Cleve

Nerve Sheath Tumor

Nerve Sheath Tumor

A Nerve Sheath Tumor is a type of growth that develops within the protective coating—or sheath—that surrounds the nerves of your body. These tumors can occur anywhere in the nervous system, including the brain, spinal cord, and the peripheral nerves found in your arms, legs, and torso. While the term may sound intimidating, it is essential to understand that many of these growths are benign, meaning they are non-cancerous. However, their location and size can sometimes cause complications, making accurate diagnosis and specialized medical care crucial for effective management.

Understanding the Nature of Nerve Sheath Tumors

The nerves in our body are insulated by specialized cells known as Schwann cells. When these cells begin to divide uncontrollably, they form a nerve sheath tumor. These growths are broadly categorized based on their cellular origin and their potential to spread. The most common types include schwannomas and neurofibromas. While schwannomas are almost exclusively benign, neurofibromas can occasionally be associated with genetic conditions such as neurofibromatosis type 1 (NF1).

Most patients experience these tumors as slow-growing masses. Because nerves transmit signals for both sensation and movement, a tumor that presses against these fibers can lead to noticeable physical changes. Identifying these symptoms early is the best way to ensure that your medical team can formulate a plan that minimizes long-term nerve damage.

Common Symptoms and Clinical Presentation

Symptoms of a nerve sheath tumor vary significantly depending on the size of the growth and its exact anatomical location. Because nerves are responsible for complex signaling, the pressure exerted by a tumor can manifest in several ways:

  • Localized Pain: A persistent ache or sharp, shooting pain at the site of the tumor.
  • Numbness or Tingling: A sensation of "pins and needles" (paresthesia) in the area innervated by the affected nerve.
  • Muscle Weakness: If the tumor presses on a motor nerve, you may experience difficulty moving specific muscles or a general loss of strength in a limb.
  • Visible or Palpable Lump: In cases where the tumor is close to the skin's surface, you may feel a firm mass under the skin that moves when pushed.

It is important to note that some tumors grow in deep tissues or within the spinal canal, meaning they may not be visible as a lump. In these instances, symptoms might include persistent back pain, radiating pain down the legs (sciatica), or changes in balance and coordination.

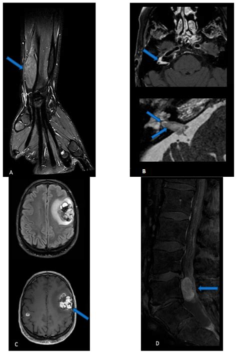
Diagnostic Procedures

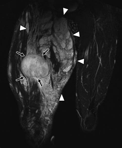
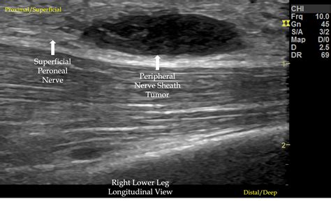
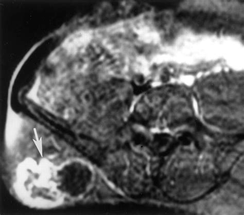
If you suspect you have a nerve sheath tumor, your doctor will likely begin with a physical examination to test your reflexes, muscle strength, and sensory perception. Following this, imaging studies are the gold standard for confirming the presence and size of the growth.

Diagnostic Tool Purpose
Magnetic Resonance Imaging (MRI) Provides high-resolution images of soft tissues, ideal for visualizing nerves.
Computed Tomography (CT) Used to see how the tumor interacts with surrounding bone structures.
Electromyography (EMG) Tests the electrical activity of muscles to identify nerve damage.
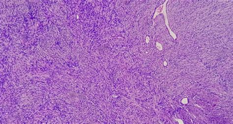
Biopsy A small sample of tissue is removed to determine if the tumor is benign or malignant.

⚠️ Note: Always consult with a neurologist or an orthopedic oncologist. Early imaging is vital, as it allows doctors to differentiate between a simple cyst and a nerve-related neoplasm.

Treatment Pathways and Options

Treatment for a nerve sheath tumor is highly individualized. If the tumor is small, causing no pain, and is confirmed to be benign, your medical team might suggest a "watch and wait" approach. This involves periodic MRI scans to monitor the growth for any changes.

When intervention is required, the following options are typically considered:

  • Surgical Resection: The primary treatment involves surgically removing the tumor. Surgeons strive to preserve the integrity of the nerve, though in some cases, microsurgery is required to achieve this.
  • Radiation Therapy: If a tumor is malignant (cancerous) or if it cannot be fully removed surgically, radiation may be used to shrink the growth or kill residual cancer cells.
  • Chemotherapy: This is generally reserved for malignant peripheral nerve sheath tumors (MPNST) that have metastasized or are aggressive in nature.
  • Physical Therapy: Post-surgical recovery often includes rehabilitation to restore strength and function to the affected nerves and muscles.

ℹ️ Note: If you undergo surgical removal, follow all post-operative instructions carefully to prevent nerve irritation and to allow the surrounding tissues to heal correctly.

Living With and Managing the Condition

Receiving a diagnosis can be overwhelming, but understanding that many nerve sheath tumor cases have a positive prognosis is the first step toward recovery. Maintaining a healthy lifestyle and adhering to your follow-up schedule is essential. If you have a genetic predisposition, such as neurofibromatosis, routine screening becomes a lifelong necessity to catch new growths before they become symptomatic. Joining support groups or speaking with a counselor can also help manage the stress associated with chronic health conditions.

The journey toward health when dealing with a nerve sheath tumor requires a balance of vigilance and expert care. By focusing on early detection through regular check-ups and utilizing modern imaging techniques, most patients can effectively manage their symptoms and maintain a high quality of life. Whether the path forward involves active monitoring or surgical intervention, the key remains consistent communication with a multidisciplinary healthcare team consisting of neurologists, radiologists, and specialized surgeons. As research continues to advance in the fields of oncology and neurosurgery, the options for treatment are becoming increasingly precise, offering hope and better outcomes for those navigating this diagnosis. Ultimately, staying informed about your specific type of tumor and being proactive about your medical appointments are the most powerful tools you have in your ongoing health management.

Related Terms:

  • nerve sheath tumor radiopaedia
  • nerve sheath tumor radiology
  • nerve sheath tumor ultrasound
  • nerve sheath tumor dog
  • benign nerve sheath tumor
  • nerve sheath tumor treatment