Cleve

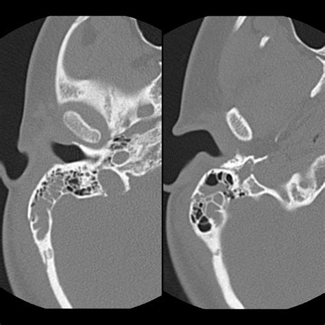
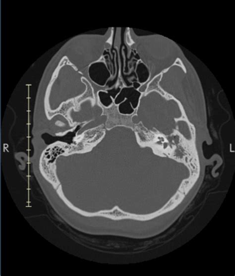
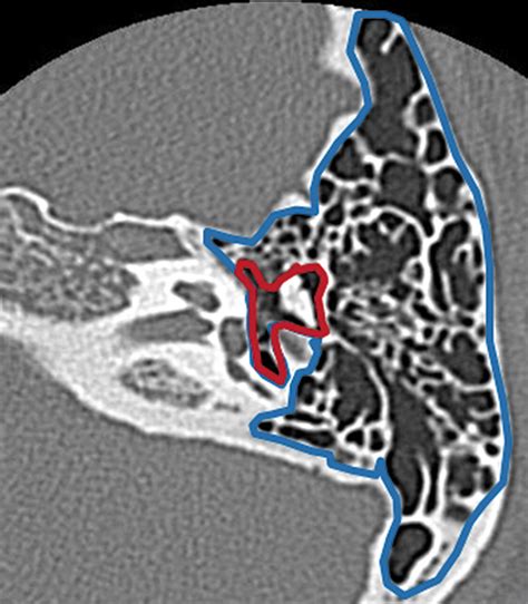
Mastoid Air Cells

Mastoid Air Cells

The human ear is a marvel of biological engineering, consisting of complex structures that do far more than just capture sound waves. Tucked away behind the ear, within the temporal bone of the skull, lies a specialized area known as the mastoid process. Within this bony projection, you will find a honeycomb-like network of hollow cavities called mastoid air cells. While they are often overlooked until a medical issue arises, these structures play a crucial role in maintaining ear health, pressure regulation, and acting as a buffer system for the delicate tissues of the middle ear.

Anatomical Structure and Function

The mastoid air cells are not uniform in size or number; they vary significantly from person to person. These air-filled spaces are lined with a mucous membrane, similar to the lining of the middle ear and the Eustachian tube. They are interconnected, forming a complex air-filled system that communicates directly with the mastoid antrum, which in turn connects to the middle ear cavity.

The primary function of these air cells is still a subject of scientific study, but they are widely believed to serve several critical purposes:

  • Pressure Equalization: They act as a reservoir for air, helping to equalize pressure changes within the middle ear, especially during rapid altitude changes.
  • Shock Absorption: By creating a sponge-like, porous structure, they may provide a degree of protection to the inner ear structures from external physical trauma.
  • Mucus Drainage: They contribute to the overall surface area that produces and manages mucous secretions, which help clear debris and pathogens from the ear system.

Understanding the Development of Mastoid Air Cells

The development of mastoid air cells is a fascinating process known as pneumatization. At birth, the mastoid process is not yet developed, and the air cells are not present. Instead, the area is filled with bone marrow. As a child grows, the middle ear cavity begins to grow backward, invading the mastoid bone and replacing the marrow with air-filled spaces.

This process usually continues throughout childhood and into early adolescence. The extent of pneumatization—or how much of the bone becomes filled with these cells—can vary greatly between individuals. Genetic factors, as well as early childhood ear infections, can significantly influence the degree of this development.

⚠️ Note: If a child experiences frequent or severe middle ear infections (otitis media) during the critical years of bone development, it can impair the healthy growth of mastoid air cells, sometimes leading to a condition called a sclerotic or poorly pneumatized mastoid.

Diagnostic Imaging and Clinical Significance

Because the mastoid air cells are deeply embedded within the skull, they cannot be seen through a standard physical ear examination. Instead, doctors rely on advanced imaging techniques to assess their health and structure. These imaging tools are essential for diagnosing conditions like chronic ear infections, mastoiditis, or detecting anatomical abnormalities.

Imaging Method Clinical Application
Computed Tomography (CT) Scan The gold standard for visualizing the bony structure and identifying fluid or infection in the air cells.
Magnetic Resonance Imaging (MRI) Useful for examining soft tissue structures, identifying inflammation, or ruling out complications like intracranial abscesses.
X-ray (Mastoid Views) Older method, less common today, used to check for general mastoid health or gross abnormalities.

Common Conditions Affecting the Mastoid

When the mastoid air cells become inflamed or infected, it is referred to as mastoiditis. This often occurs when a middle ear infection spreads into the surrounding mastoid bone. Because these air cells are interconnected, bacteria can easily travel from the middle ear into the mastoid, turning a contained infection into a more serious, systemic concern.

Symptoms of mastoid-related issues may include:

  • Persistent, throbbing ear pain behind the ear.
  • Redness, swelling, and tenderness in the mastoid area (behind the ear).
  • Fever and general malaise.
  • Discharge from the ear.
  • Hearing loss related to the obstruction of the ear canal or damage to middle ear structures.

If left untreated, mastoiditis can lead to severe complications, including the spread of infection to the brain, meningitis, or permanent hearing loss. Prompt medical intervention, usually involving intravenous antibiotics or, in severe cases, surgical procedures like a mastoidectomy to drain infected fluid, is vital.

Protecting Your Ear Health

Maintaining the health of your mastoid air cells is largely synonymous with maintaining overall ear health. Preventing middle ear infections is the most effective way to ensure the mastoid remains clear and functional. While you cannot influence how your air cells developed during childhood, you can certainly protect the delicate equilibrium of your ear system in adulthood.

Simple strategies to keep your ears in top condition include:

  • Avoid smoking: Smoking damages the cilia and lining of the Eustachian tube, making it difficult for the ear to clear mucus and pressure properly.
  • Manage allergies: Chronic congestion can lead to Eustachian tube dysfunction, which affects the entire air-pressure system of the ear.
  • Treat infections promptly: Never ignore the signs of a middle ear infection. Getting timely treatment prevents bacteria from migrating into the mastoid.
  • Wear ear protection: Loud noises and barotrauma can impact inner ear structures; protecting your hearing helps maintain the overall integrity of the ear's anatomy.

💡 Note: If you experience persistent pressure, fluid drainage, or recurring ear pain, seek advice from an otolaryngologist (ENT specialist) to evaluate the condition of your middle ear and mastoid system.

The mastoid air cells serve as a quiet, essential support system for the middle ear. By understanding their function, their developmental process, and the potential risks associated with infections, individuals can better appreciate the necessity of ear health. While they remain hidden behind the temporal bone, their role in pressure regulation and overall ear hygiene is fundamental. When problems do arise, medical imaging and modern treatments are highly effective at managing these structures, ensuring that hearing and ear balance are preserved. Prioritizing ear care today is the best approach to ensuring these complex anatomical structures continue to function effectively throughout your life.

Related Terms:

  • mastoid air cells anatomy
  • mastoid sinus
  • mastoid air cells pneumatized meaning
  • mastoid air cells mri
  • chronic mastoiditis
  • mastoid air cell disease