Cleve

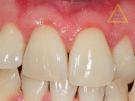
Minor Gum Recession

Minor Gum Recession

Discovering that your gums are pulling away from your teeth can be a startling experience, but catching the issue early is the best way to prevent long-term damage. Minor gum recession is a common dental concern where the margin of the gum tissue that surrounds the teeth wears away or pulls back, exposing more of the tooth or the tooth's root. While it might seem like a purely aesthetic issue, it is a critical sign that your oral health needs immediate attention. Understanding why this happens, how to identify the early warning signs, and what steps you can take to manage or reverse the process is essential for maintaining a healthy, vibrant smile.

What Exactly Is Minor Gum Recession?

When we talk about minor gum recession, we are referring to the initial stages of periodontal tissue loss. In a healthy mouth, gum tissue fits snugly around the teeth, protecting the sensitive roots and keeping bacteria at bay. When recession begins, small gaps or "pockets" form between the teeth and the gum line. These pockets provide the perfect environment for harmful bacteria to flourish, which can eventually lead to further tissue and bone damage if left unaddressed. It is rarely a sudden event; rather, it is a slow, progressive process that often goes unnoticed until the exposed tooth roots cause discomfort.

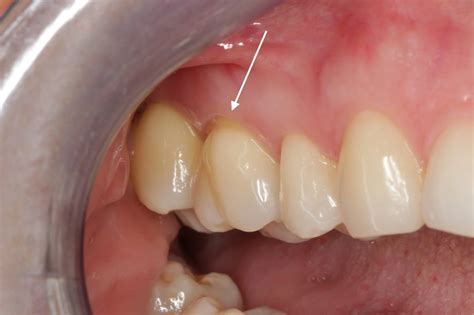
The progression of gum recession is typically measured by the depth of the pocket and the amount of exposed root surface. Recognizing the signs early is your first line of defense against the need for more invasive treatments like gum grafting surgery. By focusing on preventative care and professional dental intervention, many patients can stop the recession in its tracks before it escalates into a major dental health crisis.

Recognizing the Symptoms of Early Recession

Many individuals do not feel the physical symptoms of minor gum recession until it reaches a point where the tooth roots are exposed. However, your body often provides subtle clues that something is off. Paying close attention to your daily oral hygiene routine can help you spot these changes early.

  • Tooth Sensitivity: This is often the first indicator. If you feel a sharp "zing" when consuming cold, hot, or acidic foods, the protective enamel is likely thinning or the root surface is being exposed.
  • Visual Changes: You might notice that your teeth look longer than they used to, or there is a distinct notch near the gum line.
  • Bleeding Gums: If you notice blood on your toothbrush or dental floss, it suggests underlying inflammation that often accompanies early recession.
  • Loose Teeth: In more advanced cases of recession, teeth may feel slightly mobile, indicating that the supporting bone structure is being affected.

⚠️ Note: If you experience persistent tooth sensitivity, it is highly recommended to schedule a check-up with your dentist to rule out enamel erosion or cavities.

Primary Causes of Gum Tissue Loss

Understanding the root cause of your minor gum recession is vital to stopping it. It is rarely caused by just one factor; rather, it is often a combination of habits, genetics, and underlying health issues. Below is a breakdown of the most common factors contributing to this condition.

Cause Explanation
Aggressive Brushing Brushing too hard or using a hard-bristled brush can physically wear down gum tissue.
Periodontal Disease Bacterial gum infections destroy the tissue and the bone that holds your teeth in place.
Genetics Some people are genetically predisposed to having thin or fragile gum tissue, regardless of hygiene.
Bruxism Grinding or clenching your teeth puts excessive pressure on the gums, causing them to recede.
Tobacco Use Smoking or chewing tobacco causes sticky plaque to build up on teeth, increasing the risk of gum recession.

Steps to Manage and Address Receding Gums

Once you and your dentist have identified the cause, you can begin a targeted treatment plan. For minor gum recession, the goal is to stabilize the area and prevent further loss. The following steps are standard in professional dental practice.

  1. Professional Cleaning: Deep cleaning, often known as scaling and root planing, removes tartar buildup from below the gum line to allow the tissue to reattach to the tooth.
  2. Adjusting Oral Hygiene: Switch to a soft-bristled toothbrush and use the "gentle massage" technique rather than scrubbing vigorously.
  3. Custom Mouthguards: If you suffer from teeth grinding, a nighttime mouthguard can prevent the mechanical trauma that leads to recession.
  4. Regular Monitoring: Your dentist will likely suggest more frequent check-ups to track the progress of the gum line and ensure your hygiene routine is working.

💡 Note: Always consult with a dental professional before starting new treatments, as some over-the-counter products may irritate already sensitive gum tissue.

Long-Term Prevention Strategies

Prevention is always more effective than treatment. Keeping your gums healthy requires a lifelong commitment to consistency. Use an electric toothbrush with a pressure sensor to ensure you aren't damaging your tissue. Furthermore, maintaining a balanced diet low in acidic, sugary foods helps reduce the inflammation that triggers gum issues. Regular flossing is equally important, as it removes the plaque that hides between teeth where brushing cannot reach. By treating your gums with the same level of care as your teeth, you can ensure that your smile remains healthy for decades to come.

Ultimately, minor gum recession serves as an important signal from your body that your oral health habits or biological predispositions need a closer look. While the process can be unsettling, it is manageable and often reversible if you act decisively. By identifying the triggers—whether they be mechanical, such as aggressive brushing, or biological, such as gum disease—you can implement a corrective routine that stabilizes your gum line and protects your teeth roots. Consistent communication with your dental professional, coupled with a gentle approach to your daily hygiene, will go a long way in preserving your gum health. Prioritizing these proactive measures not only alleviates current discomfort but also safeguards the long-term structural integrity of your smile, allowing you to move forward with confidence and dental wellness.

Related Terms:

  • gums receding on one tooth
  • mild receding gum photos
  • why are my gums receding
  • why are my gums disappearing
  • gum pulling away from tooth
  • why are my gums shrinking