Rp

Mueller Weiss Syndrome

Mueller Weiss Syndrome

Chronic foot pain can be a debilitating experience, often leading individuals on a long journey to find a definitive diagnosis. Among the more complex and rare conditions affecting the midfoot is Mueller Weiss Syndrome. This progressive condition, which involves the spontaneous osteonecrosis—or death of bone tissue—of the navicular bone, can significantly alter a person’s gait and quality of life if left unaddressed. Understanding the nuances of this condition is the first step toward effective management and long-term foot health.

Understanding Mueller Weiss Syndrome

Anatomical view of the foot

Mueller Weiss Syndrome is a rare degenerative disease of the navicular bone, a small, boat-shaped bone located in the midfoot. Unlike fractures caused by acute trauma, this syndrome occurs when the bone loses its blood supply, leading to fragmentation and collapse. While the exact cause remains somewhat elusive, it is frequently associated with mechanical stress, congenital anomalies, or systemic conditions that impede vascular flow.

Typically, the syndrome affects adults between the ages of 40 and 60. Patients often present with persistent pain on the inner (medial) side of the foot, which gradually worsens with weight-bearing activities. As the navicular bone begins to collapse, the structural integrity of the foot’s arch is compromised, often leading to a secondary flatfoot deformity.

Key Symptoms and Early Warning Signs

Recognizing the symptoms of this condition early is critical for preventing severe structural damage. Because the navicular bone plays a vital role in supporting the medial longitudinal arch, its deterioration creates a domino effect across the foot.

  • Persistent Pain: A dull ache or sharp pain located primarily on the dorsal or medial aspect of the midfoot.
  • Swelling and Tenderness: Frequent inflammation, especially after long periods of standing or walking.
  • Visible Deformity: A noticeable flattening of the arch or a bulging prominence in the midfoot area.
  • Difficulty Walking: An inability to maintain a normal gait due to discomfort, leading to a limp.
  • Stiffness: Reduced range of motion in the midfoot and ankle joints as the condition progresses.

Diagnostic Approaches

Diagnosing Mueller Weiss Syndrome requires a comprehensive evaluation by a foot and ankle specialist. Because the symptoms can mimic other conditions like tarsal coalition or arthritis, imaging is essential for a precise diagnosis.

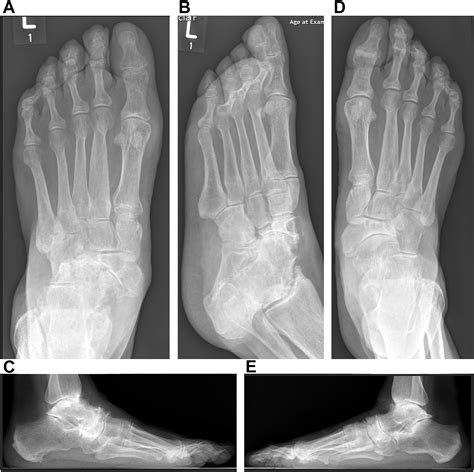
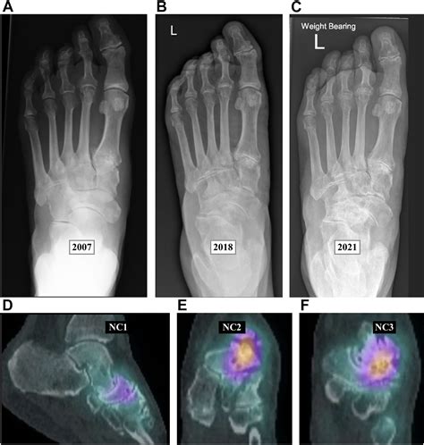
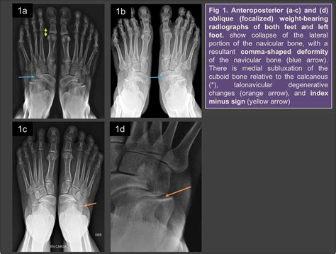
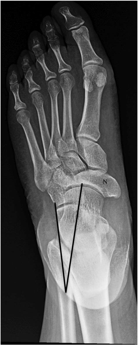
Imaging Method Utility in Diagnosis
X-ray (Weight-bearing) The primary tool to visualize the navicular bone's fragmentation and collapse.
MRI Highly sensitive; used to detect early signs of edema and bone marrow changes.
CT Scan Best for detailed assessment of bone morphology and planning potential surgical intervention.

⚠️ Note: Always seek a professional consultation with an orthopedic surgeon or podiatrist if you experience chronic midfoot pain that does not resolve with rest.

Treatment Pathways

Treatment for Mueller Weiss Syndrome is generally staged based on the severity of the bone collapse and the level of pain the patient experiences. Physicians typically begin with conservative measures before considering invasive procedures.

Conservative Management

For patients in the early stages of the syndrome, non-surgical interventions are the first line of defense:

  • Custom Orthotics: Specially designed shoe inserts that offload pressure from the affected navicular bone and support the arch.
  • Activity Modification: Avoiding high-impact exercises that place undue stress on the midfoot.
  • Physical Therapy: Strengthening the muscles around the foot to compensate for the compromised structure.
  • Anti-inflammatory Medication: Used to manage pain and swelling during flare-ups.

Surgical Options

When conservative treatments fail or when the deformity causes severe functional limitations, surgery may be necessary. Procedures are usually aimed at stabilizing the foot or addressing the resulting arthritic changes.

  • Decompression Procedures: Aimed at relieving pressure on the bone to encourage healing.
  • Arthrodesis: The gold standard in advanced cases, where the affected joints are fused together to eliminate motion and provide long-term pain relief.
  • Osteotomy: Realigning the foot to redistribute weight away from the damaged bone.

⚠️ Note: Post-surgical recovery for midfoot procedures can be lengthy; strict adherence to weight-bearing restrictions is crucial for a successful outcome.

Living with the Condition

Adapting to life with Mueller Weiss Syndrome involves a holistic approach. Beyond clinical treatment, patients should focus on footwear selection and lifestyle adjustments to mitigate daily strain. Choosing shoes with proper arch support and a rigid sole can make a significant difference. Furthermore, maintaining a healthy weight reduces the overall load on the midfoot, potentially slowing the progression of the degenerative process.

Mental well-being is also an essential component of managing a chronic foot condition. Since the syndrome can limit mobility, it is important to find low-impact activities—such as swimming or cycling—that allow you to remain active without aggravating the foot. Engaging with support groups or discussing concerns with a healthcare provider can also help manage the frustrations associated with chronic pain.

Managing the impact of Mueller Weiss Syndrome effectively involves proactive medical engagement and lifestyle adjustments. By prioritizing early diagnosis and working closely with a specialist, patients can significantly influence their long-term outcomes. While the journey may include challenges with pain and limited mobility, modern orthopedic strategies offer various avenues for pain relief and functional restoration. Adhering to the guidance of medical professionals, maintaining consistent use of orthotic supports, and committing to recommended physical therapy are the fundamental pillars for reclaiming comfort and stability in your daily movements. With time and the right treatment plan, individuals can navigate the complications of this condition and continue to lead active, fulfilling lives despite the challenges posed by this midfoot disorder.

Related Terms:

  • mueller weiss syndrome radiology
  • mueller weiss disease symptoms
  • mueller weiss disease radiology
  • mueller weiss navicular
  • muellers disease
  • mueller weiss syndrome xray