Cleve

Nipple Sparing Mastectomy

Nipple Sparing Mastectomy

Facing a breast cancer diagnosis or the necessity for prophylactic surgery can be an incredibly overwhelming experience. However, advancements in surgical oncology have significantly improved the outcomes and quality of life for many patients. One of the most transformative developments in this field is the Nipple Sparing Mastectomy. This procedure is designed not only to remove cancerous or high-risk breast tissue but also to prioritize the aesthetic outcome, allowing women to maintain the natural appearance of their breasts by preserving the nipple-areolar complex.

Understanding the Procedure

A Nipple Sparing Mastectomy (NSM) is a surgical technique where all the breast tissue is removed, but the skin envelope and the nipple-areolar complex remain intact. In a traditional mastectomy, the entire breast, including the nipple and a significant amount of skin, is removed. By choosing a nipple-sparing approach, surgeons can provide a more natural-looking reconstruction.

This procedure is typically performed in conjunction with immediate breast reconstruction. Because the natural nipple is preserved, the subsequent reconstruction often achieves a more seamless result. It is important to note that while this surgery is highly effective, it is not suitable for every patient. Eligibility depends on several factors, including the tumor's size, location, and its distance from the nipple.

Also read: Plastic Surgery App Face

Candidate Criteria for Nipple Sparing Mastectomy

Determining if you are a candidate for this surgery involves a thorough evaluation by a surgical team, including a breast surgeon and a plastic surgeon. Generally, the following factors are considered:

  • Tumor Location: The tumor should be located at a sufficient distance from the nipple-areolar complex to ensure safety.
  • Cancer Stage: It is often considered for early-stage breast cancer or for prophylactic (preventative) measures in patients with a high genetic risk (such as BRCA gene mutations).
  • Breast Size and Ptosis: Patients with minimal to moderate breast sagging (ptosis) often achieve better outcomes. Patients with significant drooping may require additional procedures to achieve an optimal aesthetic result.
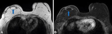
  • Absence of Nipple Involvement: Imaging studies, such as MRI, must confirm that there is no evidence of cancer involvement in the ducts immediately behind the nipple.

💡 Note: A final decision on whether the nipple can be safely saved is often made intraoperatively, where the surgeon takes a "frozen section" or a biopsy of the tissue directly behind the nipple to ensure no cancer cells are present.

Comparison: Traditional vs. Nipple Sparing

Choosing between surgical options can be difficult. The table below highlights the key differences between a traditional mastectomy and the modern nipple-sparing approach.

Feature Traditional Mastectomy Nipple Sparing Mastectomy
Nipple Preservation No (Removed) Yes (Preserved)
Scar Appearance Larger scar, often across the chest Hidden incisions (often in the crease under the breast)
Aesthetic Result Often requires tattoo/reconstruction More natural, less reconstruction needed
Best For Advanced or central tumors Early-stage or preventative patients

Benefits and Risks

The primary benefit of a Nipple Sparing Mastectomy is the psychological and physical impact on the patient. Preserving the natural nipple can significantly improve body image and reduce the need for secondary procedures, such as nipple reconstruction or medical tattooing. It allows for a more "natural" feeling reconstruction.

However, as with any surgery, there are risks involved. These include:

  • Nipple Necrosis: In some cases, the blood supply to the nipple may be compromised, leading to tissue death. This occurs in a small percentage of patients.
  • Sensation Loss: While the nipple remains, the nerves are typically severed during the removal of breast tissue, resulting in a loss of sensation in the nipple area.
  • Residual Tissue: Because the goal is to leave the nipple and skin, there is a very small amount of breast tissue remaining behind the nipple. While surgeons remove as much as possible, patients must be aware that a negligible amount of tissue remains compared to a total mastectomy.

The Reconstruction Process

Reconstruction is an integral part of the Nipple Sparing Mastectomy experience. Most patients opt for immediate reconstruction, meaning the plastic surgeon begins the process while the patient is still under anesthesia from the mastectomy. Common options include the use of implants or autologous tissue (tissue from another part of the patient's body, such as the abdomen or back).

The placement of incisions is carefully planned by the surgical team. Common approaches include the inframammary fold incision (the crease under the breast), which hides the scar effectively, or a lateral approach. By coordinating with the breast surgeon, the plastic surgeon ensures that the skin envelope is prepared for the reconstruction, optimizing the final silhouette of the breast.

💡 Note: Recovery times vary based on the type of reconstruction chosen. It is vital to discuss your specific lifestyle needs and recovery expectations with your medical team before the surgery.

Preparation and Post-Operative Care

Preparation for a Nipple Sparing Mastectomy involves a comprehensive health assessment. Your care team will likely require blood work, imaging, and possibly physical therapy assessments. Smoking cessation is non-negotiable, as smoking significantly interferes with blood supply to the skin and nipple, increasing the risk of complications.

Post-operative care focuses on managing pain, preventing infection, and monitoring the healing of the nipple and skin flaps. You will likely have surgical drains in place for a short period to prevent fluid buildup. Your surgeon will provide specific instructions regarding activity restrictions, wound care, and follow-up imaging to monitor your health over the long term.

Support systems are crucial during this time. Whether it is through hospital support groups, counseling, or community organizations, connecting with others who have undergone this procedure can provide invaluable perspective. Modern medicine continues to evolve, and the ability to combine effective cancer treatment with the preservation of a natural look represents a major victory for patient-centered care. By staying informed and working closely with a multidisciplinary team, you can navigate your journey with confidence, knowing that options like the Nipple Sparing Mastectomy prioritize both your health and your quality of life. Always ensure that your surgical team is experienced in this specific technique, as technical proficiency is a key factor in achieving the best possible results. Ultimately, the decision-making process is personal, and finding the path that aligns with your medical requirements and your personal comfort level is the most important step forward.

Related Terms:

  • Mastectomy Reconstruction
  • Bilateral Simple Mastectomy
  • Sparing Mastectomy
  • Prosthetics After Mastectomy
  • Surgery Mastectomy Bra
  • Cancer After Double Mastectomy