Cleve

Nd Tube Placement

Nd Tube Placement

Nd tube placement, medically referred to as nasogastric intubation, is a critical clinical procedure used to deliver nutrition, medication, or to decompress the stomach. When a patient cannot swallow safely or requires gastric suctioning, healthcare providers must insert a flexible, hollow tube through the nose, down the esophagus, and into the stomach. While this procedure is routine in hospitals and long-term care facilities, it requires precision, patient comfort management, and strict adherence to safety protocols to prevent complications.

Understanding the Purpose and Indications

The decision to initiate Nd tube placement is based on a thorough clinical assessment. It is not merely about feeding; it is a versatile tool used in various medical scenarios. Understanding *why* a patient needs this intervention helps in both the planning and the execution of the procedure.

Common indications include:

  • Nutritional Support: For patients with dysphagia (difficulty swallowing) due to stroke, neurological conditions, or prolonged intubation.
  • Medication Administration: When a patient cannot tolerate oral medications.
  • Gastric Decompression: To remove gas, fluids, or toxic substances from the stomach in cases of bowel obstruction or after gastrointestinal surgery.
  • Diagnostic Procedures: To obtain gastric content samples for analysis.

Preparing for the Procedure

Success starts with preparation. Gathering the right equipment and ensuring the patient is adequately informed reduces anxiety and increases the likelihood of a first-pass success. The equipment needed for Nd tube placement typically includes:

  • An appropriate size nasogastric (NG) tube (sized by French scale).
  • Water-soluble lubricant.
  • A 60 mL catheter-tip syringe.
  • A glass of water with a straw (to aid swallowing, if allowed).
  • A pH testing strip or meter.
  • Adhesive tape or a commercial tube fixation device.
  • A stethoscope for auscultation.

⚠️ Note: Always verify the patient's identity and explain the procedure clearly to ensure cooperation, as the process can be uncomfortable.

Step-by-Step Execution of Nd Tube Placement

The procedure must be performed with care to avoid misplacement into the respiratory tract. The following steps outline the standard clinical approach:

  1. Positioning: Elevate the head of the bed to a high-Fowler’s position (sitting upright at 60-90 degrees) to assist with swallowing and reduce aspiration risk.
  2. Measurement: Measure the tube from the tip of the patient's nose, to the earlobe, and then down to the xiphoid process. Mark this distance on the tube to ensure it reaches the stomach.
  3. Lubrication: Generously lubricate the tip of the tube with a water-soluble gel to facilitate smooth insertion.
  4. Insertion: Gently guide the tube through the nostril. As the tube reaches the back of the throat (oropharynx), ask the patient to swallow, if they are able. Swallowing closes the epiglottis, directing the tube toward the esophagus rather than the trachea.
  5. Advancement: Continue to advance the tube until the pre-measured mark reaches the nostril.

Verifying Tube Placement

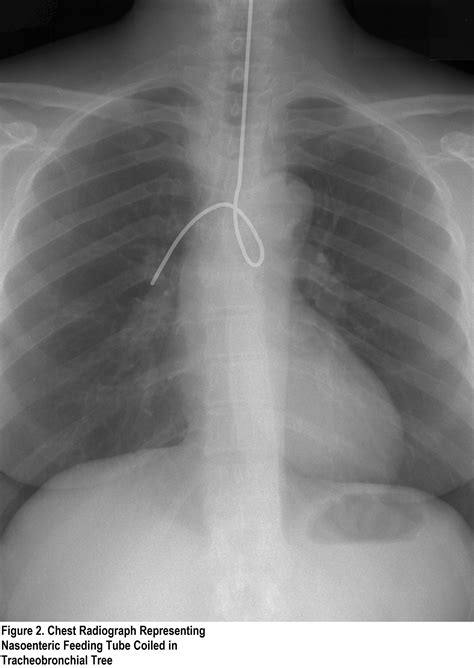
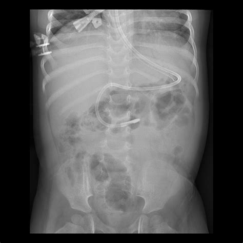
Never rely on a single method to confirm Nd tube placement. Because of the risk of placing the tube into the lungs, multiple verification methods are required before initiating any feeds or medications.

Method Description
Radiography (X-Ray) The gold standard. An abdominal or chest X-ray provides definitive visualization of the tube tip in the stomach.
pH Testing Testing the gastric aspirate. A pH of 5.5 or less typically confirms the tube is in the stomach.
Auscultation Injecting air while listening over the abdomen; however, this is not considered reliable on its own and should be used with other methods.

⚠️ Note: Always wait for definitive radiographic confirmation before using the tube for feeding or medication administration, especially in unconscious or sedated patients.

Managing and Securing the Tube

Once placement is confirmed, securing the tube is vital to prevent accidental dislodgement. Use tape or a specialized securement device to anchor the tube to the bridge of the nose or cheek. Ensure there is enough slack so the tube does not pull against the nostril, which could cause tissue necrosis or irritation.

Ongoing maintenance is crucial for patient safety:

  • Regular Flushing: Flush the tube with water before and after medications or feedings to maintain patency and prevent clogging.
  • Monitoring: Assess the insertion site daily for signs of skin breakdown or pressure ulcers.
  • Re-verification: Check the external tube length marking regularly to ensure it has not migrated.

Common Complications and Troubleshooting

Even with skilled Nd tube placement, complications can arise. Being proactive in recognizing these issues can prevent severe consequences.

Potential Complications

  • Aspiration Pneumonia: Occurs if the tube is in the trachea or if gastric contents reflux.
  • Nasal Irritation or Necrosis: Caused by pressure on the nasal mucosal wall.
  • Tube Clogging: Usually due to inadequate flushing after medication or thick formula usage.
  • Accidental Removal: Common in confused or disoriented patients who may pull at the tube.

If the tube becomes clogged, try flushing with warm water in a gentle, pulsing motion. Do not use soda or acidic juices, as these can react with enteral formulas to create a thicker blockage. If the tube cannot be unclogged, it must be removed and replaced.

Patient Comfort and Holistic Care

The insertion of an NG tube is invasive and inherently uncomfortable. Providing emotional support and physical comfort measures significantly improves the patient experience. Offer oral care every 2-4 hours, as patients with NG tubes often experience dry mouth, and ensure the nasal area is cleaned and re-taped according to facility policy.

If the patient complains of persistent gagging or respiratory distress, stop the procedure immediately, withdraw the tube, and allow the patient to recover. Re-attempting the procedure should only occur after the patient has stabilized and, if necessary, with the aid of a different technique or imaging guidance.

In summary, the process of Nd tube placement is a fundamental skill that balances clinical necessity with patient safety. By meticulously preparing for the procedure, adhering to evidence-based verification methods, and providing consistent maintenance, healthcare professionals can ensure that patients receive the nutritional support or decompression they require while minimizing risks. Prioritizing accurate placement, regular checks, and patient comfort remains the cornerstone of safe nasogastric care, ensuring that this intervention serves its purpose effectively without compromising patient well-being.

Related Terms:

  • can nurses place nj tubes
  • nd tube placement x ray
  • endoscopic nj tube placement
  • nasal feeding tube placement
  • what is an nd tube
  • nd vs nj tube