Cleve

Moderate Stool Burden

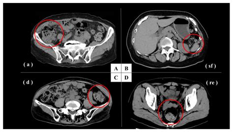
Moderate Stool Burden

Understanding the internal health of your digestive system is crucial, and one term you might encounter during a clinical imaging report is a Moderate Stool Burden. This diagnosis, often provided after an X-ray or CT scan, indicates that there is a noticeable accumulation of fecal matter within the colon. While the term sounds clinical and perhaps concerning, it is a common finding in medical imaging that helps healthcare providers assess bowel habits and digestive functionality. Essentially, it suggests that your colon is holding more waste than what is considered optimal for standard transit, which can be a key indicator for issues such as chronic constipation or sluggish motility.

What Exactly Does Moderate Stool Burden Mean?

When a radiologist identifies a Moderate Stool Burden, they are observing the density and distribution of feces within the large intestine. Unlike a severe impaction—which represents a medical emergency where the bowel is completely blocked—a moderate burden is often interpreted as a “backed-up” state. It means that the waste is moving through the digestive tract slower than it should, but it has not reached a point of complete obstruction.

This finding is often subjective, based on the radiologist’s interpretation of the scan. It serves as a diagnostic tool rather than a final disease diagnosis. It prompts doctors to look closer at your medical history, current symptoms, and lifestyle factors to determine if an underlying condition is preventing regular evacuation.

Common Symptoms Associated with Stool Accumulation

If you have been diagnosed with this condition, you may be experiencing several physical discomforts. These symptoms are often the reason why the imaging was requested in the first place. Recognizing these signs early can help you communicate more effectively with your healthcare provider:

  • Abdominal Bloating: A feeling of fullness or tightness in the stomach area that does not go away after passing gas.
  • Incomplete Evacuation: The sensation that you haven’t fully emptied your bowels even after using the restroom.
  • Chronic Constipation: Having fewer than three bowel movements per week or experiencing hard, dry stools.
  • Lower Back or Abdominal Pain: Pressure from a full colon can sometimes radiate pain into the lower back or pelvic region.
  • Reduced Appetite: Feeling full quickly or lacking an appetite because the digestive system is backed up.

Factors Contributing to Digestive Sluggishness

Several lifestyle and physiological factors contribute to a Moderate Stool Burden. The colon relies on a specific rhythm of muscular contractions to move waste toward the rectum. When this rhythm is disrupted, stool accumulates. Common culprits include:

  • Dehydration: Water is essential for softening stool; without it, waste becomes hard and moves much slower.
  • Fiber Deficiency: Fiber adds bulk to the stool, which triggers the intestines to contract and push the waste forward.
  • Sedentary Lifestyle: Physical movement helps stimulate the natural peristalsis of the intestines.
  • Medication Side Effects: Certain medications, such as opioids, iron supplements, or antacids, are known to slow down bowel transit times.
  • Ignoring the Urge: Regularly delaying bowel movements can lead to chronic constipation, as the colon continues to absorb water from the stool, making it harder to pass over time.

Clinical Perspectives and Comparison

To help you understand how clinicians categorize fecal accumulation, the following table illustrates the general stages often noted in diagnostic reports. Please note that these are generalizations and vary based on clinical protocols.

Degree of Burden Clinical Interpretation Typical Management
Mild Minimal waste present, normal for many Dietary adjustments
Moderate Stool Burden Noticeable accumulation, reduced motility Hydration, fiber, and mild laxatives
Severe/Impaction Significant blockage, potential health risk Enemas, manual disimpaction, or medical intervention

⚠️ Note: If you experience sudden, severe abdominal pain, vomiting, or a complete inability to pass gas, seek immediate medical attention, as these can be signs of a bowel obstruction rather than a routine stool burden.

Strategic Approaches to Improve Digestive Motility

Managing a Moderate Stool Burden is rarely about a single quick fix; instead, it involves a multi-pronged approach to restoring the colon’s natural movement. Consistency is the most important factor in achieving long-term relief.

Dietary Optimization: Increasing your intake of soluble and insoluble fiber is the first step. Aim to introduce fiber-rich foods like oats, beans, fruits, and vegetables gradually to avoid excessive gas. Staying adequately hydrated is equally important; fiber without water can actually make constipation worse.

Movement and Activity: Regular physical activity, such as walking or yoga, can help “wake up” a sluggish digestive system. Specific movements that compress the abdomen can also help encourage peristalsis.

Establishing a Routine: Trying to have a bowel movement at the same time each day—often in the morning when the gastrocolic reflex is strongest—can help train your body to evacuate regularly.

When to See a Specialist

If lifestyle modifications do not resolve the issue, it is time to consult a gastroenterologist. They may perform further tests, such as colonoscopy or transit studies, to rule out conditions like Irritable Bowel Syndrome (IBS), pelvic floor dysfunction, or anatomical obstructions. Do not rely solely on over-the-counter laxatives for long-term management, as this can lead to bowel dependency, where the colon loses its natural ability to move waste without chemical stimulation.

Always maintain an open dialogue with your healthcare provider regarding the findings on your imaging. A Moderate Stool Burden is not an indictment of your overall health, but rather a sign that your digestive tract needs some support. By addressing hydration, fiber intake, and physical activity, you can usually restore your system to its regular rhythm and eliminate the discomfort associated with excess fecal accumulation.

The journey toward better digestive health begins with acknowledging the signals your body provides. While identifying a moderate stool burden might feel like a setback, it acts as a valuable diagnostic marker that allows for proactive intervention. By integrating sustainable lifestyle habits like increased water intake, consistent physical activity, and a balanced, high-fiber diet, most individuals can successfully clear the accumulation and prevent its return. Remember that digestion is a dynamic process influenced by numerous variables, and achieving regularity often requires patience and consistency. Should symptoms persist despite your efforts, continuing to work closely with a medical professional will ensure that any deeper, underlying issues are addressed appropriately, ultimately leading to improved comfort and long-term gastrointestinal wellness.

Related Terms:

  • moderate stool burden icd 10
  • moderate stool burden treatment
  • moderate stool burden in spanish
  • moderate colonic stool burden
  • moderate stool burden descending colon
  • moderate stool burden icd