Rp

Medial Pterygoid Plate

Medial Pterygoid Plate

The medial pterygoid plate is a fundamental anatomical feature of the sphenoid bone, serving as a critical landmark in craniofacial anatomy. Understanding its structure, location, and functional significance is essential for dental professionals, oral and maxillofacial surgeons, and researchers studying skull development. Located in the base of the skull, this thin, bony projection extends inferiorly from the junction of the body and the greater wing of the sphenoid bone, playing a pivotal role in the mechanics of jaw movement and the structural integrity of the pterygoid process.

Anatomy of the Medial Pterygoid Plate

The medial pterygoid plate is one of two bony processes that form the pterygoid process of the sphenoid bone, the other being the lateral pterygoid plate. Together, these plates delineate a distinct fossa known as the pterygoid fossa. Structurally, the medial plate is narrower and longer than its lateral counterpart and exhibits unique anatomical characteristics that differentiate it from other bony structures in the skull base.

Key anatomical features include:

  • Pterygoid Hamulus: At the inferior extremity of the plate, there is a curved, hook-like bony process known as the hamulus. This serves as a vital attachment point for the tensor veli palatini muscle, which is involved in swallowing and ear pressure regulation.
  • Posterior Border: The posterior margin of the plate is free and provides attachment for the pharyngobasilar fascia, which attaches the pharynx to the base of the skull.
  • Relationship with the Pharyngeal Tubercle: The medial plate sits in close proximity to the pharyngeal tubercle, highlighting its role in the complex pharyngeal architecture.

Functional Significance and Muscle Attachments

Beyond its structural role, the medial pterygoid plate is a hub for soft tissue attachments that dictate oral and pharyngeal function. The muscles that rely on this bone for support are instrumental in speech, swallowing, and proper mandibular movement. By providing a fixed anchor point, the plate allows these muscles to exert force efficiently during complex physiological activities.

The primary structures associated with this region include:

  • Tensor Veli Palatini Muscle: This muscle wraps around the hamulus of the medial pterygoid plate. Its contraction tenses the soft palate and opens the Eustachian tube, allowing for pressure equalization in the middle ear.
  • Superior Pharyngeal Constrictor: This muscle originates partially from the lower part of the medial pterygoid plate and the hamulus, playing a key role in the process of swallowing (deglutition).
  • Pterygomandibular Raphe: A fibrous band that attaches to the hamulus, acting as a bridge between the buccinator muscle and the superior pharyngeal constrictor muscle.

Clinical Relevance in Surgery and Imaging

For clinicians, the medial pterygoid plate is a vital landmark for surgical procedures involving the skull base, sinus surgery, and dental implantology. Its location is often used to orient surgeons during minimally invasive endoscopic procedures, where the hamulus serves as a tactile marker for identifying critical neurovascular structures.

The table below summarizes the structural relationships and associated functions of this region:

Anatomical Feature Primary Function/Attachment Clinical Relevance
Pterygoid Hamulus Tensor Veli Palatini Eustachian tube dysfunction diagnosis
Posterior Margin Pharyngobasilar Fascia Pharyngeal anatomy and cancer staging
Pterygoid Fossa Medial Pterygoid Muscle Mandibular movement disorders

⚠️ Note: When performing endoscopic surgery in the pterygopalatine fossa, exercise caution near the medial pterygoid plate to avoid injury to the internal maxillary artery and the V2 branch of the trigeminal nerve.

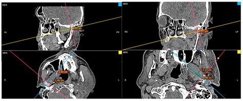
Radiological Identification

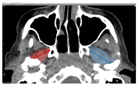
In modern medicine, identifying the medial pterygoid plate through imaging—such as Computed Tomography (CT) or Cone Beam CT (CBCT)—is essential for diagnosing anatomical variations or pathologies. Because the bone is relatively thin, high-resolution imaging is required to visualize it clearly, especially when assessing for fractures or developmental anomalies of the skull base.

Radiologists look for the following in imaging reports:

  • Symmetry: Assessing both plates for symmetry can help identify potential developmental issues like hemifacial microsomia.
  • Fracture Patterns: In cases of blunt trauma to the face, the pterygoid plates are often involved, and their displacement can indicate the severity of midface fractures (Le Fort classification).
  • Neoplastic Involvement: Tumors arising from the nasopharynx often involve the medial pterygoid plate, leading to bone erosion that is highly visible on imaging studies.

💡 Note: Use multiplanar reconstruction (MPR) in CBCT software to accurately view the coronal and axial cross-sections of the pterygoid process for better diagnostic precision.

Surgical Approaches Involving the Region

Surgeons frequently utilize the medial pterygoid plate as a reference point in transnasal endoscopic approaches. By identifying the medial plate, a surgeon can navigate safely toward the sphenoid sinus and the surrounding deep-seated structures. This is particularly relevant in the resection of skull base tumors, where navigation of the pterygopalatine fossa is required. The ability to precisely locate this bone allows for smaller incisions, reduced trauma to surrounding tissue, and faster recovery times for the patient.

Furthermore, in orthognathic surgery, the pterygoid plates are sometimes manipulated or released to allow for the repositioning of the maxilla. Understanding the fragility of the medial plate and its surrounding soft tissues is imperative for preventing post-operative complications such as damage to the palatal tissues or restricted movement of the Eustachian tube.

Pathological Considerations

While the medial pterygoid plate is typically robust, it is susceptible to various pathologies. Understanding these conditions is crucial for comprehensive clinical evaluation. Chronic infections, such as those originating in the paranasal sinuses, can occasionally lead to localized osteomyelitis of the pterygoid process. Additionally, developmental conditions, such as syndromes affecting the first and second branchial arches, may manifest as agenesis or hypoplasia of the pterygoid plates, requiring early intervention and long-term multidisciplinary management.

Final considerations regarding this anatomical region include its role in long-term oral health and patient comfort. By supporting the muscles involved in swallowing and Eustachian tube function, the plate directly impacts quality of life. Patients undergoing extensive facial reconstruction must have their pterygoid anatomy assessed to ensure that functional muscle attachments are maintained or successfully re-established during the reconstruction phase. The complexity of this small but significant bone reminds us of the interconnectedness of our craniofacial structures, where a minor bony plate influences major life functions such as breathing, speaking, and hearing.

Related Terms:

  • medial pterygoid plate ct
  • medial pterygoid
  • medial pterygoid plate anatomy
  • pterygoid hamulus
  • medial pterygoid muscle
  • medial pterygoid plate location