, allowing for a targeted and effective treatment plan.

Maintaining a symptom log can be an incredibly helpful tool when speaking with your doctor. Note the time of day the mass seems most prominent, any specific foods that trigger discomfort, and whether there are associated changes in your energy or digestion. Providing this data allows your medical team to build a comprehensive picture of your health, streamlining the diagnostic process and leading to faster resolution of your concerns.

Taking control of your health begins with proactive communication. If you have identified a mass in stomach area, schedule an appointment with your primary care physician or a gastroenterologist. They possess the clinical tools and expertise necessary to evaluate the situation thoroughly. By transitioning from uncertainty to informed action, you ensure that you are prioritizing your long-term well-being and obtaining the peace of mind that comes with a professional diagnosis and a clear path forward.

Related Terms:

  • mass in stomach cancer
  • large abdominal mass in women
  • mass in stomach symptoms
  • mass in stomach removal
  • types of abdominal masses
  • cancerous mass in stomach