Mayo

Mesenteric Artery Stenosis

Mesenteric Artery Stenosis

Mesenteric Artery Stenosis is a serious medical condition characterized by the narrowing of the arteries that supply blood to the small and large intestines. When these vessels become obstructed—most commonly due to the buildup of plaque known as atherosclerosis—the digestive organs do not receive the oxygen-rich blood necessary to function properly. This condition, if left unaddressed, can lead to chronic pain, digestive dysfunction, and, in severe cases, life-threatening intestinal tissue death. Understanding the symptoms, causes, and treatment options for this vascular issue is crucial for early detection and effective management.

Understanding the Pathophysiology of Mesenteric Artery Stenosis

To comprehend how Mesenteric Artery Stenosis affects the body, one must first understand the anatomy of the digestive blood supply. The digestive tract is supplied primarily by three main arteries: the celiac artery, the superior mesenteric artery (SMA), and the inferior mesenteric artery (IMA). In most patients, these vessels work in harmony to ensure constant blood flow.

When atherosclerosis occurs, cholesterol, fat, and other substances form plaques along the inner walls of these arteries. As these plaques harden and grow, the lumen (the opening of the vessel) becomes narrower, restricting blood flow. This process is similar to what happens in coronary artery disease, but the consequences are specifically related to digestion rather than cardiac function.

Because the intestines have a collateral circulation network (meaning they are fed by multiple arteries), symptoms often do not appear until at least two of these major vessels are significantly narrowed or blocked. This is why the condition can sometimes remain asymptomatic in its early stages.

Recognizing the Symptoms and Clinical Indicators

The hallmark symptom of chronic Mesenteric Artery Stenosis is often referred to as "intestinal angina." This pain is typically predictable and directly linked to food intake. When a person eats, the digestive system requires an increase in blood flow to aid in digestion. If the arteries are narrowed, they cannot supply the necessary volume of blood, resulting in pain.

  • Postprandial Pain: Abdominal pain that usually begins 15 to 30 minutes after eating.
  • Sitophobia: A conscious fear of eating due to the anticipation of pain, often leading to significant, unintentional weight loss.
  • Gastrointestinal Distress: Symptoms such as nausea, vomiting, bloating, or diarrhea.
  • Presence of Other Vascular Disease: Patients frequently exhibit signs of peripheral artery disease (PAD), coronary artery disease, or carotid artery stenosis.

If you experience persistent abdominal pain after meals accompanied by unexplained weight loss, it is vital to consult a vascular specialist immediately. Ignoring these signs can lead to acute mesenteric ischemia, which is a medical emergency requiring urgent surgical intervention.

Risk Factors and Diagnostic Approaches

Several lifestyle and physiological factors significantly increase the risk of developing Mesenteric Artery Stenosis. Identifying these risk factors early can help medical professionals monitor high-risk individuals more effectively.

Risk Factor Impact on Vascular Health
Smoking Significantly accelerates arterial plaque buildup and vessel narrowing.
Hypertension Causes chronic damage to the arterial walls, promoting plaque deposits.
Hyperlipidemia High levels of LDL cholesterol contribute directly to plaque formation.
Diabetes Damages blood vessel linings, making arteries more susceptible to blockage.

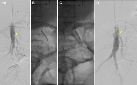
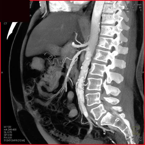
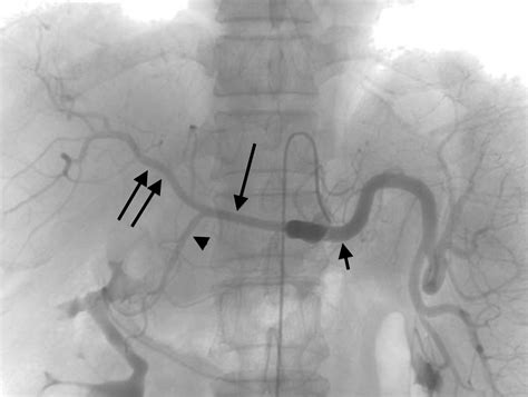
Diagnosis typically begins with a physical examination, followed by imaging studies. Physicians commonly utilize Duplex Ultrasound as a primary screening tool because it is non-invasive and effective at measuring blood velocity within the mesenteric arteries. More definitive imaging, such as a CT Angiography (CTA) or Magnetic Resonance Angiography (MRA), provides detailed, high-resolution views of the arterial anatomy, allowing surgeons to plan potential interventions.

⚠️ Note: If you are scheduled for a CTA, inform your healthcare provider if you have a known allergy to iodine-based contrast dyes or pre-existing kidney issues, as these can impact the choice of diagnostic procedure.

Treatment Modalities: From Conservative Care to Surgical Intervention

The goal of treating Mesenteric Artery Stenosis is to restore adequate blood flow to the digestive tract and prevent bowel infarction. The treatment pathway depends on the severity of the narrowing and the patient's overall health.

Conservative and Medical Management

For patients with mild stenosis or those who are not candidates for surgery, physicians focus on aggressive risk factor modification. This includes:

  • Smoking cessation programs.
  • Strict blood pressure and blood glucose control.
  • Statin therapy to manage cholesterol levels.
  • Antiplatelet medications, such as aspirin or clopidogrel, to prevent blood clots.

Revascularization Procedures

When symptoms are severe and negatively impacting the patient’s quality of life, surgical or endovascular intervention is usually necessary. These include:

  • Angioplasty and Stenting: A minimally invasive procedure where a small balloon is used to open the artery, and a stent is placed to keep it open. This is often the preferred first-line treatment for its shorter recovery time.
  • Bypass Surgery: A more traditional open surgical approach where a graft (a synthetic tube or a vein from the body) is used to redirect blood flow around the blocked segment of the artery.

💡 Note: While angioplasty and stenting are less invasive, bypass surgery often offers more durable, long-term results for patients with complex, multi-vessel disease.

Lifestyle Adjustments for Long-Term Vascular Health

Managing Mesenteric Artery Stenosis is a lifelong commitment to vascular health. After a diagnosis or treatment, patients should focus on maintaining a heart-healthy lifestyle to prevent further plaque progression. A diet rich in fruits, vegetables, and whole grains, combined with regular, doctor-approved physical activity, is foundational. It is also important to maintain consistent follow-up appointments with a vascular surgeon to ensure that any stented arteries remain clear and that blood flow to the intestines remains optimal.

The successful management of this condition relies heavily on early recognition of symptoms like post-meal abdominal pain and weight loss. By addressing risk factors through medication and lifestyle changes, or choosing appropriate revascularization strategies when necessary, patients can significantly improve their quality of life and prevent the complications associated with intestinal ischemia. Maintaining ongoing communication with a multidisciplinary medical team ensures that the therapeutic plan remains effective as the patient’s condition evolves, ultimately leading to a more positive and healthy outcome.

Related Terms:

  • superior mesenteric artery syndrome
  • mesenteric artery thrombosis
  • mesenteric artery stenosis icd
  • mesenteric artery stenosis treatment
  • mesenteric artery stenosis ultrasound
  • mesenteric ischemia