Mayo

Molar Pregnancy Ultrasound

Molar Pregnancy Ultrasound

Receiving news of a pregnancy is usually a time of joy and anticipation, but sometimes, routine checkups reveal unexpected and concerning results. One such diagnosis is a molar pregnancy, also known as a hydatidiform mole. When a doctor suspects this condition, a molar pregnancy ultrasound becomes the most critical diagnostic tool to confirm the status of the pregnancy. Understanding what this procedure entails, what sonographers look for, and why it is vital for your health can help navigate what is often an overwhelming experience.

What is a Molar Pregnancy?

A molar pregnancy is a rare complication of pregnancy characterized by the abnormal growth of trophoblasts, which are cells that normally develop into the placenta. Instead of a healthy pregnancy, these cells form a mass—sometimes resembling a cluster of grapes—within the uterus. There are two primary types of molar pregnancies:

  • Complete Molar Pregnancy: There is no embryo or normal placental tissue. The placental tissue is abnormal and swollen, forming fluid-filled cysts.
  • Partial Molar Pregnancy: There may be abnormal placental tissue along with an embryo, but the embryo is typically malformed and unable to survive.

Because the development is abnormal, a molar pregnancy cannot result in a healthy baby and requires prompt medical attention to prevent complications, such as the development of persistent gestational trophoblastic disease.

The Role of the Molar Pregnancy Ultrasound

The molar pregnancy ultrasound is the gold standard for early detection. When a healthcare provider notices symptoms like vaginal bleeding, severe nausea, or a uterus that is larger than expected for the gestational age, they will order an ultrasound scan. This diagnostic imaging allows the doctor to visualize the contents of the uterus in real-time.

During the scan, a sonographer or radiologist uses high-frequency sound waves to create images of the uterine cavity. In a healthy pregnancy, the ultrasound will show a clear gestational sac with a developing fetus. In contrast, the imaging of a molar pregnancy displays distinct patterns that deviate from normal development.

Feature Healthy Pregnancy Molar Pregnancy
Uterine Contents Clear gestational sac/fetus Cystic mass ("Snowstorm" appearance)
Placenta Uniform, healthy texture Abnormal, swollen, fluid-filled
Fetal Heartbeat Present (after 6-7 weeks) Typically absent

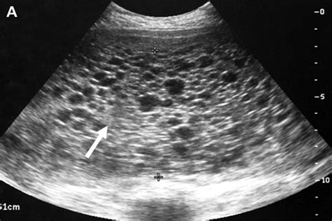
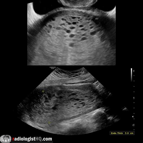
Key Indicators Observed on the Ultrasound

Radiologists look for specific visual markers to identify this condition. The most classic description of a molar pregnancy ultrasound image is often called the "snowstorm" appearance. This occurs because the abnormal placental tissue creates multiple echo-producing interfaces, making the interior of the uterus look like a blizzard on the screen.

Other indicators include:

  • Absence of Fetal Parts: In a complete mole, there is an absolute lack of fetal tissue.
  • Cystic Spaces: Large, fluid-filled cysts are often visible within the mass.
  • Ovarian Cysts: It is common to see theca lutein cysts on the ovaries, caused by the high levels of human chorionic gonadotropin (hCG) hormone produced by the molar tissue.

⚠️ Note: While the ultrasound provides strong evidence, doctors will always confirm the diagnosis by pairing the imaging results with a blood test to measure hCG levels, which are typically much higher than normal in molar pregnancies.

Diagnostic Steps After the Ultrasound

If the ultrasound confirms a molar pregnancy, the focus shifts immediately to treatment. Because the abnormal tissue must be removed, your healthcare provider will likely recommend a procedure called dilation and curettage (D&C). After the removal of the molar tissue, the priority is monitoring to ensure all abnormal cells have been eliminated.

Ongoing monitoring is essential for several months. You will likely be required to:

  • Undergo regular blood tests to track your hCG levels until they return to zero.
  • Monitor for symptoms such as heavy bleeding or persistent pain.
  • Delay future pregnancy attempts until your doctor confirms that your hormone levels have stabilized and remain low.

Why Early Detection Matters

The importance of a timely molar pregnancy ultrasound cannot be overstated. By identifying the abnormal growth early, healthcare providers can perform a prompt intervention, which significantly reduces the risk of long-term health issues. When managed correctly, most women who have a molar pregnancy go on to have healthy, successful pregnancies in the future. The emotional toll of this diagnosis is significant, but having clear, accurate information is the first step toward physical recovery and peace of mind.

Finding out that a pregnancy is not developing as expected is an incredibly difficult experience that requires compassion, time, and professional medical support. While a molar pregnancy is certainly a complex diagnosis, medical imaging provides the clarity necessary to treat the condition effectively and safely. If you have been told that your ultrasound shows signs of a molar pregnancy, it is essential to follow your provider’s guidance regarding follow-up testing and emotional support. By staying diligent with your blood work and recovery plan, you are taking the necessary steps to protect your future health and wellbeing. Remember that you do not have to navigate this recovery alone, and seeking support from your medical team or counseling services can be highly beneficial during this time of healing.

Related Terms:

  • molar pregnancy ultrasound treatment
  • molar pregnancy hcg
  • molar pregnancy ultrasound 6 weeks
  • molar pregnancy ultrasound findings
  • partial molar pregnancy
  • molar pregnancy hcg levels