Cleve

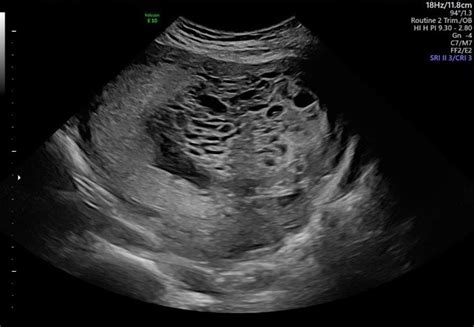
Molar Pregnancy Sonogram

Molar Pregnancy Sonogram

Receiving news during pregnancy that something might be wrong is a deeply stressful experience. Among the various complications that can arise, a molar pregnancy—also known as hydatidiform mole—is a condition that often requires immediate medical attention. For many expecting parents, the first indication that something is unusual often comes during a routine prenatal check-up. The Molar Pregnancy Sonogram is one of the most critical diagnostic tools used by healthcare providers to identify this condition. Understanding what a sonogram reveals and why it looks different from a healthy pregnancy can help patients navigate the uncertainty of a diagnosis with more clarity and professional guidance.

What is a Molar Pregnancy?

A molar pregnancy is a rare complication of pregnancy characterized by the abnormal growth of trophoblasts, the cells that normally develop into the placenta. In a typical pregnancy, the placenta provides nourishment to the fetus. In a molar pregnancy, this process goes awry. There are two main types:

  • Complete Molar Pregnancy: The placental tissue is abnormal and swollen, and it appears to form fluid-filled cysts. There is no fetus formation.
  • Partial Molar Pregnancy: There may be some fetal tissue present, but it is usually malformed and unable to survive. The placental tissue also shows abnormal, cyst-like structures.

Because these abnormal cells grow rapidly, they produce high levels of the pregnancy hormone human chorionic gonadotropin (hCG), which can lead to severe pregnancy symptoms like intense morning sickness and vaginal bleeding.

The Role of the Molar Pregnancy Sonogram

A sonogram, or ultrasound, is the primary imaging technique used to visualize the uterus. When a technician or doctor performs a Molar Pregnancy Sonogram, they are looking for specific visual patterns that distinguish a healthy pregnancy from a molar one. Because the condition involves rapid, disorganized tissue growth, the images produced are quite distinct from those of a healthy developing embryo.

One of the most characteristic signs identified during the sonogram is the presence of what sonographers call a "snowstorm" pattern. This is caused by the multiple fluid-filled cysts that develop within the placental tissue. In a healthy pregnancy, the ultrasound would show a gestational sac, a yolk sac, and eventually a clearly defined embryo or fetus with a beating heart. In contrast, the molar scan often shows a complex mass of echoes and cystic spaces filling the uterine cavity.

Feature Healthy Pregnancy Sonogram Molar Pregnancy Sonogram
Gestational Sac Clear, well-defined sac Distorted or absent
Placental Appearance Uniform texture "Snowstorm" or cystic pattern
Fetal Heartbeat Visible Usually absent (or abnormal in partial)

Interpreting the Findings

When a practitioner identifies the characteristic patterns of a molar pregnancy on a sonogram, they usually confirm the diagnosis by pairing the imaging results with blood tests. The blood tests typically reveal abnormally high levels of hCG, significantly higher than what would be expected for the gestational age of the pregnancy. This combination of clinical symptoms, elevated hormone levels, and imaging findings allows doctors to make a definitive diagnosis.

It is important to understand that a Molar Pregnancy Sonogram is not just about identifying the loss of a pregnancy; it is about protecting the patient's future health. If left untreated, the abnormal tissue can continue to grow, leading to potential complications such as persistent gestational trophoblastic disease (GTD) or, in rare cases, malignancy.

⚠️ Note: If you receive a diagnosis based on a sonogram, your healthcare provider will likely recommend a D&C (dilation and curettage) procedure to carefully remove all abnormal tissue from the uterus. This is essential to prevent complications and monitor hormone levels back to zero.

What to Expect After the Ultrasound

After the imaging procedure, the medical team will discuss the next steps. Because this is a medical condition that requires follow-up, you should expect to have your hCG levels monitored frequently. The goal is to ensure that all abnormal tissue has been removed and that no cells remain that could grow into a tumor. This period of follow-up can be emotionally challenging, as it serves as a reminder of the pregnancy loss, but it is vital for your physical recovery and long-term reproductive health.

Recovery is usually smooth, and most women who experience a molar pregnancy go on to have healthy, successful pregnancies in the future. Once the hCG levels have returned to normal and remained there for the period specified by your doctor, you will generally be cleared to try for a pregnancy again. Seeking support—whether through a partner, family, or support groups—is highly recommended during the weeks and months following a diagnosis.

Moving Forward After Diagnosis

Navigating the aftermath of a molar pregnancy requires patience with yourself and your body. The physical healing process following a D&C is typically straightforward, but the emotional recovery may take more time. It is helpful to remember that a molar pregnancy is a genetic accident and there is nothing you could have done to prevent it. Regular communication with your doctor, attending every follow-up appointment, and keeping track of your physical health are the best ways to ensure a full recovery.

As you process the information provided by the Molar Pregnancy Sonogram, focus on the fact that modern medicine is highly effective at managing this condition. The early detection afforded by ultrasound technology ensures that most cases are managed quickly and safely. By prioritizing your follow-up care and allowing yourself time to heal, you are taking the necessary steps to look forward to future possibilities and your ongoing well-being. Always reach out to your medical team if you have questions about your blood test results or if you notice any unusual symptoms during your recovery period.

Related Terms:

  • molar pregnancy ultrasound treatment
  • molar pregnancy hcg
  • molar pregnancy ultrasound 6 weeks
  • molar pregnancy ultrasound findings
  • partial molar pregnancy
  • molar pregnancy hcg levels