Cleve

Molar Removal Recovery

Molar Removal Recovery

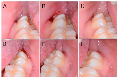
Undergoing a dental procedure can often feel daunting, but understanding the process of Molar Removal Recovery is the best way to ensure a smooth transition back to your daily routine. Whether you are dealing with a wisdom tooth extraction or the removal of a damaged molar, the healing process is a critical phase that requires patience, proper oral hygiene, and adherence to professional aftercare instructions. By taking the right steps in the first 72 hours, you significantly reduce the risk of complications like dry socket and infection, allowing your gum tissue to heal efficiently.

The Immediate Aftermath: The First 24 Hours

Dental care and recovery

The first day following your extraction is the most vital period for establishing a healthy clot. Your dentist will likely place gauze over the extraction site, which you should keep firmly in place for at least 30 to 60 minutes. During this time, your main goal is to control bleeding and minimize swelling. It is completely normal to experience slight oozing; however, if you notice excessive bright red bleeding, you should change your gauze and apply steady pressure. Avoid rinsing your mouth, spitting, or using a straw, as these actions can dislodge the clot that is forming in the empty socket.

To manage discomfort effectively during this stage, consider the following:

  • Apply cold compresses: Use an ice pack on the outside of your cheek for 15-20 minutes at a time to reduce facial swelling.
  • Medication timing: Take the pain relief prescribed by your dentist before the numbness from the local anesthetic wears off.
  • Rest: Keep your head elevated with extra pillows to reduce blood pressure in the head and minimize throbbing.
  • Hydration: Drink plenty of water, but do so slowly and avoid using a straw to prevent suction forces.

⚠️ Note: If you experience severe pain that medication cannot control, or if you notice a fever, contact your dental office immediately, as these may be signs of an underlying issue or infection.

Optimizing Your Diet During Healing

Nutrition plays a massive role in how quickly your body repairs itself after dental surgery. During your Molar Removal Recovery, your diet needs to be strictly soft and non-irritating for at least the first few days. Avoid foods that are crunchy, spicy, or extremely hot, as these can easily damage the sensitive area where the tooth was removed. Focus on foods that are rich in vitamins but require minimal chewing effort.

Food Category Recommended Items Avoid
Proteins Scrambled eggs, yogurt, hummus Steak, tough meats, nuts
Fruits/Veg Applesauce, mashed avocado, blended smoothies Raw vegetables, seeds, acidic citrus
Grains Oatmeal, soft pasta, mashed potatoes Popcorn, chips, crusty bread

Managing Hygiene and Preventing Dry Socket

Keeping your mouth clean is essential, but you must be gentle. Bacteria can easily settle in the extraction site, leading to infection. However, vigorous brushing or flossing near the site can undo the body’s repair work. After the first 24 hours have passed, you may begin very gentle salt-water rinses. Mix half a teaspoon of salt into a cup of warm water and tilt your head from side to side rather than swishing aggressively. This simple practice helps keep the area free of food debris while promoting natural healing.

One of the most common concerns during Molar Removal Recovery is the development of a "dry socket." This happens when the protective blood clot is prematurely lost or fails to form, exposing the bone and nerves. To prevent this:

  • Do not smoke or use tobacco products for at least 48 to 72 hours, as the chemicals can impede healing and the suction motion can dislodge the clot.
  • Avoid strenuous exercise or heavy lifting, as increased blood flow to the head can cause bleeding at the site.
  • Do not touch the site with your tongue or fingers.

💡 Note: Avoid carbonated beverages for the first few days, as the carbonation can potentially irritate the socket and cause unnecessary discomfort.

Long-term Healing Expectations

While the first three days are the most intensive, complete healing of the bone and gum tissue typically takes several weeks. Within the first week, you will likely notice that the swelling has significantly subsided and your ability to open your jaw returns to normal. If you had stitches placed, they may be the dissolvable kind that disappear on their own, or your dentist may schedule a follow-up appointment to remove them. Continue to monitor the area for any unusual tastes or smells, which could indicate that food is stuck in the socket or that an infection is brewing.

As you gradually introduce firmer foods back into your diet, listen to your body. If a specific food causes sensitivity or pain, wait a few more days before trying it again. Remember that oral health is a holistic process; maintaining excellent hygiene on your other teeth—while carefully avoiding the extraction site—will speed up the overall health of your mouth.

When to Seek Professional Help

It is important to differentiate between standard post-operative soreness and symptoms that require medical attention. While mild discomfort, slight bruising, and minor swelling are expected parts of the Molar Removal Recovery process, there are red flags you should watch for. Persistent pain that worsens after the third day, a foul taste in the mouth that won’t go away, or a sudden onset of fever are all valid reasons to call your oral surgeon. Early intervention often prevents minor issues from becoming major setbacks, ensuring that your recovery remains on the right track.

Successfully navigating your post-extraction journey relies on a combination of diligent aftercare, patience, and attentive monitoring of your symptoms. By prioritizing rest, adhering to a soft-food diet, and protecting the extraction site from unnecessary trauma, you give your body the best environment to recover naturally. While the healing period may require some adjustments to your daily habits, it is a short-term commitment that yields long-term oral health benefits. Stay consistent with your dental hygiene, follow the guidance provided by your healthcare professional, and you will find that your mouth returns to its normal, functional state much sooner than expected.

Related Terms:

  • tooth extraction 5 days later
  • molar extraction site healing time
  • recovery time from molar extraction
  • one month after tooth extraction
  • healing after molar extraction
  • 3 weeks after tooth extraction