Cleve

Mri With Contrast

Mri With Contrast

Navigating the world of medical imaging can feel overwhelming, especially when your doctor recommends an MRI with contrast. Understanding what this procedure entails, why it is necessary, and how to prepare for it can significantly reduce anxiety and help you feel more in control of your healthcare journey. An MRI (Magnetic Resonance Imaging) is a powerful diagnostic tool that uses strong magnetic fields and radio waves to create detailed images of organs and tissues within your body. When "contrast" is added to the mix, it refers to a special dye—usually gadolinium-based—injected into your bloodstream to highlight specific areas, providing clearer, more precise information for radiologists to interpret.

Why Contrast is Used in MRI Scans

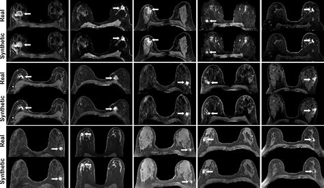
The primary purpose of adding a contrast agent during your scan is to improve the visibility of internal structures. Without contrast, some tissues may appear similar in density, making it difficult for a physician to identify subtle abnormalities. By using a contrast agent, the substance travels through your blood vessels and accumulates in areas of increased blood flow, such as tumors, areas of inflammation, or damaged blood vessels. This “enhancement” makes these areas appear brighter or more defined on the resulting images.

Common clinical reasons for ordering an MRI with contrast include:

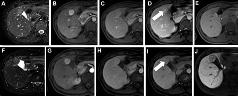
  • Detecting tumors: Contrast helps distinguish between benign and malignant growths by showing how much blood supply they receive.
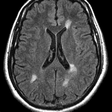
  • Neurological assessments: It is frequently used to identify multiple sclerosis plaques or brain tumors.
  • Cardiovascular imaging: Doctors use it to visualize blood flow through heart chambers and vessels.
  • Infection or Inflammation: It aids in identifying active infection sites or chronic inflammatory processes in joints and organs.

What to Expect Before Your Procedure

Once your healthcare provider has ordered the scan, you will likely receive specific instructions from the imaging center. Because contrast involves an injection, the screening process is slightly more rigorous than a standard MRI. You will be asked about your medical history, specifically regarding kidney function, allergies, and pregnancy status.

Here is a quick overview of typical preparation steps:

Preparation Step Reasoning
Medical History Review Checking for allergies to contrast agents or renal health issues.
Fasting Requirements Some facilities require light fasting to prevent nausea after injection.
Metal Removal Ensuring safety within the strong magnetic field of the MRI machine.
IV Access Setting up an intravenous line for the contrast delivery.

⚠️ Note: If you have a history of kidney disease, be sure to inform your radiologist beforehand. They may require a blood test (GFR test) to ensure your kidneys can safely process the gadolinium dye.

The Procedure: Step-by-Step

When you arrive for your MRI with contrast, the technologists will guide you through the process to ensure both comfort and safety. First, you will change into a hospital gown to ensure no metallic objects, such as zippers or jewelry, interfere with the magnet. You will then be positioned on a sliding table. The technologist will place an IV line, usually in your arm or hand, where the contrast will be administered later.

The scan often begins with a series of images taken without contrast. Once these initial images are captured, the radiologist or nurse will inject the contrast agent through your IV. You might feel a cool sensation as it enters your vein. Following the injection, the machine will continue to take more images. The entire process can take anywhere from 30 to 60 minutes depending on the body part being scanned.

Managing Potential Side Effects

Most individuals tolerate contrast dyes exceptionally well. However, because it is a foreign substance, some minor side effects can occur. Being aware of these can help you stay calm if you experience any mild sensations during or after the scan.

  • Cold sensation: Feeling a chill as the fluid moves through your arm.
  • Metallic taste: A brief, harmless taste in your mouth immediately following the injection.
  • Mild nausea: This is generally fleeting and subsides quickly.
  • Allergic reaction: While rare, some people may experience hives or itching, which the staff is highly trained to manage immediately.

💡 Note: Drink plenty of water following your appointment. Increasing your fluid intake helps your kidneys filter the contrast dye out of your body more efficiently.

Understanding the Results

After the scan is complete, the images are sent to a radiologist. They analyze the scan to compare the non-contrast and contrast-enhanced images. The “enhancement” patterns allow the radiologist to write a detailed report for your primary physician. This report usually outlines findings in clinical terms, noting the presence or absence of abnormalities. It is important to remember that the MRI report is just one part of your diagnostic puzzle; your doctor will correlate these results with your physical exam and other lab findings to finalize a diagnosis and treatment plan.

Final Thoughts

Undergoing an MRI with contrast is a routine yet sophisticated medical procedure designed to provide your medical team with the highest level of detail possible. By illuminating subtle differences in tissue characteristics, it plays a vital role in early detection, accurate diagnosis, and the successful management of various health conditions. While the magnetic environment and the prospect of an injection might feel intimidating, the process is well-regulated and designed with patient safety as the top priority. Always feel free to ask your technician or doctor questions if you are unsure about any aspect of your scan. Preparing yourself with knowledge is the best way to ensure that your experience is as smooth and stress-free as possible, ultimately leading you closer to the answers you need for your long-term health and well-being.

Related Terms:

  • mri with contrast preparation
  • mri with contrast vs without
  • gadolinium contrast
  • mri without contrast
  • mri with contrast cpt code
  • mri with contrast brain